• Tel: 858.663.9055
  • SeparatorEmail: info@nsjbio.com
  • Tel: 858.663.9055
  • Email: info@nsjbio.com
Home >> Antibodies >> CCNE1 Antibody Recombinant Mouse mAb / Cyclin E1

CCNE1 Antibody Recombinant Mouse mAb / Cyclin E1 [clone r13A3] (V6029)

  Catalog No Formulation Size Price (USD)  
Image V6029-100UG 0.2 mg/ml in 1X PBS with 0.05% BSA, 0.05% sodium azide 100 ug 559
Image
V6029-20UG 0.2 mg/ml in 1X PBS with 0.05% BSA, 0.05% sodium azide 20 ug 259
Image
V6029SAF-100UG 1 mg/ml in 1X PBS; BSA free, sodium azide free 100 ug 559
Microvalidated Recmousemono
Bulk quote request
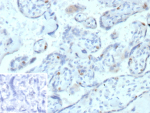
Immunohistochemistry analysis of CCNE1 / Cyclin E1 antibody (clone r13A3) in human placental tissue. Formalin-fixed, paraffin-embedded placenta demonstrates nuclear HRP-DAB brown staining in scattered trophoblastic cells, consistent with the known nuclear localization of Cyclin E1 in proliferating cells. Most stromal and non-proliferative cells remain negative, while hematoxylin counterstain highlights overall villous architecture and nuclei. The inset shows PBS used in place of primary antibody as a negative control, confirming absence of non-specific secondary antibody binding. Heat-induced epitope retrieval was performed by heating tissue sections in 10 mM Tris with 1 mM EDTA, pH 9.0, for 45 minutes at 95oC followed by cooling at room temperature for 20 minutes prior to staining.
SDS-PAGE Analysis of Purified CCNE1/Cyclin E1 antibody (r13A3). Confirmation of Purity and Integrity of Antibody.
Species Reactivity Human
Format Purified
Host Mouse
Clonality Recombinant Mouse Monoclonal
Isotype Mouse IgG2a, kappa
Clone Name r13A3
UniProt P24864
Localization Nucleus
Applications Immunohistochemistry (FFPE) : 1-2ug/ml
Western Blot : 2-4ug/ml
Limitations This CCNE1/Cyclin E1 antibody is available for research use only.
Review this product on BioCompare and get a $20 Amazon gift card

Related Products

Description

CCNE1 antibody recognizes Cyclin E1, a nuclear cell cycle regulator encoded by the CCNE1 gene and commonly referred to as Cyclin E1 or G1-S specific cyclin E1. This protein plays a critical role in controlling progression from G1 phase into S phase by forming an active complex with cyclin-dependent kinase 2. CCNE1 antibody is widely used in research focused on cell proliferation, DNA replication initiation, and tumor-associated cell cycle dysregulation.

Cyclin E1 accumulates during late G1 phase and peaks at the G1-S transition, where it promotes phosphorylation of substrates necessary for DNA synthesis and replication origin firing. The protein contains conserved cyclin box domains that mediate interaction with CDK2 and regulate kinase activation. CCNE1 is predominantly localized to the nucleus, consistent with its function in regulating cell cycle progression and genomic stability. Tight control of CCNE1 expression through transcriptional regulation and ubiquitin-mediated proteasomal degradation ensures proper timing of S phase entry.

Amplification and overexpression of CCNE1 have been documented in several malignancies, including ovarian, breast, lung, and gastric cancers. Elevated Cyclin E1 expression is often associated with increased proliferative capacity and genomic instability in tumor cells. Immunostaining typically demonstrates strong nuclear localization in actively cycling cells. Clone r13A3 is a recombinant mouse monoclonal antibody generated through defined sequence expression to support consistent performance and reproducibility between lots. This CCNE1 antibody enables investigation of cell cycle control, proliferation status, and oncogenic signaling pathways in research applications.

Application Notes

1. Optimal dilution of the CCNE1/Cyclin E1 antibody should be determined by the researcher.

2. This CCNE1/Cyclin E1 antibody is recombinantly produced by expression in CHO cells.

Immunogen

Prokaryotic recombinant fusion protein corresponding to the full length cyclin E molecule was used as the immunogen for the CCNE1/Cyclin E1 antibody.

Storage

CCNE1/Cyclin E1 antibody with sodium azide - store at 2 to 8oC; antibody without sodium azide - store at -20 to -80oC.

Cross
Bulk Quote Request Form
Name*:
Organization*:
Email*:
Phone Number*:
Catalog No.*:
Comments and Specifics(amount, formulation, etc.)*:
Validation code: Captchapackage Image


Can't read the image? click here to refresh.
    *required field

Your bulk quote request has been submitted successfully!

Please contact us if you have any questions.