• Tel: 858.663.9055
  • SeparatorEmail: info@nsjbio.com
  • Tel: 858.663.9055
  • Email: info@nsjbio.com
Home >> Antibodies >> CD18 Antibody

CD18 Antibody (R30705)

  Catalog No Formulation Size Price (USD)  
Image R30705 0.5mg/ml if reconstituted with 0.2ml sterile DI water 100 ug 449
Bulk quote request
Western blot testing of CD18 antibody and Lane 1: Jurkat cell lysate ; 2: CEM; 3: HT1080; 4: SMMC-7721; 5: HeLa cell lysate. Predicted/observed molecular weight: 85~95 kDa depending on glycosylation level.
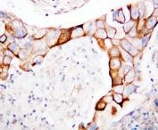
IHC-P: CD18 antibody testing of human breast cancer tissue. HIER: steamed with pH6 citrate buffer.
Availability 1-3 business days
Species Reactivity Human, Mouse, Rat
Format Antigen affinity purified
Host Rabbit
Clonality Polyclonal (rabbit origin)
Isotype Rabbit IgG
Purity Antigen affinity
Buffer Lyophilized from 1X PBS with 2.5% BSA and 0.025% sodium azide/thimerosal
UniProt P05107
Applications Western Blot : 0.5-1ug/ml
IHC (FFPE) : 0.5-1ug/ml
Limitations This CD18 antibody is available for research use only.
Review this product on BioCompare and get a $20 Amazon gift card

Related Products

Description

ITGB2 (Integrin beta 2), also known as CD18, is a protein that in humans is encoded by the ITGB2 gene. ITGB2/CD18 is an integrin protein that belongs to the class of cell membrane glycoproteins. The beta-2 integrin chain gene is designated ITGB2 and the leukocyte antigen has been designated CD18. The ITGB2 gene is mapped to 21q22.3. The expression of CD18 is increased in lymphoblastoid cells from persons with Down syndrome, consistent with the location of the gene on chromosome 21. In humans, lack of ITGB2 causes Leukocyte Adhesion Deficiency, a disease defined by a lack of leukocyte extravasation from blood into tissues. Although ITGB2 is expressed on the cell surface at normal levels and is capable of function following extracellular stimulation, it could not be activated via the inside-out signaling pathways.

Application Notes

The stated application concentrations are suggested starting amounts. Titration of the CD18 antibody may be required due to differences in protocols and secondary/substrate sensitivity.

Immunogen

An amino acid sequence from the C-terminus of human CD18 (LREYRRFEKEKLKSQWN) was used as the immunogen for this CD18 antibody.

Storage

After reconstitution, the CD18 antibody can be stored for up to one month at 4oC. For long-term, aliquot and store at -20oC. Avoid repeated freezing and thawing.

Cross
Bulk Quote Request Form
Name*:
Organization*:
Email*:
Phone Number*:
Catalog No.*:
Comments and Specifics(amount, formulation, etc.)*:
Validation code: Captchapackage Image


Can't read the image? click here to refresh.
    *required field

Your bulk quote request has been submitted successfully!

Please contact us if you have any questions.