• Tel: 858.663.9055
  • SeparatorEmail: info@nsjbio.com
  • Tel: 858.663.9055
  • Email: info@nsjbio.com
Home >> Antibodies >> T cell costimulatory receptor Antibody / CD137 / 4-1BB / TNFRSF9

T cell costimulatory receptor Antibody / CD137 / 4-1BB / TNFRSF9 [clone CDLA137-1] (V7531)

  Catalog No Formulation Size Price (USD)  
Image V7531-100UG 0.2 mg/ml in 1X PBS with 0.1 mg/ml BSA (US sourced) and 0.05% sodium azide 100 ug 559
Image
V7531-20UG 0.2 mg/ml in 1X PBS with 0.1 mg/ml BSA (US sourced) and 0.05% sodium azide 20 ug 259
Image
V7531SAF-100UG 1 mg/ml in 1X PBS; BSA free, sodium azide free 100 ug 559
Image
V7531IHC-7ML Prediluted in 1X PBS with 0.1 mg/ml BSA (US sourced) and 0.05% sodium azide; *For IHC use only* 7 ml 559
Bulk quote request
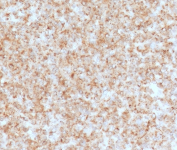
IHC staining of FFPE human spleen with CD137 antibody (clone CDLA137-1). HIER: boil tissue sections in pH9 10mM Tris with 1mM EDTA for 10-20 min and allow to cool before testing.
Immunofluorescence staining of MeOH-fixed human HEK293 cells with CD137 antibody (green, clone CDLA137-1) and Reddot nuclear stain (red).
Availability 1-3 business days
Species Reactivity Human
Format Purified
Host Mouse
Clonality Monoclonal (mouse origin)
Isotype Mouse IgG1, kappa
Clone Name CDLA137-1
Purity Protein G affinity chromatography
UniProt Q07011
Localization Cell surface, cytoplasmic
Applications Immunofluorescence : 1-2ug/ml
Immunohistochemistry (FFPE) : 1-2ug/ml for 30 minutes at RT
Prediluted IHC Only Format : incubate for 30 min at RT (1)
Limitations This CD137 antibody is available for research use only.
Review this product on BioCompare and get a $20 Amazon gift card

Related Products

Description

CD137 belT cell costimulatory receptor antibody targets CD137, a key immune costimulatory receptor also widely known as 4-1BB and encoded by the TNFRSF9 gene. CD137 is a type I transmembrane protein belonging to the tumor necrosis factor receptor superfamily and is predominantly localized to the cell surface. Expression of this T cell costimulatory receptor is tightly regulated and is low or absent on resting immune cells but is rapidly induced following antigen-dependent activation, making it a well-established marker of immune cell activation.

CD137 plays a central role in amplifying T cell responses by providing costimulatory signals that enhance cell survival, proliferation, and cytokine production. Engagement of this receptor supports sustained activation of CD8+ T cells and contributes to the development of long-lived memory T cell populations. In addition to T lymphocytes, CD137 expression has been reported on activated CD4+ T cells, natural killer cells, dendritic cells, and select myeloid populations, reflecting its broader role in immune regulation.

As an immune costimulatory receptor, CD137 is frequently studied in the context of immune activation, chronic inflammation, and immune-mediated disease. Elevated CD137 expression has been observed in activated lymphoid tissues and within tumor-infiltrating immune cell populations, where it reflects ongoing immune stimulation within the tissue microenvironment. Antibody-based detection of this T cell costimulatory receptor is therefore widely applied in immunology and immuno-oncology research to characterize activation states and immune signaling dynamics.

CD137, also referred to as 4-1BB or TNFRSF9, participates in intracellular signaling pathways that reinforce immune effector function during sustained antigen exposure. Because expression of this receptor reflects functional immune activation rather than lineage identity, antibody-based detection provides insight into immune responsiveness across diverse experimental models. Clone CDLA137-1 is designed to recognize CD137 and supports research applications focused on T cell activation, immune costimulation, and cytokine-driven immune responses. NSJ Bioreagents offers this T cell costimulatory receptor antibody for research use.

Application Notes

Optimal dilution of the CD137 antibody should be determined by the researcher.
1. The prediluted format is supplied in a dropper bottle and is optimized for use in IHC. After epitope retrieval step (if required), drip mAb solution onto the tissue section and incubate at RT for 30 min.

Immunogen

A recombinant human CD137 protein fragment within amino acids 19-188 was used as the immunogen for the CD137 antibody.

Storage

Store the CD137 antibody at 2-8oC (with azide) or aliquot and store at -20oC or colder (without azide).

Cross
Bulk Quote Request Form
Name*:
Organization*:
Email*:
Phone Number*:
Catalog No.*:
Comments and Specifics(amount, formulation, etc.)*:
Validation code: Captchapackage Image


Can't read the image? click here to refresh.
    *required field

Your bulk quote request has been submitted successfully!

Please contact us if you have any questions.