• Tel: 858.663.9055
  • SeparatorEmail: info@nsjbio.com
  • Tel: 858.663.9055
  • Email: info@nsjbio.com
Home >> Antibodies >> CD105 Antibody / Endoglin

CD105 Antibody / Endoglin (RQ7690)

  Catalog No Formulation Size Price (USD)  
Image RQ7690 0.5mg/ml if reconstituted with 0.2ml sterile DI water 100 ug 449
Bulk quote request
Immunofluorescence analysis of CD105 in human ovarian cancer tissue. Formalin-fixed, paraffin-embedded human ovarian cancer tissue was stained using CD105 antibody (red), with nuclei counterstained using DAPI (blue). Immunoreactivity highlights endothelial cell-associated membranous staining within tumor vasculature, consistent with CD105 expression in angiogenic blood vessels. Heat-induced epitope retrieval was performed by steaming tissue sections in EDTA buffer, pH 8.0, for 20 minutes prior to immunostaining.
IHC staining of FFPE human endometrial adenocarcinoma tissue with CD105 antibody. HIER: boil tissue sections in pH8 EDTA for 20 min and allow to cool before testing.
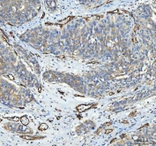
IHC staining of FFPE human liver cancer tissue with CD105 antibody. HIER: boil tissue sections in pH8 EDTA for 20 min and allow to cool before testing.
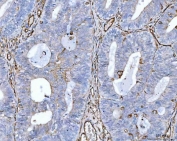
IHC staining of FFPE human lung cancer tissue with CD105 antibody. HIER: boil tissue sections in pH8 EDTA for 20 min and allow to cool before testing.
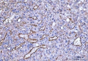
IHC staining of FFPE human bladder urothelial carcinoma tissue with CD105 antibody. HIER: boil tissue sections in pH8 EDTA for 20 min and allow to cool before testing.
Western blot testing of human 1) SiHa and 2) HeLa cell lysate with CD105 antibody. Observed molecular weight: 70/90 kDa (monomer, unmodified/glycosylated); 140-180 kDa (dimer, unmodified/glycosylated).
Flow cytometry testing of human U-87 MG cells with CD105 antibody at 1ug/million cells (blocked with goat sera); Red=cells alone, Green=isotype control, Blue= CD105 antibody.
Availability 1-3 business days
Species Reactivity Human
Format Antigen affinity purified
Host Rabbit
Clonality Polyclonal (rabbit origin)
Isotype Rabbit IgG
Purity Antigen affinity purified
Buffer Lyophilized from 1X PBS with 2% Trehalose
UniProt P17813
Localization Cell surface
Applications Western Blot : 0.5-1ug/ml
Immunohistochemistry (FFPE) : 2-5ug/ml
Immunofluorescence : 5ug/ml
Flow Cytometry : 1-3ug/million cells
Direct ELISA : 0.1-0.5ug/ml
Limitations This CD105 antibody is available for research use only.
Review this product on BioCompare and get a $20 Amazon gift card

Related Products

Description

CD105 antibody targets Endoglin, a cell surface glycoprotein that functions as a key modulator of endothelial signaling and vascular remodeling. CD105 is most widely recognized as a marker of activated and proliferating endothelial cells and is strongly associated with angiogenic blood vessels. Its expression pattern makes CD105 antibody detection particularly valuable for studying vascular activation in development, inflammation, and tumor-associated angiogenesis.

CD105 is localized to the plasma membrane, where it acts as an accessory receptor within transforming growth factor beta signaling complexes. Rather than functioning as a classical ligand-binding receptor, Endoglin modulates signaling balance by influencing downstream pathway selection in endothelial cells. This regulatory role allows CD105 to shape endothelial responses to environmental cues such as hypoxia, shear stress, and growth factor stimulation.

From a biological perspective, CD105 plays an important role in endothelial cell proliferation, migration, and vascular patterning. Elevated CD105 expression is characteristic of newly formed or remodeling vessels, distinguishing active angiogenesis from mature, quiescent vasculature. CD105 antibody reagents therefore support investigations into vessel sprouting, neovascularization, and endothelial cell dynamics in complex tissue environments.

In disease contexts, CD105 expression is frequently increased in tumor vasculature and is used as a marker of microvessel density in cancer research. Its selective enrichment in angiogenic endothelium has linked CD105 to tumor progression, metastasis, and response to anti-angiogenic therapies. Altered CD105 expression has also been associated with vascular malformations and chronic inflammatory conditions, underscoring its relevance beyond oncology.

CD105 antibody reagents are suitable for detecting Endoglin expression in endothelial cells and vascular structures in research applications. These antibodies support studies focused on angiogenesis, vascular remodeling, endothelial activation, and disease-associated changes in blood vessel biology.

Application Notes

Optimal dilution of the CD105 antibody should be determined by the researcher.

Immunogen

E. coli-derived recombinant human protein (amino acids E26-H267) was used as the immunogen for the CD105 antibody.

Storage

After reconstitution, the CD105 antibody can be stored for up to one month at 4oC. For long-term, aliquot and store at -20oC. Avoid repeated freezing and thawing.

Cross
Bulk Quote Request Form
Name*:
Organization*:
Email*:
Phone Number*:
Catalog No.*:
Comments and Specifics(amount, formulation, etc.)*:
Validation code: Captchapackage Image


Can't read the image? click here to refresh.
    *required field

Your bulk quote request has been submitted successfully!

Please contact us if you have any questions.