• Tel: 858.663.9055
  • SeparatorEmail: info@nsjbio.com
  • Tel: 858.663.9055
  • Email: info@nsjbio.com
Home >> Antibodies >> CD2 molecule Antibody

CD2 molecule Antibody [clone LFA2/13325R] (V6030)

  Catalog No Formulation Size Price (USD)  
Image V6030-100UG 0.2 mg/ml in 1X PBS with 0.05% BSA, 0.05% sodium azide 100 ug 559
Image
V6030-20UG 0.2 mg/ml in 1X PBS with 0.05% BSA, 0.05% sodium azide 20 ug 259
Image
V6030SAF-100UG 1 mg/ml in 1X PBS; BSA free, sodium azide free 100 ug 559
Microvalidated Recrabbitmono
Bulk quote request
Western blot analysis of CD2 antibody (clone LFA2/13325R) in human MOLT-4 cell lysate. A strong band is observed at approximately 50-55 kDa, consistent with the predicted molecular weight of CD2. The band appears relatively thick and intense, which is expected due to the high endogenous expression of CD2 in T lymphoblastic cells such as MOLT-4, as well as potential heterogeneous glycosylation that can broaden migration on SDS-PAGE. Molecular weight markers are indicated in kDa on the left.
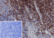
Immunohistochemistry analysis of CD2 molecule antibody (clone LFA2/13325R) in human tonsil tissue. Formalin-fixed, paraffin-embedded tonsil demonstrates strong membranous HRP-DAB brown staining in interfollicular T lymphocytes, consistent with CD2 expression on mature T cells. Germinal center B cells show minimal to no staining, while hematoxylin counterstain highlights overall lymphoid architecture. The inset shows PBS used in place of primary antibody as a negative control, confirming absence of non-specific secondary antibody binding. Heat-induced epitope retrieval was performed by heating tissue sections in 10 mM Tris with 1 mM EDTA, pH 9.0, for 45 minutes at 95oC followed by cooling at room temperature for 20 minutes prior to staining.
SDS-PAGE Analysis of Purified CD2 molecule antibody (clone LFA2/13325R). Confirmation of Purity and Integrity of Antibody.
Species Reactivity Human
Format Purified
Host Rabbit
Clonality Recombinant Rabbit Monoclonal
Isotype Rabbit IgG, kappa
Clone Name LFA2/13325R
UniProt P06729
Localization Cell membrane
Applications Immunohistochemistry (FFPE) : 1-2ug/ml
Western Blot : 2-4ug/ml
Limitations This CD2/CD2 molecule antibody is available for research use only.
Review this product on BioCompare and get a $20 Amazon gift card

Related Products

  • Applications : WB, IHC-P
    Reactivity : Human
    Recrabbitmono
  • Applications : IHC-P
    Reactivity : Human
    Recmousemono
  • Applications : IHC-P
    Reactivity : Human
    Microvalidated
  • Applications : IHC-P
    Reactivity : Human
    Microvalidated
  • Applications : Functional studies, FACS, IF, WB
    Reactivity : Human
  • Applications : Functional studies, FACS, IF, WB
    Reactivity : Human
  • Applications : Functional studies, FACS, IF
    Reactivity : Human
    Citation  Citations(1)
  • Applications : Functional studies, FACS, IF
    Reactivity : Human
    Citation  Citations(3)
  • Applications : FACS, IF
    Reactivity : Human
  • Applications : WB
    Reactivity : Human
    Rab Mono Image
  • Applications : FACS, IF
    Reactivity : Human
  • Applications : Functional Studies, FACS
    Reactivity : Human
  • Applications : IHC-P
    Reactivity : Human
  • Applications : WB
    Reactivity : Mouse, Rat
  • Applications : WB, IHC-P
    Reactivity : Mouse
  • Applications : IHC-P, IF, Direct ELISA
    Reactivity : Mouse, Rat
  • Applications : WB, FACS, IP, IHC-P, Direct ELISA
    Reactivity : Human

Description

CD2 molecule antibody recognizes CD2 molecule, a cell surface glycoprotein encoded by the CD2 gene and commonly referred to as LFA-2 or T cell surface antigen CD2. CD2 is a single-pass transmembrane protein belonging to the immunoglobulin superfamily and is primarily expressed on T lymphocytes and natural killer cells. CD2 molecule antibody is widely used in research focused on T cell activation, immune synapse formation, and lymphoid lineage identification.

CD2 functions as an adhesion and co-stimulatory receptor that interacts with its ligand CD58, facilitating T cell adhesion to antigen-presenting cells. Structurally, CD2 contains extracellular immunoglobulin-like domains, a transmembrane region, and a cytoplasmic tail involved in intracellular signaling. Engagement of CD2 enhances T cell receptor signaling and promotes proliferation, cytokine production, and cytotoxic responses. CD2 localization is predominantly membranous, consistent with its role in cell-cell interaction within immune tissues.

In normal tissues, CD2 expression is restricted to T cells and natural killer cells within lymphoid organs, peripheral blood, and inflamed tissues. Aberrant or clonal CD2 expression patterns are relevant in studies of T cell leukemias and lymphomas. Immunostaining typically demonstrates distinct membranous labeling in T cell populations. Clone LFA2/13325R is a recombinant rabbit monoclonal antibody generated through defined sequence expression to support consistent performance and lot-to-lot reproducibility. This CD2 molecule antibody enables investigation of T cell biology, immune activation pathways, and lymphoid neoplasms in research applications.

Application Notes

1. Optimal dilution of the CD2/CD2 molecule antibody should be determined by the researcher.

2. This CD2/CD2 molecule antibody is recombinantly produced by expression in CHO cells.

Immunogen

A recombinant fragment corresponding to N-terminal of human CD2 protein (exact sequence is proprietary) was used as the immunogen for the CD2/CD2 molecule antibody.

Storage

CD2/CD2 molecule antibody with sodium azide - store at 2 to 8oC; antibody without sodium azide - store at -20 to -80oC.

Cross
Bulk Quote Request Form
Name*:
Organization*:
Email*:
Phone Number*:
Catalog No.*:
Comments and Specifics(amount, formulation, etc.)*:
Validation code: Captchapackage Image


Can't read the image? click here to refresh.
    *required field

Your bulk quote request has been submitted successfully!

Please contact us if you have any questions.