• Tel: 858.663.9055
  • SeparatorEmail: info@nsjbio.com
  • Tel: 858.663.9055
  • Email: info@nsjbio.com
Home >> Antibodies >> CD166 Antibody / ALCAM

CD166 Antibody / ALCAM [clone rMOG/07] (V5885)

  Catalog No Formulation Size Price (USD)  
Image V5885-100UG 0.2 mg/ml in 1X PBS with 0.05% BSA, 0.05% sodium azide 100 ug 559
Image
V5885-20UG 0.2 mg/ml in 1X PBS with 0.05% BSA, 0.05% sodium azide 20 ug 259
Image
V5885SAF-100UG 1 mg/ml in 1X PBS; BSA free, sodium azide free 100 ug 559
Microvalidated Recmousemono
Bulk quote request
Western blot analysis of human A549 and A431 cell lysates using recombinant CD166/ALCAM antibody (clone rMOG/07). Predicted molecular weight ~65 kDa (unmodified), 100-105 kDa (glycosylated).
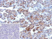
Formalin-fixed, paraffin-embedded human parathyroid gland stained with recombinant CD166/ALCAM antibody (clone rMOG/07). Inset: PBS instead of primary antibody; secondary only negative control. Staining of formalin-fixed tissues requires heating tissue sections in 10mM Tris with 1mM EDTA, pH 9.0, for 45 min at 95°C followed by cooling at RT for 20 minutes.
SDS-PAGE Analysis of purified recombinant CD166/ALCAM antibody (clone rMOG/07). Confirmation of Purity and Integrity of Antibody.
Species Reactivity Human
Format Purified
Host Mouse
Clonality Recombinant Mouse Monoclonal
Isotype Mouse IgG2b, kappa
Clone Name rMOG/07
UniProt Q13740
Localization Cell membrane
Applications Immunohistochemistry (FFPE) : 1-2ug/ml
Western Blot : 2-4ug/ml
Limitations This CD166/ALCAM antibody is available for research use only.
Review this product on BioCompare and get a $20 Amazon gift card

Related Products

Description

CD166 antibody targets Activated leukocyte cell adhesion molecule, a cell surface glycoprotein encoded by the ALCAM gene and classified within the immunoglobulin superfamily of adhesion receptors. CD166, also referred to as ALCAM or melanoma-associated cell adhesion molecule, functions as a mediator of cell-cell adhesion through both homophilic CD166-CD166 interactions and heterophilic binding to CD6. This adhesive activity plays an important role in stabilizing intercellular contacts and regulating tissue organization in diverse biological contexts.

At the cellular level, CD166 is predominantly localized to the plasma membrane, where it contributes to the formation of adherens-like junctions and supports coordinated cell behavior. Expression of Activated leukocyte cell adhesion molecule is observed in epithelial cells, endothelial cells, neurons, and multiple immune cell populations, reflecting its broad involvement in developmental processes and immune regulation. CD166-mediated adhesion is particularly important in maintaining epithelial integrity and facilitating controlled cell migration during tissue remodeling.

CD166 has been extensively studied in cancer biology due to its association with tumor cell cohesion, invasion, and metastatic potential. Altered expression or redistribution of ALCAM can influence tumor architecture and interactions with the surrounding microenvironment. In several malignancies, changes in CD166 expression correlate with tumor differentiation status and disease progression, highlighting its relevance as a marker of adhesion dynamics rather than a lineage-restricted antigen.

This CD166 antibody is suitable for research applications involving detection of Activated leukocyte cell adhesion molecule expression and localization in cells and tissue sections. Clone rMOG/07 is designed to recognize CD166 and supports investigation of cell adhesion mechanisms, immune cell interactions, and adhesion-related alterations in physiological and pathological models. Use of this antibody enables focused study of ALCAM-associated structural and signaling roles across a range of experimental systems.

Application Notes

1. Optimal dilution of the CD166/ALCAM antibody should be determined by the researcher.

2. This CD166/ALCAM antibody is recombinantly produced by expression in CHO cells.

Immunogen

The CD166/ALCAM antibody was raised against a 200 amino acid portion of human CD166.

Storage

CD166/ALCAM antibody with sodium azide - store at 2 to 8oC; antibody without sodium azide - store at -20 to -80oC.

Cross
Bulk Quote Request Form
Name*:
Organization*:
Email*:
Phone Number*:
Catalog No.*:
Comments and Specifics(amount, formulation, etc.)*:
Validation code: Captchapackage Image


Can't read the image? click here to refresh.
    *required field

Your bulk quote request has been submitted successfully!

Please contact us if you have any questions.