• Tel: 858.663.9055
  • SeparatorEmail: info@nsjbio.com
  • Tel: 858.663.9055
  • Email: info@nsjbio.com
Home >> Antibodies >> CD11b Antibody / MAC-1

CD11b Antibody / MAC-1 [clone ITGAM/3339] (V8014)

  Catalog No Formulation Size Price (USD)  
Image V8014-100UG 0.2 mg/ml in 1X PBS with 0.1 mg/ml BSA (US sourced) and 0.05% sodium azide 100 ug 559
Image
V8014-20UG 0.2 mg/ml in 1X PBS with 0.1 mg/ml BSA (US sourced) and 0.05% sodium azide 20 ug 259
Image
V8014SAF-100UG 1 mg/ml in 1X PBS; BSA free, sodium azide free 100 ug 559
Microvalidated
Bulk quote request
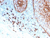
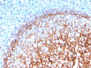
IHC staining of FFPE human tonsil with CD11b antibody (clone ITGAM/3339). HIER: boil tissue sections in pH 9 10mM Tris with 1mM EDTA for 20 min and allow to cool before testing.
IHC staining of FFPE human tonsil with CD11b antibody (clone ITGAM/3339). HIER: boil tissue sections in pH 9 10mM Tris with 1mM EDTA for 20 min and allow to cool before testing.
Analysis of HuProt(TM) microarray containing more than 19,000 full-length human proteins using CD11b antibody (clone ITGAM/3339). These results demonstrate the foremost specificity of the ITGAM/3339 mAb. Z- and S- score: The Z-score represents the strength of a signal that an antibody (in combination with a fluorescently-tagged anti-IgG secondary Ab) produces when binding to a particular protein on the HuProt(TM) array. Z-scores are described in units of standard deviations (SD's) above the mean value of all signals generated on that array. If the targets on the HuProt(TM) are arranged in descending order of the Z-score, the S-score is the difference (also in units of SD's) between the Z-scores. The S-score therefore represents the relative target specificity of an Ab to its intended target.
SDS-PAGE analysis of purified, BSA-free CD11b antibody (clone ITGAM/3339) as confirmation of integrity and purity.
Availability 1-3 business days
Species Reactivity Human
Format Purified
Host Mouse
Clonality Monoclonal (mouse origin)
Isotype Mouse IgG1, kappa
Clone Name ITGAM/3339
Purity Protein G affinity chromatography
UniProt P11215
Localization Cell membrane, cytoplasm
Applications Immunohistochemistry (FFPE) : 1-2ug/ml
Limitations This CD11b antibody is available for research use only.
Review this product on BioCompare and get a $20 Amazon gift card

Related Products

Description

CD11b is a cell adhesion molecule that acts as a receptor for cell surface ligands such as intracellular adhesion molecules (ICAMs) or soluble ligands. Integrins are heterodimeric proteins that contain an a chain and b chain. Integrin aM combines with the Integrin '2 to form a leukocyte-specific integrin referred to as macrophage receptor 1 (Mac-1), or inactivated-C3b (iC3b) receptor 3 (CR3). Integrin aM/'2 is important in the adherence of neutrophils and monocytes to stimulated endothelium, and also in the phagocytosis of complement coated particles. The protein CD11b has been implicated in the various adhesion-related interactions of cells such as monocytes, macrophages, natural killer (NK) cells, and granulocytes. It is part of a heterodimer that consists of CD11b andCD18. It also modulates the uptake of complement-coated particles within the cell. It is commonly used as a microglial marker in tissues derived from the nervous system.

Application Notes

Optimal dilution of the CD11b antibody should be determined by the researcher.

Immunogen

A recombinant human partial protein (amino acids 941-1074) was used as the immunogen for this CD11b antibody.

Storage

Store the CD11b antibody at 2-8oC (with azide) or aliquot and store at -20oC or colder (without azide).

Cross
Bulk Quote Request Form
Name*:
Organization*:
Email*:
Phone Number*:
Catalog No.*:
Comments and Specifics(amount, formulation, etc.)*:
Validation code: Captchapackage Image


Can't read the image? click here to refresh.
    *required field

Your bulk quote request has been submitted successfully!

Please contact us if you have any questions.