- Tel: 858.663.9055
- 
									 Email: info@nsjbio.com Email: info@nsjbio.com
- Tel: 858.663.9055
- Email: info@nsjbio.com
 Email: info@nsjbio.com
Email: info@nsjbio.com
								Related Products
| 
 | 
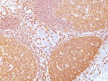
CD20 antibody clone IGEL/773 is a monoclonal antibody directed against CD20, a transmembrane protein expressed on pre-B and mature B lymphocytes. CD20 functions as a regulator of B cell activation, proliferation, and calcium signaling. Because of its restricted expression in B cells and its absence on plasma cells, CD20 is a key marker in immunology and hematopathology. NSJ Bioreagents provides CD20 antibody clone IGEL/773 for use in B cell research, lymphoma diagnostics, and immune system studies.
CD20 antibody clone IGEL/773 produces strong membranous staining on B lymphocytes in lymphoid tissues, including spleen, tonsil, and lymph nodes. In diagnostic pathology, it is widely used to identify B cell lineage in lymphomas and leukemias. Detection of CD20 helps distinguish B cell neoplasms from T cell malignancies and provides critical information for diagnosis and classification.
In cancer research, CD20 antibody clone IGEL/773 has been used to study the biology of B cell malignancies. CD20 is a therapeutic target for monoclonal antibody therapies, such as rituximab, which deplete B cells in conditions like non-Hodgkin lymphoma and chronic lymphocytic leukemia. Clone IGEL/773 provides an important laboratory reagent for characterizing CD20 expression and monitoring therapeutic responses.
In immunology, CD20 antibody clone IGEL/773 supports studies of B cell development and activation. It has been applied to explore how CD20 contributes to calcium flux and signaling pathways that regulate antibody production. Because CD20 is expressed at defined stages of B cell differentiation, this antibody also aids in mapping B cell maturation.
CD20 antibody clone IGEL/773 has additional applications in autoimmune disease research. B cell depletion therapies targeting CD20 have been effective in conditions such as rheumatoid arthritis and multiple sclerosis. Detection of CD20 expression with clone IGEL/773 helps clarify the role of B cells in autoimmune pathogenesis.
This antibody has been validated in tissue and cell-based systems, providing reproducible membranous staining with minimal background. It is widely cited in immunology and hematology literature. Alternate names include B lymphocyte antigen antibody, B cell differentiation antigen antibody, and MS4A1 antibody.
The concentration stated for each application is a general starting point.  Variations in protocols, secondaries and substrates may require the CD20 antibody to be titered up or down for optimal performance.
1. Staining of formalin-fixed tissues requires boiling tissue sections in pH 9 10mM Tris with 1mM EDTA for 10-20 min followed by cooling at RT for 20 minutes.
2. The prediluted format is supplied in a dropper bottle and is optimized for use in IHC. After epitope retrieval step (if required), drip mAb solution onto the tissue section and incubate at RT for 30 min.
Recombinant CD20 protein was used as the immunogen for this CD20 antibody. The epitope is localized to the cytoplasmic region of the protein.
CD20 antibody with azide can be stored at 2-8oC. The azide-free format should be aliquoted and stored at -20oC or colder.
 
Your bulk quote request has been submitted successfully!
Please contact us if you have any questions.