• Tel: 858.663.9055
  • SeparatorEmail: info@nsjbio.com
  • Tel: 858.663.9055
  • Email: info@nsjbio.com
Home >> Antibodies >> CD1A Antibody for WB / Protein Expression Detection Antibody

CD1A Antibody for WB / Protein Expression Detection Antibody (F43045)

  Catalog No Formulation Size Price (USD)  
Image F43045-0.4ML In 1X PBS, pH 7.4, with 0.09% sodium azide 0.4 ml 439
Image
F43045-0.08ML In 1X PBS, pH 7.4, with 0.09% sodium azide 0.08 ml 205
Bulk quote request
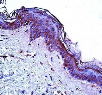
CD1A antibody immunohistochemistry analysis in formalin fixed and paraffin embedded human skin tissue.
CD1A Antibody for WB. Western blot analysis of CD1A / CD1a protein expression in MDA-MB231 cell lysate using CD1A Antibody for WB. Lane 1: MDA-MB231 lysate. A band is detected at approximately 45-50 kDa, consistent with the predicted molecular weight of CD1A / CD1a (37-49 kDa). The slightly higher apparent molecular weight is consistent with glycosylation of this membrane-associated protein, which can shift migration on SDS-PAGE.
Availability 1-3 business days
Species Reactivity Human
Format Antigen affinity purified
Host Rabbit
Clonality Polyclonal (rabbit origin)
Isotype Rabbit Ig
Purity Antigen affinity
UniProt P06126
Applications Western Blot : 1:1000
IHC (Paraffin) : 1:10-1:50
Limitations This CD1A antibody is available for research use only.
Review this product on BioCompare and get a $20 Amazon gift card

Related Products

Description

CD1 molecule alpha 1 (CD1A) is a membrane-associated glycoprotein encoded by the CD1A gene that functions in lipid antigen presentation to T cells and is widely used as a marker of dendritic lineage cells. CD1A Antibody for WB enables detection of CD1a protein in cell and tissue lysates by western blot, supporting analysis of protein expression across a range of biological systems. CD1A antibody, also known as CD1a antibody or T-cell surface glycoprotein CD1a antibody, is particularly useful in immunoblot assays where relative abundance and presence of CD1A protein are being evaluated.

In western blot applications, CD1a detection provides insight into expression patterns associated with antigen-presenting cell populations, including dendritic cells and Langerhans cells. This makes CD1A a valuable marker for studies examining immune cell differentiation, lineage commitment, or changes in antigen-presenting capacity under different experimental conditions. A CD1a western blot antibody supports comparison of CD1A expression across multiple sample types, including cultured cell lines, primary immune cells, and tissue-derived lysates.

The predicted molecular weight of CD1A is approximately 49 kDa based on its amino acid sequence. In immunoblot analysis, a band is commonly detected near this size, corresponding to full-length CD1A protein. As a glycosylated membrane protein, CD1a may migrate at a slightly higher apparent molecular weight depending on the extent of glycosylation and sample preparation conditions. These shifts are consistent with known post-translational modification patterns and should be interpreted in the context of the experimental system.

Western blot detection of CD1A is particularly valuable for expression profiling studies, where changes in protein levels are used to assess biological responses or cellular composition. This includes experiments comparing treated versus untreated samples, evaluating differentiation states, or confirming expression of CD1A in engineered or induced systems. A CD1a western blot antibody provides a reliable approach for identifying CD1A-positive samples and quantifying relative expression differences across conditions.

CD1A Antibody for WB therefore supports protein expression analysis by enabling clear detection of CD1a in complex lysates. Its use in immunoblot assays allows researchers to assess presence, relative abundance, and variation in CD1A expression, contributing to a better understanding of antigen-presenting cell biology and immune system function.

A full range of CD1A antibody reagents for immunohistochemistry, western blot, and flow cytometry is available on our CD1A Antibody collection page.

Application Notes

Titration of the CD1A Antibody for WB / Protein Expression Detection Antibody may be required due to differences in protocols and secondary/substrate sensitivity.

Immunogen

A portion of amino acids 75-104 from the human protein was used as the immunogen for this CD1A Antibody for WB / Protein Expression Detection Antibody.

Storage

Aliquot the CD1A antibody and store frozen at -20oC or colder. Avoid repeated freeze-thaw cycles.

Alternate Names

CD1a western blot antibody, CD1A protein expression antibody, T-cell surface glycoprotein CD1a antibody, CD1A immunoblot antibody, CD1a detection antibody

Cross
Bulk Quote Request Form
Name*:
Organization*:
Email*:
Phone Number*:
Catalog No.*:
Comments and Specifics(amount, formulation, etc.)*:
Validation code: Captchapackage Image


Can't read the image? click here to refresh.
    *required field

Your bulk quote request has been submitted successfully!

Please contact us if you have any questions.