• Tel: 858.663.9055
  • SeparatorEmail: info@nsjbio.com
  • Tel: 858.663.9055
  • Email: info@nsjbio.com
Home >> Antibodies >> CD1A Antibody / Epithelial Immune Surveillance Marker Antibody

CD1A Antibody / Epithelial Immune Surveillance Marker Antibody [clone RM393] (R20409)

  Catalog No Formulation Size Price (USD)  
Image R20409-0.1ML Antibody in PBS with 50% glycerol, 1% BSA and 0.09% sodium azide 100 ul 439
Microvalidated Recrabbitmono
Bulk quote request
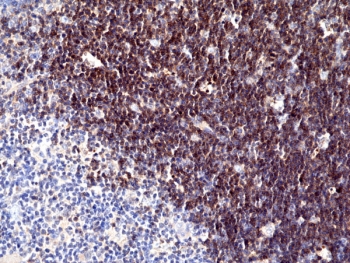
CD1A Antibody for IHC. Immunohistochemistry analysis of CD1A / CD1a expression in FFPE human thymus tissue using CD1A Antibody. Strong membranous and cytoplasmic staining is observed in cortical thymocytes, while medullary regions show reduced staining intensity. The pattern highlights CD1a expression in developing T-cell populations and supports evaluation of antigen-presenting cell interactions within the thymic microenvironment, consistent with roles in epithelial-associated immune surveillance.
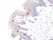
CD1A Antibody for IHC. Immunohistochemistry analysis of CD1A / CD1a expression in FFPE human skin tissue using CD1A Antibody. Membranous and cytoplasmic staining is observed in scattered dendritic cells within the epidermis, consistent with Langerhans cell localization, while surrounding keratinocytes remain largely negative. The distribution of CD1a-positive cells along the epithelial layer highlights tissue-resident immune surveillance at the skin barrier and supports evaluation of antigen-presenting cell presence in epithelial tissues.
Availability 1-3 business days
Species Reactivity Human
Format Purified
Host Rabbit
Clonality Recombinant Rabbit Monoclonal
Isotype Rabbit IgG
Clone Name RM393
Purity Protein A purified from animal origin-free supernatant
UniProt P06126
Localization Cell surface, cytoplasmic
Applications Immunohistochemistry (FFPE) : 1:100-1:200
Limitations This recombinant CD1a antibody is available for research use only.
Review this product on BioCompare and get a $20 Amazon gift card

Related Products

Description

CD1 molecule alpha 1 (CD1A) is a transmembrane glycoprotein encoded by the CD1A gene that plays a key role in immune surveillance within epithelial tissues through its expression on Langerhans cells. CD1A antibody, also known as CD1a antibody or T-cell surface glycoprotein CD1a antibody, enables detection of these specialized antigen-presenting cells within the skin and mucosal epithelium. CD1A Antibody is particularly valuable for studying epithelial immune surveillance and tissue-resident immune cell populations at barrier surfaces.

Langerhans cells are dendritic cells located within the epidermis and mucosal epithelia, where they function as sentinels of the immune system by capturing, processing, and presenting antigens to T cells. CD1a expression is a defining feature of these cells, allowing them to be distinguished from surrounding epithelial cells such as keratinocytes. Detection of CD1a therefore provides a direct method for identifying immune surveillance cells within epithelial layers and assessing their spatial distribution.

In tissue-based analyses, CD1a-positive cells are observed as scattered dendritic cells within the epithelial layer, forming a network that monitors environmental exposure and contributes to host defense. This distribution is particularly evident in skin, where Langerhans cells are positioned to detect external antigens. A CD1a antibody enables visualization of these cells within intact tissue architecture, supporting evaluation of immune surveillance activity in epithelial environments.

Changes in Langerhans cell density and distribution are associated with inflammatory skin conditions, infection, and tumor-associated immune responses. CD1A detection can therefore be used to assess immune cell infiltration and to evaluate how epithelial immune surveillance is altered in disease states. This is particularly relevant in studies of tumor microenvironment interactions, where dendritic cells contribute to immune recognition and modulation of local immune responses.

CD1A Antibody is therefore well suited for studies focused on epithelial immune surveillance, tissue-resident dendritic cells, and immune responses at barrier surfaces. Its use supports detailed analysis of CD1a-positive cell distribution within epithelial tissues and provides insight into localized immune function and host defense mechanisms.

A full range of CD1A antibody reagents for immunohistochemistry, western blot, and flow cytometry is available on our CD1A Antibody collection page.

Application Notes

The stated application concentrations are suggested starting points. Titration of the CD1A Antibody / Epithelial Immune Surveillance Marker Antibody may be required due to differences in protocols and secondary/substrate sensitivity.

Immunogen

A peptide corresponding to Human CD1a was used as the immunogen for the CD1A Antibody / Epithelial Immune Surveillance Marker Antibody.

Storage

Store the recombinant CD1a antibody at -20oC.

Alternate Names

CD1a antibody, epithelial immune marker antibody, Langerhans cell marker antibody, CD1A skin immune surveillance antibody, T-cell surface glycoprotein CD1a antibody

Cross
Bulk Quote Request Form
Name*:
Organization*:
Email*:
Phone Number*:
Catalog No.*:
Comments and Specifics(amount, formulation, etc.)*:
Validation code: Captchapackage Image


Can't read the image? click here to refresh.
    *required field

Your bulk quote request has been submitted successfully!

Please contact us if you have any questions.