• Tel: 858.663.9055
  • SeparatorEmail: info@nsjbio.com
  • Tel: 858.663.9055
  • Email: info@nsjbio.com
Home >> Antibodies >> CD163 Antibody

CD163 Antibody (R30974)

  Catalog No Formulation Size Price (USD)  
Image R30974 0.5mg/ml if reconstituted with 0.2ml sterile DI water 100 ug 449
Bulk quote request
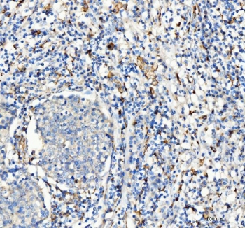
IHC staining of FFPE human lung cancer tissue with CD163 antibody. HIER: boil tissue sections in pH8 EDTA for 20 min and allow to cool before testing.
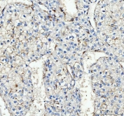
IHC staining of FFPE human liver cancer tissue with CD163 antibody. HIER: boil tissue sections in pH8 EDTA for 20 min and allow to cool before testing.
Western blot testing of human HCCT cell lysate with CD163 antibody. Predicted molecular weight ~130 kDa but may be observed at higher molecular weights due to glycosylation.
Availability 1-3 business days
Species Reactivity Human
Format Antigen affinity purified
Host Rabbit
Clonality Polyclonal (rabbit origin)
Isotype Rabbit IgG
Purity Antigen affinity
Buffer Lyophilized from 1X PBS with 2% Trehalose
UniProt Q86VB7
Localization Cell surface, cytoplasmic
Applications Western Blot : 1-2ug/ml
Immunohistochemistry (FFPE) : 2-5ug/ml
Limitations This CD163 antibody is available for research use only.
Review this product on BioCompare and get a $20 Amazon gift card

Related Products

Description

Cluster of Differentiation 163, also known as Hemoglobin scavenger receptor, is a human protein encoded by the CD163 gene. The receptor belongs to the scavenger receptor cysteine rich family type B and consists of an 1048 amino acid residues extracellular domain, a single transmembrane segment and a cytoplasmic tail with several splice variants. CD163 is a scavenger receptorfor the hemoglobin-haptoglobin complex. Using FISH, somatic cell hybrid analysis, and radiation hybrid analysis, Stover et al.(2000) mapped the gene to chromosome 12p13.3. CD163 expression in monocytes promoted bacteria-induced proinflammatory cytokine production that could be blocked by CD163 antibody. Cells expressing human CD163 and recombinant protein containing the extracellular domain of CD163 supported adhesion of erythroblastic cells.

Application Notes

The stated application concentrations are suggested starting amounts. Titration of the CD163 antibody may be required due to differences in protocols and secondary/substrate sensitivity.

Immunogen

A human partial partial recombinant protein (amino acids 1056-1165) was used as the immunogen for this CD163 antibody.

Storage

After reconstitution, the CD163 antibody can be stored for up to one month at 4oC. For long-term, aliquot and store at -20oC. Avoid repeated freezing and thawing.

Cross
Bulk Quote Request Form
Name*:
Organization*:
Email*:
Phone Number*:
Catalog No.*:
Comments and Specifics(amount, formulation, etc.)*:
Validation code: Captchapackage Image


Can't read the image? click here to refresh.
    *required field

Your bulk quote request has been submitted successfully!

Please contact us if you have any questions.