• Tel: 858.663.9055
  • SeparatorEmail: info@nsjbio.com
  • Tel: 858.663.9055
  • Email: info@nsjbio.com
Home >> Antibodies >> CD1A Antibody Clone O10 / CD1a Monoclonal Antibody

CD1A Antibody Clone O10 / CD1a Monoclonal Antibody [clone O10] (V2025)

  Catalog No Formulation Size Price (USD)  
Image V2025-100UG 0.2 mg/ml in 1X PBS with 0.1 mg/ml BSA (US sourced) and 0.05% sodium azide 100 ug 559
Image
V2025-20UG 0.2 mg/ml in 1X PBS with 0.1 mg/ml BSA (US sourced) and 0.05% sodium azide 20 ug 259
Image
V2025SAF-100UG 1 mg/ml in 1X PBS; BSA free, sodium azide free 100 ug 559
Image
V2025IHC-7ML Prediluted in 1X PBS with 0.1 mg/ml BSA (US sourced) and 0.05% sodium azide; *For IHC use only* 7 ml 559
Bulk quote request
CD1A Antibody Clone O10. Flow cytometry analysis of CD1A / CD1a expression in human Molt-4 cells using CD1A Antibody Clone O10. The histogram shows a clear rightward fluorescence shift of CD1a-positive cells (blue) compared to the isotype control (red), indicating specific cell surface detection. This staining pattern supports reliable identification of CD1a-expressing cell populations and is consistent with the established use of clone O10 in immune cell characterization and phenotypic analysis.
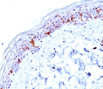
CD1A Antibody Clone O10. Immunohistochemistry analysis of CD1A / CD1a expression in human skin tissue using CD1A Antibody Clone O10. Strong membranous and cytoplasmic staining is observed in dendritic cells within the epidermis, consistent with Langerhans cell localization, while surrounding keratinocytes remain largely negative. The staining pattern highlights tissue-resident antigen-presenting cells within the epithelial layer and reflects the established use of clone O10 for detecting CD1a-positive dendritic cells in skin.
SDS-PAGE analysis of purified, BSA-free CD1a antibody clone O10 as confirmation of integrity and purity.
Species Reactivity Human
Format Purified
Host Mouse
Clonality Monoclonal (mouse origin)
Isotype Mouse IgG1, kappa
Clone Name O10
Purity Protein G affinity chromatography
Buffer 1X PBS, pH 7.4
Gene ID 909
Localization Cell surface, cytoplasmic
Applications Flow Cytometry : 1-2ug/million cells
Immunofluorescence : 1-2ug/ml
Western Blot : 0.5-1ug/ml
Immunohistochemistry (FFPE) : 1-2ug/ml for 30 min at RT
Limitations This CD1A antibody is available for research use only.
Review this product on BioCompare and get a $20 Amazon gift card

Related Products

Description

CD1 molecule alpha 1 (CD1A) is a transmembrane glycoprotein encoded by the CD1A gene that functions in lipid antigen presentation to T cells and is widely recognized as a marker of dendritic cells, particularly Langerhans cells within epithelial tissues. CD1A antibody, also known as CD1a antibody or T-cell surface glycoprotein CD1a antibody, enables detection of antigen-presenting cell populations across a range of biological systems. CD1A Antibody Clone O10 is a well-established mouse monoclonal antibody that has been extensively used for detection of CD1a in immunological and histological studies.

CD1a expression is largely restricted to dendritic lineage cells, including Langerhans cells in the epidermis and mucosal epithelia, as well as cortical thymocytes, while most other cell types show minimal or no expression. This selective distribution makes CD1A a reliable marker for identifying antigen-presenting cells within complex tissues and cellular environments. In immunohistochemistry, CD1a-positive cells are typically observed with membranous and cytoplasmic staining, allowing clear visualization of dendritic cell morphology and localization within stratified epithelia and lymphoid-associated tissues.

Clone O10 antibody has been referenced in more than 100 peer-reviewed publications, reflecting its widespread adoption in studies of dendritic cell biology, immune cell characterization, and antigen presentation. This extensive citation history indicates consistent performance across diverse experimental systems and supports its use as a recognized reagent for CD1a detection. CD1A Antibody Clone O10 has been used in investigations of skin immune biology, thymic development, and tissue-resident antigen-presenting cell populations, where accurate identification of CD1a-positive cells is essential.

In tissue-based analyses, CD1a staining highlights Langerhans cells within the epidermis and dendritic cells in mucosal and lymphoid tissues, providing insight into immune surveillance and epithelial immune interactions. In pathological samples, CD1a is frequently used to assess dendritic cell infiltration and distribution, including evaluation of immune cell presence within tumor microenvironments and inflammatory conditions. This makes CD1A a valuable marker in studies examining immune responses, tissue remodeling, and disease-associated changes in antigen-presenting cell populations.

CD1A Antibody Clone O10 is therefore well suited for applications requiring a widely used and well-characterized reagent for CD1a detection. Its extensive presence in peer-reviewed literature, combined with its consistent performance in detecting dendritic lineage cells, supports its use in studies of immune cell distribution, antigen presentation, and tissue-specific immune organization across a variety of biological contexts.

A full range of CD1A antibody reagents for immunohistochemistry, western blot, and flow cytometry is available on our CD1A Antibody collection page.

Application Notes

The concentration stated for each application is a general starting point. Variations in protocols, secondaries and substrates may require the CD1A Antibody Clone O10 / CD1a Monoclonal Antibody to be titered up or down for optimal performance.

1. Staining of formalin-fixed tissues requires boiling tissue sections in 10mM Citrate Buffer, pH 6, or pH 9 10mM Tris with 1mM EDTA, for 10-20 min followed by cooling at RT for 20 minutes.
2. The prediluted format is supplied in a dropper bottle and is optimized for use in IHC. After epitope retrieval step (if required), drip mAb solution onto the tissue section and incubate at RT for 30 min.

Immunogen

Human thymus cells were used as the immunogen for this CD1A Antibody Clone O10 / CD1a Monoclonal Antibody.

Storage

Store the CD1A antibody at 2-8oC (with azide) or aliquot and store at -20oC or colder (without azide).

Alternate Names

CD1a antibody clone O10, CD1A monoclonal antibody, T-cell surface glycoprotein CD1a antibody, Langerhans cell marker antibody, dendritic cell CD1A antibody

Cross
Bulk Quote Request Form
Name*:
Organization*:
Email*:
Phone Number*:
Catalog No.*:
Comments and Specifics(amount, formulation, etc.)*:
Validation code: Captchapackage Image


Can't read the image? click here to refresh.
    *required field

Your bulk quote request has been submitted successfully!

Please contact us if you have any questions.