• Tel: 858.663.9055
  • SeparatorEmail: info@nsjbio.com
  • Tel: 858.663.9055
  • Email: info@nsjbio.com
Home >> Antibodies >> CD2 Antibody / Protein Microarray Validated / LFA-2

CD2 Antibody / Protein Microarray Validated / LFA-2 [clone LFA2/7106] (V4061)

  Catalog No Formulation Size Price (USD)  
Image V4061-100UG 0.2 mg/ml in 1X PBS with 0.1 mg/ml BSA (US sourced), 0.05% sodium azide 100 ug 559
Image
V4061-20UG 0.2 mg/ml in 1X PBS with 0.1 mg/ml BSA (US sourced), 0.05% sodium azide 20 ug 259
Image
V4061SAF-100UG 1 mg/ml in 1X PBS; BSA free, sodium azide free 100 ug 559
Microvalidated
Bulk quote request
Western blot testing of human Jurkat cell lysate using CD2 antibody (clone LFA2/7106). Expected molecular weight ~47 kDa.
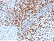
IHC staining of FFPE human tonsil tissue with CD2 antibody (clone LFA2/7106). Negative control inset: PBS used instead of primary antibody to control for secondary Ab binding. HIER: boil tissue sections in pH 9 10mM Tris with 1mM EDTA for 20 min and allow to cool before testing.
IHC staining of FFPE human lymph node tissue with CD2 antibody (clone LFA2/7106). HIER: boil tissue sections in pH 9 10mM Tris with 1mM EDTA for 20 min and allow to cool before testing.
Analysis of HuProt(TM) microarray containing more than 19,000 full-length human proteins using CD2 antibody (clone LFA2/7106). These results demonstrate the foremost specificity of the LFA2/7106 mAb. Z- and S- score: The Z-score represents the strength of a signal that an antibody (in combination with a fluorescently-tagged anti-IgG secondary Ab) produces when binding to a particular protein on the HuProt(TM) array. Z-scores are described in units of standard deviations (SD's) above the mean value of all signals generated on that array. If the targets on the HuProt(TM) are arranged in descending order of the Z-score, the S-score is the difference (also in units of SD's) between the Z-scores. The S-score therefore represents the relative target specificity of an Ab to its intended target.
Availability 1-3 business days
Species Reactivity Human
Format Purified
Host Mouse
Clonality Monoclonal (mouse origin)
Isotype Mouse IgG1, kappa
Clone Name LFA2/7106
Purity Protein A/G affinity
UniProt P06729
Localization Cell surface
Applications Western Blot : 1-2ug/ml
Immunohistochemistry (FFPE) : 1-2ug/ml
Limitations This CD2 antibody is available for research use only.
Review this product on BioCompare and get a $20 Amazon gift card

Related Products

  • Applications : WB, IHC-P
    Reactivity : Human
    Recrabbitmono
  • Applications : IHC-P
    Reactivity : Human
    Recmousemono
  • Applications : IHC-P
    Reactivity : Human
    Microvalidated
  • Applications : IHC-P
    Reactivity : Human
    Microvalidated
  • Applications : Functional studies, FACS, IF, WB
    Reactivity : Human
  • Applications : Functional studies, FACS, IF, WB
    Reactivity : Human
  • Applications : Functional studies, FACS, IF
    Reactivity : Human
    Citation  Citations(1)
  • Applications : Functional studies, FACS, IF
    Reactivity : Human
    Citation  Citations(3)
  • Applications : FACS, IF
    Reactivity : Human
  • Applications : WB
    Reactivity : Human
    Rab Mono Image
  • Applications : FACS, IF
    Reactivity : Human
  • Applications : Functional Studies, FACS
    Reactivity : Human
  • Applications : IHC-P
    Reactivity : Human
  • Applications : WB
    Reactivity : Mouse, Rat
  • Applications : WB, IHC-P
    Reactivity : Mouse
  • Applications : IHC-P, IF, Direct ELISA
    Reactivity : Mouse, Rat
  • Applications : WB, FACS, IP, IHC-P, Direct ELISA
    Reactivity : Human

Description

CD2 antibody recognizes CD2 molecule, a type I transmembrane glycoprotein encoded by the CD2 gene and commonly referred to as LFA-2 and T cell surface antigen CD2. CD2 is a member of the immunoglobulin superfamily and is expressed predominantly on the surface of T lymphocytes and natural killer cells. As an adhesion and co-stimulatory receptor, CD2 plays a central role in T cell activation, immune synapse formation, and intercellular communication within lymphoid tissues. CD2 antibody supports research applications focused on immune signaling, lymphoid architecture, and T cell lineage characterization.

Structurally, CD2 contains two extracellular immunoglobulin-like domains responsible for binding to CD58, its principal ligand on antigen-presenting cells and other immune cells. This ligand interaction strengthens T cell adhesion and enhances T cell receptor signaling, contributing to proliferation, cytokine secretion, and cytotoxic responses. The protein includes a single transmembrane domain and a cytoplasmic tail that participates in intracellular signaling cascades. CD2 is localized primarily to the plasma membrane, where it contributes to immune synapse organization and downstream activation pathways.

In normal human tissues, CD2 expression is restricted to thymocytes, peripheral T cells, and natural killer cells. Within lymph node, tonsil, and spleen, CD2 staining is typically observed in interfollicular and paracortical T cell zones, while germinal center B cells display minimal expression. This lineage-restricted distribution makes CD2 an important marker for identifying T cell populations in experimental systems. CD2 expression is also relevant in research involving T cell leukemias and lymphomas, where membranous localization assists in immunophenotypic profiling.

Clone LFA2/7106 has been evaluated using a comprehensive protein microarray containing thousands of full-length human proteins to assess binding specificity. Protein microarray validation supports selective target recognition and provides an additional layer of confidence in target engagement. CD2 antibody can be used to investigate T cell activation mechanisms, immune adhesion pathways, and lymphoid tissue organization in research settings. Its defined specificity and membrane-associated staining profile make it suitable for studies of T cell distribution and immune system biology.

Application Notes

Optimal dilution of the CD2 antibody should be determined by the researcher.

Immunogen

A recombinant fragment from the human protein was used as the immunogen for the CD2 antibody.

Storage

Aliquot the CD2 antibody and store frozen at -20oC or colder. Avoid repeated freeze-thaw cycles.

Cross
Bulk Quote Request Form
Name*:
Organization*:
Email*:
Phone Number*:
Catalog No.*:
Comments and Specifics(amount, formulation, etc.)*:
Validation code: Captchapackage Image


Can't read the image? click here to refresh.
    *required field

Your bulk quote request has been submitted successfully!

Please contact us if you have any questions.