• Tel: 858.663.9055
  • SeparatorEmail: info@nsjbio.com
  • Tel: 858.663.9055
  • Email: info@nsjbio.com
Home >> Antibodies >> CD141 Antibody / BDCA3 Dendritic Cell Marker

CD141 Antibody / BDCA3 Dendritic Cell Marker [clone COO-20] (RQ5173)

  Catalog No Formulation Size Price (USD)  
Image RQ5173 Antibody in PBS with 0.02% sodium azide, 50% glycerol and 0.4-0.5mg/ml BSA 100 ul 449
Microvalidated Rab Mono Image
Bulk quote request
CD141 Antibody / BDCA3 Dendritic Cell Marker immunoblotting. Western blot analysis of Thrombomodulin / CD141 (THBD) expression using CD141 Antibody in human placenta lysate. Lane 1: human placenta lysate. A band is detected at approximately 100 kDa, consistent with the predicted molecular weight of Thrombomodulin / CD141 and the known glycosylated form of this membrane receptor. The predicted molecular weight of the core protein is approximately 60 kDa, while extensive glycosylation commonly produces a higher apparent molecular weight band between ~90-100 kDa in SDS-PAGE.
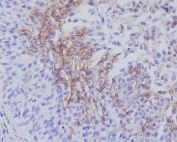
CD141 Antibody / BDCA3 Dendritic Cell Marker. Immunohistochemistry analysis of Thrombomodulin / CD141 (THBD) expression in formalin-fixed, paraffin-embedded human bladder tissue. Using the CD141 Antibody / BDCA3 Dendritic Cell Marker, membranous HRP-DAB brown staining highlights scattered CD141-positive cells with dendritic morphology within the stromal compartment, consistent with BDCA3-positive dendritic cells involved in antigen presentation. Surrounding urothelial cells are largely negative, while occasional vascular endothelial cells also show membranous staining consistent with known thrombomodulin expression. HIER: tissue sections were boiled in pH6, 10mM citrate buffer for 10-20 min followed by cooling prior to staining.
Availability 1-2 weeks
Species Reactivity Human
Format Purified
Host Rabbit
Clonality Rabbit Monoclonal
Isotype Rabbit IgG
Clone Name COO-20
Purity Affinity purified
UniProt P07204
Localization Cell membrane, cytoplasmic
Applications Western Blot : 1:500-1:2000
Immunohistochemistry (FFPE) : 1:50-1:200
Limitations This CD141 antibody is available for research use only.
Review this product on BioCompare and get a $20 Amazon gift card

Related Products

Description

CD141, also known as Blood Dendritic Cell Antigen 3 (BDCA3) and Thrombomodulin (THBD), is a type I transmembrane glycoprotein encoded by the THBD gene located on chromosome 20p11.2. This receptor is widely recognized in immunology as a defining surface marker of a specialized dendritic cell population involved in antigen processing and cross-presentation. CD141 Antibody / BDCA3 Dendritic Cell Marker is therefore widely used in immunological research to detect BDCA3-positive dendritic cells and to study mechanisms of antigen presentation within the innate and adaptive immune system.

Within the immune system, CD141 identifies a rare subset of dendritic cells often referred to as CD141-positive or BDCA3-positive dendritic cells. These cells are particularly important for cross-presenting exogenous antigens to CD8-positive T lymphocytes, a process critical for antiviral immunity and tumor immune surveillance. Because of this specialized role, CD141 has become an important marker used to isolate and characterize dendritic cell populations involved in cytotoxic T cell priming. CD141 Antibody enables researchers to identify these BDCA3 dendritic cells in lymphoid tissues, peripheral blood, and tumor microenvironments where antigen-presenting cells regulate immune activation.

Although CD141 is best known in immunology as a dendritic cell antigen, the encoded protein thrombomodulin also functions as an endothelial surface receptor involved in regulation of coagulation. The extracellular domain binds thrombin and converts it from a procoagulant enzyme into an anticoagulant activator of protein C. This dual biological identity explains why CD141 is recognized both as an endothelial membrane receptor and as a dendritic cell marker depending on the biological context being studied. In immunological applications, however, BDCA3 expression is the feature most commonly exploited to identify specialized antigen-presenting dendritic cell subsets.

The thrombomodulin protein contains multiple structural domains including a lectin-like domain, epidermal growth factor-like repeats, and a serine/threonine-rich region that contributes to post-translational modification and membrane localization. The protein is predominantly localized to the plasma membrane where it participates in cell surface signaling and ligand binding. Expression is enriched in vascular endothelial cells but is also detected on BDCA3 dendritic cells in blood and lymphoid organs, highlighting the protein's diverse biological functions.

Because BDCA3-positive dendritic cells play an important role in tumor immunology and vaccine responses, detection of CD141 expression is frequently used in studies investigating antigen cross-presentation, dendritic cell differentiation, and immune responses to infection and cancer. CD141 Antibody therefore provides a valuable tool for identifying BDCA3 dendritic cells and for examining the distribution of thrombomodulin-expressing cells in immune and vascular tissues.

Application Notes

Optimal dilution of the CD141 Antibody / BDCA3 Dendritic Cell Marker should be determined by the researcher.

Immunogen

A synthetic peptide specific to human Thrombomodulin / CD141 was used as the immunogen for the CD141 antibody.

Storage

Store the CD141 antibody at -20oC.

Alternate Names

BDCA3 antibody, Thrombomodulin antibody, THBD antibody, Blood dendritic cell antigen 3 antibody

Cross
Bulk Quote Request Form
Name*:
Organization*:
Email*:
Phone Number*:
Catalog No.*:
Comments and Specifics(amount, formulation, etc.)*:
Validation code: Captchapackage Image


Can't read the image? click here to refresh.
    *required field

Your bulk quote request has been submitted successfully!

Please contact us if you have any questions.