• Tel: 858.663.9055
  • SeparatorEmail: info@nsjbio.com
  • Tel: 858.663.9055
  • Email: info@nsjbio.com
Home >> Antibodies >> CD2 Antibody Recombinant Rabbit mAb

CD2 Antibody Recombinant Rabbit mAb [clone LFA2/8845R] (V4658)

  Catalog No Formulation Size Price (USD)  
Image V4658-100UG 0.2 mg/ml in 1X PBS with 0.1 mg/ml BSA (US sourced), 0.05% sodium azide 100 ug 559
Image
V4658-20UG 0.2 mg/ml in 1X PBS with 0.1 mg/ml BSA (US sourced), 0.05% sodium azide 20 ug 259
Image
V4658SAF-100UG 1 mg/ml in 1X PBS; BSA free, sodium azide free 100 ug 559
Microvalidated Recrabbitmono
Bulk quote request
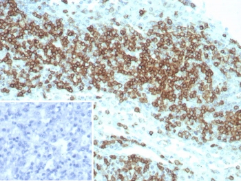
Immunohistochemistry analysis of CD2 antibody (clone LFA2/8845R) in human lymph node tissue. Formalin-fixed, paraffin-embedded lymph node shows strong membranous HRP-DAB brown staining in interfollicular T lymphocytes, consistent with CD2 expression on mature T cells. Follicular B cell areas display minimal staining, while hematoxylin counterstain highlights nodal architecture and nuclei. The inset shows PBS used in place of primary antibody as a negative control, confirming absence of non-specific secondary antibody binding. Heat-induced epitope retrieval was performed by boiling tissue sections in 10 mM Tris with 1 mM EDTA, pH 9.0, for 20 minutes followed by cooling at room temperature prior to staining.
SDS-PAGE analysis of purified, BSA-free CD2 antibody (clone LFA2/8845R) as confirmation of integrity and purity.
Availability 1-3 business days
Species Reactivity Human
Format Purified
Host Rabbit
Clonality Recombinant Rabbit Monoclonal
Isotype Rabbit IgG, kappa
Clone Name LFA2/8845R
Purity Protein A/G affinity
UniProt P06729
Localization Cell surface
Applications Immunohistochemistry (FFPE) : 1-2ug/ml for 30 min at RT
Limitations This CD2 antibody is available for research use only.
Review this product on BioCompare and get a $20 Amazon gift card

Related Products

  • Applications : WB, IHC-P
    Reactivity : Human
    Recrabbitmono
  • Applications : IHC-P
    Reactivity : Human
    Recmousemono
  • Applications : IHC-P
    Reactivity : Human
    Microvalidated
  • Applications : IHC-P
    Reactivity : Human
    Microvalidated
  • Applications : Functional studies, FACS, IF, WB
    Reactivity : Human
  • Applications : Functional studies, FACS, IF, WB
    Reactivity : Human
  • Applications : Functional studies, FACS, IF
    Reactivity : Human
    Citation  Citations(1)
  • Applications : Functional studies, FACS, IF
    Reactivity : Human
    Citation  Citations(3)
  • Applications : FACS, IF
    Reactivity : Human
  • Applications : WB
    Reactivity : Human
    Rab Mono Image
  • Applications : FACS, IF
    Reactivity : Human
  • Applications : Functional Studies, FACS
    Reactivity : Human
  • Applications : IHC-P
    Reactivity : Human
  • Applications : WB
    Reactivity : Mouse, Rat
  • Applications : WB, IHC-P
    Reactivity : Mouse
  • Applications : IHC-P, IF, Direct ELISA
    Reactivity : Mouse, Rat
  • Applications : WB, FACS, IP, IHC-P, Direct ELISA
    Reactivity : Human

Description

CD2 antibody recognizes CD2 molecule, a cell surface glycoprotein encoded by the CD2 gene and also referred to as LFA-2 and T cell surface antigen CD2 in the literature. CD2 is a member of the immunoglobulin superfamily and is predominantly expressed on the surface of T lymphocytes and natural killer cells. This CD2 antibody is designed to support research applications focused on T cell development, activation, and immune cell characterization.

CD2 functions as an adhesion and co-stimulatory receptor that binds to CD58, promoting stable interactions between T cells and antigen-presenting cells. Through this interaction, CD2 enhances T cell receptor signaling and contributes to downstream activation events including cytokine production and proliferation. The protein contains extracellular immunoglobulin-like domains, a single transmembrane region, and a cytoplasmic tail involved in intracellular signaling cascades. CD2 is localized primarily to the plasma membrane, where it participates in immune synapse formation and cell-cell communication.

Physiologically, CD2 is expressed in thymocytes, mature peripheral T cells, and natural killer cells within lymphoid tissues and peripheral blood. Its restricted expression pattern makes it a valuable marker for T cell lineage identification in research settings. In pathologic contexts, CD2 expression is relevant in studies of T cell leukemias and lymphomas, where membranous staining patterns can assist in immunophenotypic characterization. Clone LFA2/8845R is a recombinant rabbit monoclonal antibody produced through defined sequence expression to promote batch-to-batch consistency and performance reliability. CD2 antibody can be used to investigate immune cell adhesion mechanisms, T cell signaling pathways, and lymphoid tissue architecture in experimental systems.

Application Notes

Optimal dilution of the CD2 antibody should be determined by the researcher.

Immunogen

A recombinant fragment corresponding to the N-terminal of human CD2 protein was used as the immunogen for the CD2 antibody.

Storage

Aliquot the CD2 antibody and store frozen at -20oC or colder. Avoid repeated freeze-thaw cycles.

Cross
Bulk Quote Request Form
Name*:
Organization*:
Email*:
Phone Number*:
Catalog No.*:
Comments and Specifics(amount, formulation, etc.)*:
Validation code: Captchapackage Image


Can't read the image? click here to refresh.
    *required field

Your bulk quote request has been submitted successfully!

Please contact us if you have any questions.