• Tel: 858.663.9055
  • SeparatorEmail: info@nsjbio.com
  • Tel: 858.663.9055
  • Email: info@nsjbio.com
Home >> Antibodies >> CD163L1 Antibody / CD163 like 1 / CD163b

CD163L1 Antibody / CD163 like 1 / CD163b [clone 31C59] (FY13161)

  Catalog No Formulation Size Price (USD)  
Image FY13161 Rabbit IgG in phosphate buffered saline, pH 7.4, 150mM NaCl, 0.02% sodium azide and 50% glycerol, 0.4-0.5mg/ml BSA 100 ul 449
Microvalidated Recrabbitmono
Bulk quote request
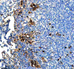
Immunohistochemical staining of CD163b/CD163L1 using anti-CD163L1 antibody. CD163L1 was detected in a paraffin-embedded section of human appendix tissue. Heat mediated antigen retrieval was performed in EDTA buffer (pH 8.0, epitope retrieval solution). The tissue section was blocked with 10% goat serum. The tissue section was then incubated with a dilution of 1:50 rabbit anti-CD163L1 antibody overnight at 4oC. Peroxidase Conjugated Goat Anti-rabbit IgG was used as secondary antibody and incubated for 30 minutes at 37oC. The tissue section was developed using an HRP secondary and DAB substrate.
Immunohistochemical staining of CD163b/CD163L1 using anti-CD163L1 antibody. CD163L1 was detected in a paraffin-embedded section of human tonsil tissue. Heat mediated antigen retrieval was performed in EDTA buffer (pH 8.0, epitope retrieval solution). The tissue section was blocked with 10% goat serum. The tissue section was then incubated with a dilution of 1:50 rabbit anti-CD163L1 antibody overnight at 4oC. Peroxidase Conjugated Goat Anti-rabbit IgG was used as secondary antibody and incubated for 30 minutes at 37oC. The tissue section was developed using an HRP secondary and DAB substrate.
Availability 2-3 weeks
Species Reactivity Human
Format Liquid
Host Rabbit
Clonality Recombinant Rabbit Monoclonal
Isotype Rabbit IgG
Clone Name 31C59
Purity Affinity chromatography
Buffer Rabbit IgG in phosphate buffered saline, pH 7.4, 150mM NaCl, 0.02% sodium azide and 50% glycerol, 0.4-0.5mg/ml BSA.
UniProt Q9NR16
Localization Cytoplasm
Applications Immunohistochemistry : 1:50-1:200
Limitations This CD163L1 antibody is available for research use only.
Review this product on BioCompare and get a $20 Amazon gift card

Related Products

Description

CD163L1 antibody detects CD163 like 1 protein, also called CD163b, encoded by the CD163L1 gene. CD163 like 1 is a scavenger receptor expressed on subsets of monocytes and macrophages, structurally related to CD163 but with distinct ligand binding and immune functions. CD163L1 antibody provides researchers with a valuable tool to study macrophage biology, innate immunity, and inflammatory disease.

CD163 like 1 is a member of the scavenger receptor cysteine-rich family and localizes to the plasma membrane of immune cells. Research using CD163L1 antibody has shown that this receptor binds hemoglobin haptoglobin complexes and other ligands, contributing to clearance of hemoglobin and modulation of inflammation. Unlike CD163, CD163L1 expression is restricted to specific immune cell subsets, suggesting specialized functions in innate defense.

In immune regulation, CD163L1 influences cytokine responses and macrophage polarization. Studies with CD163L1 antibody have demonstrated that its engagement alters production of pro- and anti-inflammatory mediators, shaping immune responses during infection and tissue repair. Dysregulation of CD163L1 expression has been associated with chronic inflammation and autoimmune disorders.

Beyond immunity, CD163L1 has been implicated in cardiovascular and metabolic diseases. Research using CD163L1 antibody has revealed associations with atherosclerosis, where scavenger receptor activity influences lipid uptake and foam cell formation. In metabolic disease, altered expression may contribute to chronic low-grade inflammation in obesity and diabetes. These findings expand the role of CD163L1 beyond classical scavenger functions to systemic disease processes.

CD163L1 antibody is applied in western blotting, immunohistochemistry, and flow cytometry. Western blotting confirms protein size, immunohistochemistry shows tissue localization, and flow cytometry quantifies expression on immune subsets. These methods make CD163L1 antibody useful in immunology and pathology research.

By providing validated CD163L1 antibody reagents, NSJ Bioreagents supports research into macrophage biology, innate immunity, and inflammatory disease. Detection of CD163 like 1 protein enables researchers to examine how scavenger receptors shape immune responses and disease progression.

Application Notes

Optimal dilution of the CD163L1 antibody should be determined by the researcher.

Immunogen

A synthesized peptide derived from human CD163L1 was used as the immunogen for the CD163L1 antibody.

Storage

Store the CD163L1 antibody at -20oC.

Cross
Bulk Quote Request Form
Name*:
Organization*:
Email*:
Phone Number*:
Catalog No.*:
Comments and Specifics(amount, formulation, etc.)*:
Validation code: Captchapackage Image


Can't read the image? click here to refresh.
    *required field

Your bulk quote request has been submitted successfully!

Please contact us if you have any questions.