• Tel: 858.663.9055
  • SeparatorEmail: info@nsjbio.com
  • Tel: 858.663.9055
  • Email: info@nsjbio.com
Home >> Antibodies >> CD1A Antibody / Antigen-Presenting Cell Marker Antibody

CD1A Antibody / Antigen-Presenting Cell Marker Antibody [clone C1A/711] (V2026)

  Catalog No Formulation Size Price (USD)  
Image V2026-100UG 0.2 mg/ml in 1X PBS with 0.1 mg/ml BSA (US sourced) and 0.05% sodium azide 100 ug 559
Image
V2026-20UG 0.2 mg/ml in 1X PBS with 0.1 mg/ml BSA (US sourced) and 0.05% sodium azide 20 ug 259
Image
V2026SAF-100UG 1 mg/ml in 1X PBS; BSA free, sodium azide free 100 ug 559
Image
V2026IHC-7ML Prediluted in 1X PBS with 0.1 mg/ml BSA (US sourced) and 0.05% sodium azide; *For IHC use only* 7 ml 559
Bulk quote request
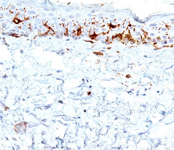
CD1A Antibody for IHC. Immunohistochemistry analysis of CD1A / CD1a expression in FFPE human skin tissue using CD1A Antibody. Membranous and cytoplasmic staining is observed in scattered dendritic cells within the epidermis, consistent with Langerhans cell localization, while surrounding keratinocytes remain largely negative. The distribution of CD1a-positive cells along the epithelial layer supports identification of antigen-presenting dendritic cells involved in local immune surveillance within skin.
SDS-PAGE analysis of purified, BSA-free CD1a antibody (clone C1A/711) as confirmation of integrity and purity.
CD1A Antibody for IHC. Immunohistochemistry analysis of CD1A / CD1a expression in human skin tissue using CD1A Antibody. Membranous and cytoplasmic staining is observed in dendritic cells within the epidermis, consistent with Langerhans cell localization, while surrounding keratinocytes remain largely negative. The distribution of CD1a-positive cells highlights antigen-presenting dendritic cells positioned at the epithelial interface, supporting evaluation of immune activation and antigen presentation within skin.
Species Reactivity Human
Format Purified
Host Mouse
Clonality Monoclonal (mouse origin)
Isotype Mouse IgG1, kappa
Clone Name C1A/711
Purity Protein G affinity chromatography
Buffer 1X PBS, pH 7.4
Gene ID 909
Localization Cell surface, cytoplasmic
Applications Immunohistochemistry (FFPE) : 1-2ug/ml for 30 min at RT
Limitations This CD1a antibody is available for research use only.
Review this product on BioCompare and get a $20 Amazon gift card

Related Products

Description

CD1 molecule alpha 1 (CD1A) is a transmembrane glycoprotein encoded by the CD1A gene that functions in lipid antigen presentation and serves as a defining feature of antigen-presenting dendritic cells. CD1A antibody, also known as CD1a antibody or T-cell surface glycoprotein CD1a antibody, enables detection of CD1A expression in studies of immune activation and antigen presentation. CD1A Antibody is particularly useful for identifying antigen-presenting cell populations and evaluating their role in initiating immune responses.

Dendritic cells expressing CD1a are key regulators of immune function, capturing and processing antigens and presenting them to T cells to initiate adaptive immune responses. These cells are widely distributed in tissues exposed to environmental antigens, including skin, mucosal surfaces, and lymphoid organs, where they function as sentinels of the immune system. Detection of CD1a therefore provides insight into the presence and activity of antigen-presenting cells across diverse biological contexts.

In tissue-based analyses, CD1a-positive cells are observed as dendritic cells with characteristic morphology, often localized within epithelial layers or interspersed within lymphoid compartments. This distribution reflects their role in antigen capture and presentation at sites of immune surveillance. In suspension-based assays, CD1a serves as a surface marker for identifying antigen-presenting cell populations and distinguishing them from other immune cell types.

The presence and functional state of antigen-presenting cells are critical determinants of immune activation, tolerance, and response to infection or disease. Changes in CD1a-positive cell populations can influence immune system behavior, including the initiation and regulation of T-cell responses. A CD1a antibody enables researchers to assess these cells and to investigate their role in shaping immune outcomes.

CD1A Antibody is therefore well suited for studies focused on antigen-presenting cell biology and immune activation. Its use supports identification of dendritic cells and enables investigation of cellular mechanisms that drive antigen presentation, immune recognition, and the initiation of adaptive immune responses.

A full range of CD1A antibody reagents for immunohistochemistry, western blot, and flow cytometry is available on our CD1A Antibody collection page.

Application Notes

The concentration stated for each application is a general starting point. Variations in protocols, secondaries and substrates may require the CD1A Antibody / Antigen-Presenting Cell Marker Antibody to be titered up or down for optimal performance.

1. Staining of formalin-fixed tissues requires boiling tissue sections in 10mM Citrate Buffer, pH 6.0, for 10-20 min followed by cooling at RT for 20 minutes.
2. The prediluted format is supplied in a dropper bottle and is optimized for use in IHC. After epitope retrieval step (if required), drip mAb solution onto the tissue section and incubate at RT for 30 min.

Immunogen

Recombinant human CD1a protein was used as the immunogen for this CD1A Antibody / Antigen-Presenting Cell Marker Antibody.

Storage

Store the CD1a antibody at 2-8oC (with azide) or aliquot and store at -20oC or colder (without azide).

Alternate Names

CD1a antibody, antigen-presenting cell marker antibody, dendritic cell marker antibody, CD1A immune activation antibody, T-cell surface glycoprotein CD1a antibody

Cross
Bulk Quote Request Form
Name*:
Organization*:
Email*:
Phone Number*:
Catalog No.*:
Comments and Specifics(amount, formulation, etc.)*:
Validation code: Captchapackage Image


Can't read the image? click here to refresh.
    *required field

Your bulk quote request has been submitted successfully!

Please contact us if you have any questions.