• Tel: 858.663.9055
  • SeparatorEmail: info@nsjbio.com
  • Tel: 858.663.9055
  • Email: info@nsjbio.com
Home >> Antibodies >> CD20 Antibody Recombinant Mouse MAb

CD20 Antibody Recombinant Mouse MAb [clone rMS4A1/8044] (V4166)

  Catalog No Formulation Size Price (USD)  
Image V4166-100UG 0.2 mg/ml in 1X PBS with 0.1 mg/ml BSA (US sourced), 0.05% sodium azide 100 ug 559
Image
V4166-20UG 0.2 mg/ml in 1X PBS with 0.1 mg/ml BSA (US sourced), 0.05% sodium azide 20 ug 259
Image
V4166SAF-100UG 1 mg/ml in 1X PBS; BSA free, sodium azide free 100 ug 559
Microvalidated Recmousemono
Bulk quote request
Western blot analysis of CD20 Antibody Recombinant Mouse MAb in human Raji cell lysate. A distinct immunoreactive band is observed at approximately 33 kDa, consistent with the predicted molecular weight of CD20/MS4A1. The single band pattern supports specific detection of CD20 in this B-cell derived line.
Western blot testing of human Raji cell lysate with CD20 antibody. Predicted molecular weight ~33 kDa.
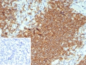
IHC staining of FFPE human tonsil tissue with CD20 antibody (clone rMS4A1/8044). Inset: PBS used in place of primary Ab (secondary Ab negative control). HIER: boil tissue sections in pH 9 10mM Tris with 1mM EDTA for 20 min and allow to cool before testing.
SDS-PAGE analysis of purified, BSA-free CD20 antibody (clone rMS4A1/8044) as confirmation of integrity and purity.
Availability 1-3 business days
Species Reactivity Human
Format Purified
Host Mouse
Clonality Recombinant Mouse Monoclonal
Isotype Mouse IgG1, kappa
Clone Name rMS4A1/8044
Purity Protein A/G affinity
UniProt P11836
Localization Cell Surface
Applications Immunohistochemistry (FFPE) : 1-2ug/ml for 30 min at RT
Western Blot : 2-4ug/ml
Limitations This CD20 antibody is available for research use only.
Review this product on BioCompare and get a $20 Amazon gift card

Related Products

  • Applications : IF, FACS, IHC-P, WB
    Reactivity : Human
    Recmousemono
    Microvalidated
  • Applications : FACS, IHC-P
    Reactivity : Human
    Recrabbitmono
  • Applications : IHC-P, FACS
    Reactivity : Human
    Recrabbitmono
  • Applications : WB, IHC
    Reactivity : Human
    Recrabbitmono
  • Applications : Functional studies, FACS, IF
    Reactivity : Human
    Citation  Citations(5)
  • Applications : FACS, IF
    Reactivity : Human. Other species not known.
    Citation  Citations(5)
  • Applications : WB, ELISA
    Reactivity : Human
  • Applications : WB, ELISA
    Reactivity : Human
  • Applications : FACS, IF, IHC-P
    Reactivity : Human
  • Applications : Functional studies, FACS, IF
    Reactivity : Human
    Citation  Citations(6)
  • Applications : FACS, IF, IHC-P
    Reactivity : Human
  • Applications : FACS, IF, IHC-P
    Reactivity : Human
  • Applications : FACS, IF, IHC-P
    Reactivity : Human
  • Applications : WB, IHC-P, IF, FACS
    Reactivity : Human
  • Applications : WB, IHC, ELISA (peptide)
    Reactivity : Human
  • Applications : WB, IHC, ELISA (peptide)
    Reactivity : Human
  • Applications : IHC-P
    Reactivity : Human

Description

CD20 antibody recognizes CD20, also known as Membrane spanning 4-domains subfamily A member 1, a B-cell specific transmembrane phosphoprotein encoded by the MS4A1 gene. CD20 is localized to the plasma membrane of B lymphocytes, where it plays a role in regulating B-cell activation, proliferation, and calcium signaling. CD20 Antibody Recombinant Mouse MAb is developed to support research in B-cell immunology, lymphoma biology, and therapeutic antibody development.

The MS4A1 gene is located on chromosome 11q12.2 and encodes a protein with four transmembrane domains and short cytoplasmic N- and C-terminal regions. CD20 expression begins at the late pre-B-cell stage and persists through mature B cells but is absent on hematopoietic stem cells and terminally differentiated plasma cells. This restricted expression pattern makes CD20 a widely used marker for identifying B-cell populations in lymphoid tissues such as tonsil, spleen, and lymph node.

Functionally, CD20 is associated with the B-cell receptor complex and contributes to calcium influx following antigen engagement. Although CD20 does not have a clearly defined soluble ligand, it participates in membrane microdomains that regulate signal transduction and cell cycle progression. Dysregulated CD20 expression is observed in B-cell non-Hodgkin lymphoma, chronic lymphocytic leukemia, and other lymphoproliferative disorders. CD20 Antibody Recombinant Mouse MAb enables evaluation of CD20 distribution and density in both normal and malignant B-cell populations.

CD20 is also a major therapeutic target in oncology and autoimmune disease. Anti-CD20 monoclonal antibodies are used clinically to induce B-cell depletion through complement activation, antibody-dependent cellular cytotoxicity, and apoptotic mechanisms. Ongoing research continues to investigate CD20 modulation, resistance mechanisms, and expression heterogeneity in treated patients. Clone rMS4A1/8044 is engineered as a recombinant mouse monoclonal antibody to provide consistent specificity and reproducibility in CD20 detection.

By targeting a clinically significant B-cell surface antigen, CD20 Antibody Recombinant Mouse MAb supports studies in lymphoma classification, immune regulation, and translational research focused on CD20-directed therapies.

Application Notes

Optimal dilution of the CD20 antibody should be determined by the researcher.

Immunogen

A recombinant partial protein (within amino acids 200-297) from the human protein was used as the immunogen for the CD20 antibody.

Storage

Aliquot the CD20 antibody and store frozen at -20oC or colder. Avoid repeated freeze-thaw cycles.

Cross
Bulk Quote Request Form
Name*:
Organization*:
Email*:
Phone Number*:
Catalog No.*:
Comments and Specifics(amount, formulation, etc.)*:
Validation code: Captchapackage Image


Can't read the image? click here to refresh.
    *required field

Your bulk quote request has been submitted successfully!

Please contact us if you have any questions.