• Tel: 858.663.9055
  • SeparatorEmail: info@nsjbio.com
  • Tel: 858.663.9055
  • Email: info@nsjbio.com
Home >> Antibodies >> CD135 Antibody / Hematopoietic Progenitor Marker

CD135 Antibody / Hematopoietic Progenitor Marker (RQ7227)

  Catalog No Formulation Size Price (USD)  
Image RQ7227 0.5mg/ml if reconstituted with 0.2ml sterile DI water 100 ug 449
Bulk quote request
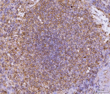
CD135 Antibody Spleen IHC. Immunohistochemistry analysis of FFPE human spleen tissue stained with CD135 antibody. Distinct membranous and cytoplasmic HRP-DAB brown staining is observed within lymphoid cell populations, consistent with the expected expression profile of Fms-like tyrosine kinase 3 / FLT3/CD135, a class III receptor tyrosine kinase involved in hematopoietic progenitor regulation, cytokine-responsive signaling, and immune-associated cellular development pathways. Tissue sections underwent HIER using pH 8 EDTA buffer prior to immunostaining.
CD135 Antibody HCCP WB. Western blot analysis of human HCCP cell lysate using CD135 antibody. Major bands are detected between approximately 113-180 kDa, consistent with the expected molecular weight range of glycosylated Fms-like tyrosine kinase 3 / FLT3/CD135 receptor species. The observed higher molecular weight pattern is compatible with extensive glycosylation commonly associated with transmembrane receptor tyrosine kinases involved in hematopoietic signaling and cytokine-responsive cellular regulation pathways.
Availability 1-3 business days
Species Reactivity Human, Rat
Format Antigen affinity purified
Host Rabbit
Clonality Polyclonal (rabbit origin)
Isotype Rabbit IgG
Purity Antigen affinity purified
Buffer Lyophilized from 1X PBS with 2% Trehalose
UniProt P36888
Localization Cell membrane, cytoplasm
Applications Western Blot : 0.5-1ug/ml
Immunohistochemistry (FFPE) : 2-5ug/ml
Direct ELISA : 0.1-0.5ug/ml
Limitations This CD135 Antibody / Hematopoietic Progenitor Marker is available for research use only.
Review this product on BioCompare and get a $20 Amazon gift card

Related Products

Description

Fms-like tyrosine kinase 3 (FLT3), also known as CD135, is a class III receptor tyrosine kinase involved in hematopoietic progenitor regulation, immune-associated signaling pathways, and cytokine-responsive cellular development mechanisms. CD135 Antibody / Hematopoietic Progenitor Marker is suitable for investigations involving hematopoietic differentiation, lymphoid tissue biology, progenitor cell-associated signaling, and immune regulatory pathways. FLT3 signaling contributes to maintenance of progenitor cell populations and regulation of developmental signaling environments associated with hematopoietic tissue organization.

CD135 antibody, also referred to as FLT3 antibody, Fms-like tyrosine kinase 3 antibody, FLK2 antibody, and Hematopoietic progenitor receptor antibody in the literature, recognizes a transmembrane receptor associated with cytokine-responsive hematopoietic regulation. FLT3 is widely studied in immune-associated signaling pathways and progenitor cell biology because activation of FLT3-associated signaling cascades contributes to cellular proliferation, survival, and lineage-associated differentiation programs. Through downstream PI3K-AKT, MAPK, and STAT-associated signaling pathways, FLT3 participates in regulation of hematopoietic developmental responses.

FLT3 signaling additionally plays an important role in leukemia-associated biology and hematologic malignancy research environments. However, CD135 is particularly recognized as a hematopoietic progenitor-associated surface receptor involved in developmental and immune regulatory pathways. Expression of FLT3/CD135 has been associated with progenitor cell populations and selected immune-associated cellular environments within hematopoietic tissues.

Receptor tyrosine kinases such as FLT3 influence multiple interconnected signaling systems controlling proliferation, differentiation, cytokine responsiveness, and developmental cellular regulation. Because FLT3 signaling contributes to broader hematopoietic and immune-associated regulatory pathways, CD135 remains relevant for investigations involving progenitor cell biology, immune signaling regulation, and hematopoietic tissue-associated developmental mechanisms.

Immunohistochemistry analysis supports detection of endogenous CD135 expression in spleen tissue, consistent with the expected distribution profile of this hematopoietic progenitor-associated receptor tyrosine kinase. Western blot analysis additionally supports detection of FLT3-associated protein expression in cultured human cells. The combined validation profile supports use of this rabbit polyclonal antibody for investigations involving hematopoietic progenitor signaling, immune-associated receptor tyrosine kinase biology, and cytokine-responsive cellular regulation pathways.

An antibody targeting CD135 can therefore support studies involving hematopoietic progenitor-associated signaling, immune regulatory pathways, cytokine-responsive cellular development, receptor tyrosine kinase biology, and hematologic signaling-associated cellular regulation.

For broader receptor tyrosine kinase and leukemia-associated signaling research applications, explore our FLT3 Antibody / Receptor Tyrosine Kinase Marker page.

Application Notes

Optimal dilution of the CD135 Antibody / Hematopoietic Progenitor Marker should be determined by the researcher.

Immunogen

Recombinant human protein (amino acids A66-S993) was used as the immunogen for the CD135 antibody.

Storage

After reconstitution, the CD135 antibody can be stored for up to one month at 4oC. For long-term, aliquot and store at -20oC. Avoid repeated freezing and thawing.

Alternate Names

CD135 antibody, FLT3 antibody, Fms-like tyrosine kinase 3 antibody, FLK2 antibody, Hematopoietic progenitor receptor antibody

Cross
Bulk Quote Request Form
Name*:
Organization*:
Email*:
Phone Number*:
Catalog No.*:
Comments and Specifics(amount, formulation, etc.)*:
Validation code: Captchapackage Image


Can't read the image? click here to refresh.
    *required field

Your bulk quote request has been submitted successfully!

Please contact us if you have any questions.