• Tel: 858.663.9055
  • SeparatorEmail: info@nsjbio.com
  • Tel: 858.663.9055
  • Email: info@nsjbio.com
Home >> Antibodies >> Cd154 Antibody / Cd40l / Trap

Cd154 Antibody / Cd40l / Trap (RQ6604)

  Catalog No Formulation Size Price (USD)  
Image RQ6604 0.5mg/ml if reconstituted with 0.2ml sterile DI water 100 ug 449
Bulk quote request
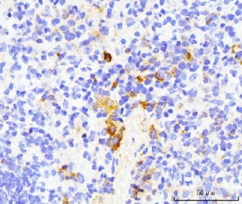
IHC staining of FFPE rat spleen tissue with Cd154 antibody. HIER: boil tissue sections in pH8 EDTA for 20 min and allow to cool before testing.
Western blot testing of 1) rat C6, 2) mouse thymus and 3) mouse RAW264.7 cell lysate with Cd154 antibody. Expected molecular weight: 29-39 kDa (depending on glycosylation level) or ~18 kDa (soluble form).
Availability 1-3 business days
Species Reactivity Mouse, Rat
Format Antigen affinity purified
Host Rabbit
Clonality Polyclonal (rabbit origin)
Isotype Rabbit IgG
Purity Antigen affinity purified
Buffer Lyophilized from 1X PBS with 2% Trehalose
UniProt Q9Z2V2
Localization Cell surface, secreted
Applications Western Blot : 1-2ug/ml
Immunohistochemistry (FFPE) : 2-5ug/ml
Direct ELISA : 0.1-0.5ug/ml
Limitations This Cd154 antibody is available for research use only.
Review this product on BioCompare and get a $20 Amazon gift card

Related Products

Description

CD40 ligand (CD40L) is a type II membrane protein of 261 amino acids on activated T cells that induces B cell proliferation and immunoglobulin secretion. It has homology with tumor necrosis factor-alpha and -beta, and has important functions in B-cell activation and differentiation. Human CD40L with 5 exons, is mapped to the proximal region of the mouse X chromosome on Xq26.3-27.1, and can be detected on T cells but is absent from B cells and monocytes. Since CD40L is expressed on platelets and released from them on activation, its predictive value as a marker for clinical outcome and the therapeutic effect of inhibition of glycoprotein IIb /IIIa receptor in patients with acute coronary syndromes was investigated. The soluble CD40L may be involved in the process of restenosis and that it exerts its effect by triggering a complex group of inflammatory reactions on endothelial and mononuclear cells. CD40L plays a central role in the pathophysiology of acute coronary syndromes, and has a role in the pathogenesis of coronary artery lesions.

Application Notes

Optimal dilution of the Cd154 antibody should be determined by the researcher.

Immunogen

Recombinant rat protein (amino acids M112-L260) was used as the immunogen for the Cd154 antibody.

Storage

After reconstitution, the Cd154 antibody can be stored for up to one month at 4oC. For long-term, aliquot and store at -20oC. Avoid repeated freezing and thawing.

Cross
Bulk Quote Request Form
Name*:
Organization*:
Email*:
Phone Number*:
Catalog No.*:
Comments and Specifics(amount, formulation, etc.)*:
Validation code: Captchapackage Image


Can't read the image? click here to refresh.
    *required field

Your bulk quote request has been submitted successfully!

Please contact us if you have any questions.