• Tel: 858.663.9055
  • SeparatorEmail: info@nsjbio.com
  • Tel: 858.663.9055
  • Email: info@nsjbio.com
Home >> Antibodies >> Cd163 Antibody

Cd163 Antibody (RQ8935)

  Catalog No Formulation Size Price (USD)  
Image RQ8935 0.5mg/ml if reconstituted with 0.2ml sterile DI water 100 ug 449
Bulk quote request
Flow cytometry testing of fixed mouse RAW264.7 cells with Cd163 antibody at 1ug/million cells (blocked with goat sera); Red=cells alone, Green=isotype control, Blue= Cd163 antibody.
IHC staining of FFPE rat thymus tissue with Cd163 antibody, HRP-secondary and DAB substrate. HIER: boil tissue sections in pH8 EDTA for 20 min and allow to cool before testing.
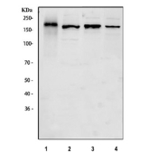
Western blot testing of 1) rat spleen, 2) rat PC-12, 3) mouse thymus and 4) mouse RAW264.7 cell lysate with Cd163 antibody. Predicted molecular weight ~130 kDa but may be observed at higher molecular weights due to glycosylation.
Availability 1-2 business days
Species Reactivity Mouse, Rat
Format Antigen affinity purified
Host Rabbit
Clonality Polyclonal (rabbit origin)
Isotype Rabbit IgG
Purity Antigen affinity purified
Buffer Lyophilized from 1X PBS with 2% Trehalose
UniProt Q2VLH6
Localization Cell surface, cytoplasmic
Applications Western Blot : 1-2ug/ml
Immunohistochemistry (FFPE) : 2-5ug/ml
ELISA : 0.1-0.5ug/ml
Flow Cytometry : 1-3ug/million cells
Limitations This Cd163 antibody is available for research use only.
Review this product on BioCompare and get a $20 Amazon gift card

Related Products

Description

Cd163 is a type I transmembrane glycoprotein belonging to the scavenger receptor cysteine-rich (SRCR) superfamily. It is highly expressed on cells of the monocyte/macrophage lineage, where it functions as a hemoglobin-haptoglobin complex receptor. By mediating clearance of hemoglobin from sites of tissue damage or intravascular hemolysis, Cd163 plays a central role in protecting tissues from oxidative stress and inflammation. A Cd163 antibody is frequently used to study macrophage biology, immune regulation, and tissue remodeling in both mouse and rat models.

Cd163 expression is strongly associated with alternatively activated (M2) macrophages, which are involved in anti-inflammatory processes, tissue repair, and immunosuppression. This makes Cd163 a valuable marker for identifying macrophage polarization states. Employing a Cd163 antibody allows researchers to investigate the dynamics of macrophage activation in response to injury, infection, or disease progression.

Beyond its role in hemoglobin clearance, Cd163 has broader immunomodulatory functions. Engagement of Cd163 can trigger anti-inflammatory signaling cascades and promote the release of heme oxygenase-1, further contributing to cytoprotection. Dysregulated Cd163 expression has been implicated in conditions such as sepsis, atherosclerosis, and chronic inflammatory diseases. In cancer, Cd163-positive macrophages are often linked to tumor-associated macrophages (TAMs), which can support tumor growth and immune evasion. A Cd163 antibody is therefore a powerful tool in both basic immunology and translational research.

NSJ Bioreagents provides a high-quality Cd163 antibody validated for use in western blot, immunohistochemistry, and flow cytometry. Choosing a Cd163 antibody from NSJ Bioreagents ensures reliable performance and reproducibility in studies of macrophage biology, immune responses, and inflammation in rodent models.

Application Notes

Optimal dilution of the Cd163 antibody should be determined by the researcher.

Immunogen

Amino acids N122-H1039 from the mouse protein were used as the immunogen for the Cd163 antibody.

Storage

After reconstitution, the Cd163 antibody can be stored for up to one month at 4oC. For long-term, aliquot and store at -20oC. Avoid repeated freezing and thawing.

Cross
Bulk Quote Request Form
Name*:
Organization*:
Email*:
Phone Number*:
Catalog No.*:
Comments and Specifics(amount, formulation, etc.)*:
Validation code: Captchapackage Image


Can't read the image? click here to refresh.
    *required field

Your bulk quote request has been submitted successfully!

Please contact us if you have any questions.