• Tel: 858.663.9055
  • SeparatorEmail: info@nsjbio.com
  • Tel: 858.663.9055
  • Email: info@nsjbio.com
Home >> Antibodies >> CD203c Antibody / ENPP3 / PD-Ibeta / PDNP3

CD203c Antibody / ENPP3 / PD-Ibeta / PDNP3 [clone ENPP3/9892] (V5774)

  Catalog No Formulation Size Price (USD)  
Image V5774-100UG 0.2 mg/ml in 1X PBS with 0.1 mg/ml BSA (US sourced), 0.05% sodium azide 100 ug 559
Image
V5774-20UG 0.2 mg/ml in 1X PBS with 0.1 mg/ml BSA (US sourced), 0.05% sodium azide 20 ug 259
Image
V5774SAF-100UG 1 mg/ml in 1X PBS; BSA free, sodium azide free 100 ug 559
Bulk quote request
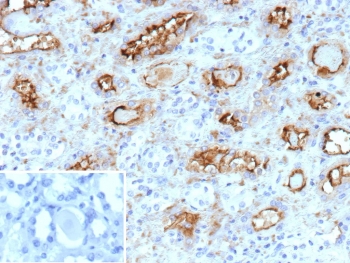
IHC staining of FFPE human kidney tissue with PD-Ibeta antibody (clone ENPP3/9892). Inset: PBS used in place of primary Ab (secondary Ab negative control). HIER: boil tissue sections in pH 9 10mM Tris with 1mM EDTA for 20 min and allow to cool before testing.
SDS-PAGE analysis of purified, BSA-free PD-Ibeta antibody (clone ENPP3/9892) as confirmation of integrity and purity.
Availability 1-3 business days
Species Reactivity Human
Format Purified
Host Mouse
Clonality Monoclonal (mouse origin)
Isotype Mouse IgG, kappa
Clone Name ENPP3/9892
Purity Protein A/G affinity
UniProt O14638
Localization Apical cell membrane, Cell membrane, Secreted
Applications Immunohistochemistry (FFPE) : 1-2ug/ml
Limitations This CD203c antibody is available for research use only.
Review this product on BioCompare and get a $20 Amazon gift card

Related Products

Description

Ecto-nucleotide pyrophosphatase/phosphodiesterase-I enzymes (E-NPP), a group of type II transmembrane proteins, cleave phosphodiester and phosphosulfate bonds in deoxynucleotides, NAD, and nucleotide sugars. There exist three closely related proteins in mammalian species: E-NPP1 (PC-1), E-NPP2 (PDNP2), and E-NPP-3, also known as CD203c, each expressed in different cells or at different locations in the same cells. Basophils, a type of major proinflammatory effector cells involved in diverse pathologic reactions, exhibit CD203c expression. For instance, CD203c expression increases in response to a variety of allergens, including cat dander, latex, and bee and wasp venom. However, these allergies are not the only condition associated with CD203c upregulation; CD203c upregulation may also serve as a tumor marker for colon carcinoma.

Application Notes

Optimal dilution of the CD203c antibody should be determined by the researcher.

Immunogen

A portion of amino acids 300-600 from human ENPP3 protein was used as the immunogen for the CD203c antibody.

Storage

Aliquot the CD203c antibody and store frozen at -20oC or colder. Avoid repeated freeze-thaw cycles.

Cross
Bulk Quote Request Form
Name*:
Organization*:
Email*:
Phone Number*:
Catalog No.*:
Comments and Specifics(amount, formulation, etc.)*:
Validation code: Captchapackage Image


Can't read the image? click here to refresh.
    *required field

Your bulk quote request has been submitted successfully!

Please contact us if you have any questions.