• Tel: 858.663.9055
  • SeparatorEmail: info@nsjbio.com
  • Tel: 858.663.9055
  • Email: info@nsjbio.com
Home >> Antibodies >> CD166 Antibody / ALCAM

CD166 Antibody / ALCAM (R32766)

  Catalog No Formulation Size Price (USD)  
Image R32766 0.5mg/ml if reconstituted with 0.2ml sterile DI water 100 ug 449
Bulk quote request
Immunofluorescent staining of FFPE human liver cancer tissue with CD166 antibody (red) and DAPI nuclear stain (blue). HIER: steam section in pH8 EDTA buffer for 20 min.
IHC staining of FFPE human liver cancer tissue with CD166 antibody. HIER: boil tissue sections in pH8 EDTA for 20 min and allow to cool before testing.
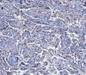
IHC staining of FFPE human breast cancer tissue with CD166 antibody. HIER: boil tissue sections in pH8 EDTA for 20 min and allow to cool before testing.
IHC staining of FFPE human lung cancer tissue with CD166 antibody. HIER: boil tissue sections in pH8 EDTA for 20 min and allow to cool before testing.
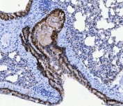
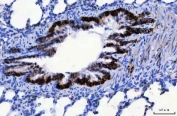
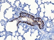
IHC staining of FFPE mouse lung tissue with CD166 antibody. HIER: boil tissue sections in pH8 EDTA for 20 min and allow to cool before testing.
IHC staining of FFPE rat lung tissue with CD166 antibody. HIER: boil tissue sections in pH8 EDTA for 20 min and allow to cool before testing.
IHC staining of FFPE rat lung tissue with CD166 antibody. HIER: boil tissue sections in pH8 EDTA for 20 min and allow to cool before testing.
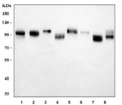
Western blot testing of 1) human SH-SY5Y, 2) human HeLa, 3) rat liver, 4) rat brain, 5) rat lung, 6) mouse liver, 7) mouse brain and 8) mouse lung lysate with CD166 antibody. Predicted molecular weight: 65-105 kDa depending on glycosylation level.
Flow cytometry testing of fixed and permeabilized human SH-SY5Y cells with CD166 antibody at 1ug/million cells (blocked with goat sera); Red=cells alone, Green=isotype control, Blue= CD166 antibody.
Availability 1-3 business days
Species Reactivity Human, Mouse, Rat
Format Antigen affinity purified
Host Rabbit
Clonality Polyclonal (rabbit origin)
Isotype Rabbit IgG
Purity Antigen affinity
Buffer Lyophilized from 1X PBS with 2% Trehalose
UniProt Q13740
Localization Membrane, cytoplasm
Applications Western Blot : 0.5-1ug/ml
Immunohistochemistry (FFPE) : 2-5ug/ml
Immunofluorescence : 5ug/ml
Flow Cytometry : 1-3ug/million cells
Limitations This CD166 antibody is available for research use only.
Review this product on BioCompare and get a $20 Amazon gift card

Related Products

Description

This gene encodes activated leukocyte cell adhesion molecule (ALCAM), also known as CD166 (cluster of differentiation 166), which is a member of a subfamily of immunoglobulin receptors with five immunoglobulin-like domains (VVC2C2C2) in the extracellular domain. This protein binds to T-cell differentiation antigene CD6, and is implicated in the processes of cell adhesion and migration. Multiple alternatively spliced transcript variants encoding different isoforms have been found.

Application Notes

Optimal dilution of the CD166 antibody should be determined by the researcher.

Immunogen

Amino acids N167-E406 from the human protein were used as the immunogen for the CD166 antibody.

Storage

After reconstitution, the CD166 antibody can be stored for up to one month at 4oC. For long-term, aliquot and store at -20oC. Avoid repeated freezing and thawing.

Cross
Bulk Quote Request Form
Name*:
Organization*:
Email*:
Phone Number*:
Catalog No.*:
Comments and Specifics(amount, formulation, etc.)*:
Validation code: Captchapackage Image


Can't read the image? click here to refresh.
    *required field

Your bulk quote request has been submitted successfully!

Please contact us if you have any questions.