• Tel: 858.663.9055
  • SeparatorEmail: info@nsjbio.com
  • Tel: 858.663.9055
  • Email: info@nsjbio.com
Home >> Antibodies >> CD117 Antibody

CD117 Antibody [clone C117/370] (V2167)

  Catalog No Formulation Size Price (USD)  
Image V2167-100UG 0.2 mg/ml in 1X PBS with 0.1 mg/ml BSA (US sourced) and 0.05% sodium azide 100 ug 559
Image
V2167-20UG 0.2 mg/ml in 1X PBS with 0.1 mg/ml BSA (US sourced) and 0.05% sodium azide 20 ug 259
Image
V2167SAF-100UG 1 mg/ml in 1X PBS; BSA free, sodium azide free 100 ug 559
Bulk quote request
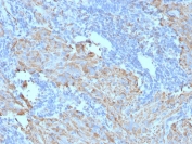
Formalin-paraffin human gastrointestinal stromal tumor (GIST) stained with CD117 antibody (clone C117/370).
SDS-PAGE analysis of purified, BSA-free CD117 antibody (clone C117/370) as confirmation of integrity and purity.
Formalin-paraffin human gastrointestinal stromal tumor (GIST) stained with CD117 antibody (clone C117/370).
Formalin-paraffin human gastrointestinal stromal tumor (GIST) stained with CD117 antibody (clone C117/370).
Species Reactivity Human
Format Purified
Host Mouse
Clonality Monoclonal (mouse origin)
Isotype Mouse IgG1, kappa
Clone Name C117/370
Purity Protein G affinity chromatography
Buffer 1X PBS, pH 7.4
Gene ID 3815
Localization Cell surface and cytoplasmic
Applications Immunohistochemistry (FFPE) : 1-2ug/ml for 30 min at RT
Limitations This CD117 antibody is available for research use only.
Review this product on BioCompare and get a $20 Amazon gift card

Related Products

Description

This antibody recognizes a protein of 145kDa, identified as CD117, or p145kit. It is found on a wide variety of tumor cells including follicular and papillary carcinoma of thyroid, adenocarcinomas from endometrium, lung, ovary, pancreas, and breast as well as malignant melanoma, endodermal sinus tumor, and small cell carcinoma. However, CD117 antibody has been particularly useful in differentiating gastrointestinal stromal tumors from Kaposi�s sarcoma, tumors of smooth muscle origin, fibromatosis, and neural tumors of the GI tract. CD117 antibody is also useful in recognizing myeloblasts in bone marrow biopsy and clot section.

Application Notes

The concentration stated for each application is a general starting point. Variations in protocols, secondaries and substrates may require the CD117 antibody to be titered up or down for optimal performance.

1. Staining of formalin-fixed tissues requires boiling tissue sections in pH 9 10mM Tris with 1mM EDTA for 10-20 min followed by cooling at RT for 20 minutes.

Immunogen

Recombinant human protein was used as the immunogen for this CD117 antibody.

Storage

Store the CD117 antibody at 2-8oC (with azide) or aliquot and store at -20oC or colder (without azide).

Alternate Names

p145; Steel Factor Receptor; Stem Cell Factor Receptor (SCF-Receptor); Mast Cell Growth Factor Receptor, CD117 antibody

Cross
Bulk Quote Request Form
Name*:
Organization*:
Email*:
Phone Number*:
Catalog No.*:
Comments and Specifics(amount, formulation, etc.)*:
Validation code: Captchapackage Image


Can't read the image? click here to refresh.
    *required field

Your bulk quote request has been submitted successfully!

Please contact us if you have any questions.