• Tel: 858.663.9055
  • SeparatorEmail: info@nsjbio.com
  • Tel: 858.663.9055
  • Email: info@nsjbio.com
Home >> Antibodies >> CCT3 Antibody / TCP1 gamma

CCT3 Antibody / TCP1 gamma (R32392)

  Catalog No Formulation Size Price (USD)  
Image R32392 0.5mg/ml if reconstituted with 0.2ml sterile DI water 100 ug 449
Bulk quote request
Western blot testing of 1) rat kidney and 2) human HeLa lysate with CCT3 antibody. Expected molecular weight ~61 kDa.
Flow cytometry testing of human U-251 MG cells with CCT3 antibody at 1ug/10^6 cells (blocked with goat sera); Red=cells alone, Green=isotype control, Blue= CCT3 antibody.
Flow cytometry testing of human K562 cells with CCT3 antibody at 1ug/10^6 cells (blocked with goat sera); Red=cells alone, Green=isotype control, Blue= CCT3 antibody.
Flow cytometry testing of human PC-3 cells with CCT3 antibody at 1ug/10^6 cells (blocked with goat sera); Red=cells alone, Green=isotype control, Blue= CCT3 antibody.
IF/ICC staining of FFPE human A431 cells with CCT3 antibody (green) at 2ug/ml. HIER: steam section in pH6 citrate buffer for 20 min.
IF/ICC staining of FFPE human A431 cells with CCT3 antibody (green) at 2ug/ml. HIER: steam section in pH6 citrate buffer for 20 min.
IHC staining of FFPE human lung cancer with CCT3 antibody at 1ug/ml. HIER: boil tissue sections in pH6, 10mM citrate buffer, for 10-20 min and allow to cool before testing.
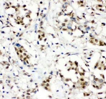
IHC staining of FFPE human breast cancer with CCT3 antibody. HIER: boil tissue sections in pH6, 10mM citrate buffer, for 10-20 min and allow to cool before testing.
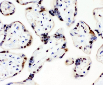
IHC staining of FFPE human placenta with CCT3 antibody. HIER: boil tissue sections in pH6, 10mM citrate buffer, for 10-20 min and allow to cool before testing.
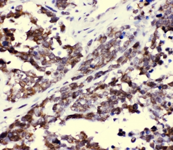
IHC staining of FFPE human intestinal cancer with CCT3 antibody. HIER: boil tissue sections in pH6, 10mM citrate buffer, for 10-20 min and allow to cool before testing.
Western blot testing of 1) human 293T, 2) human A549, 3) human HeLa, 4) human MCF7, 5) rat brain, 6) rat lung, 7) mouse brain and 8) mouse lung tissue lysate with CCT3 antibody. Expected molecular weight ~61 kDa.
Availability 1-3 business days
Species Reactivity Human, Rat
Format Antigen affinity purified
Host Rabbit
Clonality Polyclonal (rabbit origin)
Isotype Rabbit IgG
Purity Antigen affinity
Buffer Lyophilized from 1X PBS with 2.5% BSA and 0.025% sodium azide
UniProt P49368
Localization Cytoplasmic
Applications Western Blot : 0.1-0.5ug/ml
Flow Cytometry : 1-3ug/10^6 cells
IHC (FFPE) : 1-2ug/ml
IF/ICC (FFPE) : 2-4ug/ml
Limitations This CCT3 antibody is available for research use only.
Review this product on BioCompare and get a $20 Amazon gift card

Related Products

Description

T-complex protein 1 subunit gamma is a protein that in humans is encoded by the CCT3 gene. The protein encoded by this gene is a molecular chaperone that is a member of the chaperonin containing TCP1 complex (CCT), also known as the TCP1 ring complex (TRiC). This complex consists of two identical stacked rings, each containing eight different proteins. Unfolded polypeptides enter the central cavity of the complex and are folded in an ATP-dependent manner. The complex folds various proteins, including actin and tubulin. Alternate transcriptional splice variants have been characterized for this gene. In addition, a pseudogene of this gene has been found on chromosome 8.

Application Notes

Optimal dilution of the CCT3 antibody should be determined by the researcher.

Immunogen

Amino acids EPLAVKLQTYKTAVETAVLLLRIDDIVSGHKKKGDDQSRQ were used as the immunogen for the CCT3 antibody.

Storage

After reconstitution, the CCT3 antibody can be stored for up to one month at 4oC. For long-term, aliquot and store at -20oC. Avoid repeated freezing and thawing.

Cross
Bulk Quote Request Form
Name*:
Organization*:
Email*:
Phone Number*:
Catalog No.*:
Comments and Specifics(amount, formulation, etc.)*:
Validation code: Captchapackage Image


Can't read the image? click here to refresh.
    *required field

Your bulk quote request has been submitted successfully!

Please contact us if you have any questions.