• Tel: 858.663.9055
  • SeparatorEmail: info@nsjbio.com
  • Tel: 858.663.9055
  • Email: info@nsjbio.com
Home >> Antibodies >> CCT3 Antibody

CCT3 Antibody (R34092)

  Catalog No Formulation Size Price (USD)  
Image R34092-100UG 0.5 mg/ml in 1X TBS, pH7.3, with 0.5% BSA (US sourced) and 0.02% sodium azide 100 ug 475
Bulk quote request
Western blot testing of mouse testis lysate with CCT3 antibody at 0.01ug/ml. Predicted molecular weight: ~61 kDa.
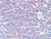
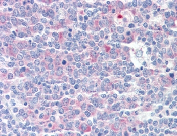
IHC testing of FFPE human tonsil tissue with CCT3 antibody at 5ug/ml. Required HIER: steamed antigen retrieval with pH6 citrate buffer; AP-staining.
Availability 1-3 business days
Species Reactivity Human, Mouse
Predicted Reactivity Cow, Dog, Pig, Rat
Format Antigen affinity purified
Host Goat
Clonality Polyclonal (goat origin)
Isotype Goat Ig
Purity Antigen affinity
Gene ID 7203
Localization Cytoplasmic
Applications Western Blot : 0.01-0.03ug/ml
IHC (FFPE) : 5ug/ml
ELISA (peptide) LOD : 1:32000
Limitations This CCT3 antibody is available for research use only.
Review this product on BioCompare and get a $20 Amazon gift card

Related Products

Description

Additional name(s) for this target protein: Chaperonin containing TCP1, subunit 3

Application Notes

Optimal dilution of the CCT3 antibody should be determined by the researcher.

Immunogen

Amino acids GHKKKGDDQSRQGG were used as the immunogen for this CCT3 antibody.

Storage

Aliquot and store the CCT3 antibody at -20oC.

Cross
Bulk Quote Request Form
Name*:
Organization*:
Email*:
Phone Number*:
Catalog No.*:
Comments and Specifics(amount, formulation, etc.)*:
Validation code: Captchapackage Image


Can't read the image? click here to refresh.
    *required field

Your bulk quote request has been submitted successfully!

Please contact us if you have any questions.