• Tel: 858.663.9055
  • SeparatorEmail: info@nsjbio.com
  • Tel: 858.663.9055
  • Email: info@nsjbio.com
Home >> Antibodies >> CD152 Antibody / CTLA4

CD152 Antibody / CTLA4 [clone CTLA4/6868R] (V4925)

  Catalog No Formulation Size Price (USD)  
Image V4925-100UG 0.2 mg/ml in 1X PBS with 0.1 mg/ml BSA (US sourced), 0.05% sodium azide 100 ug 559
Image
V4925-20UG 0.2 mg/ml in 1X PBS with 0.1 mg/ml BSA (US sourced), 0.05% sodium azide 20 ug 259
Image
V4925SAF-100UG 1 mg/ml in 1X PBS; BSA free, sodium azide free 100 ug 559
Microvalidated Recrabbitmono
Bulk quote request
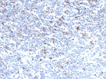
IHC staining of FFPE human tonsil tissue with CD152 antibody (clone CTLA4/6868R). HIER: boil tissue sections in pH 9 10mM Tris with 1mM EDTA for 20 min and allow to cool before testing.
IHC staining of FFPE human tonsil tissue with CD152 antibody (clone CTLA4/6868R). Inset: PBS used in place of primary Ab (secondary Ab negative control). HIER: boil tissue sections in pH 9 10mM Tris with 1mM EDTA for 20 min and allow to cool before testing.
SDS-PAGE analysis of purified, BSA-free CD152 antibody (clone CTLA4/6868R) as confirmation of integrity and purity.
Availability 1-3 business days
Species Reactivity Human
Format Purified
Host Rabbit
Clonality Recombinant Rabbit Monoclonal
Isotype Rabbit IgG, kappa
Clone Name CTLA4/6868R
Purity Protein A/G affinity
UniProt P16410
Localization Cell surface, Secreted
Applications Immunohistochemistry (FFPE) : 1-2ug/ml for 30 min at RT
Limitations This CD152 antibody is available for research use only.
Review this product on BioCompare and get a $20 Amazon gift card

Related Products

Description

Cytotoxic T lymphocyte-associated antigen-4 (CTLA-4) is a member of the CD28 superfamily and is a negative regulator of T cell-mediated immune responses. CTLA-4 expression is induced on the surface of T cells after CD28 binding and activation, and is constitutively expressed on T-regulatory cells, acting as an immune checkpoint inhibitor, downregulating T cell activity. CTLA-4 primarily inactivates T-cell activity by competing with the CD28 costimulatory molecule. CD28 and CTLA-4 share the identical ligands of CD80 and CD86 on antigenpresenting cells; and thus CTLA-4 competes with CD28 function in T-cell survival, proliferation, and recruitment. In particular, CTLA-4 down-modulates CD4+ helper T-cell activity and enhances Treg immunosuppressive functions. CTLA-4 has been shown to play a role in human diseases. CTLA-4 acts as a physiological brake on the activated immune system in order to maintain immune homeostasis. Several suppressive mechanisms for T-cell functions have been attributed to CTLA-4.

Application Notes

Optimal dilution of the CD152 antibody should be determined by the researcher.

Immunogen

A recombinant fragment of human CTLA4 was used as the immunogen for the CD152 antibody.

Storage

Aliquot the CD152 antibody and store frozen at -20oC or colder. Avoid repeated freeze-thaw cycles.

Cross
Bulk Quote Request Form
Name*:
Organization*:
Email*:
Phone Number*:
Catalog No.*:
Comments and Specifics(amount, formulation, etc.)*:
Validation code: Captchapackage Image


Can't read the image? click here to refresh.
    *required field

Your bulk quote request has been submitted successfully!

Please contact us if you have any questions.