• Tel: 858.663.9055
  • SeparatorEmail: info@nsjbio.com
  • Tel: 858.663.9055
  • Email: info@nsjbio.com
Home >> Antibodies >> CCNA2 Antibody / Cyclin A2

CCNA2 Antibody / Cyclin A2 [clone CNA2-1] (V3783)

  Catalog No Formulation Size Price (USD)  
Image V3783-100UG 0.2 mg/ml in 1X PBS with 0.1 mg/ml BSA (US sourced) and 0.05% sodium azide 100 ug 559
Image
V3783-20UG 0.2 mg/ml in 1X PBS with 0.1 mg/ml BSA (US sourced) and 0.05% sodium azide 20 ug 259
Image
V3783SAF-100UG 1 mg/ml in 1X PBS; BSA free, sodium azide free 100 ug 559
Bulk quote request
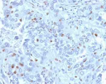
Immunohistochemistry analysis of CCNA2 / Cyclin A2 antibody (clone CNA2-1) in human endometrial carcinoma tissue. Formalin-fixed, paraffin-embedded human endometrial carcinoma tissue was stained using CCNA2 antibody (clone CNA2-1). Heat-induced epitope retrieval was performed by steaming tissue sections in citrate buffer, pH 6.0, for 20 minutes, followed by cooling prior to antibody incubation. Brown chromogenic signal is observed predominantly in the nuclei of scattered tumor epithelial cells, consistent with proliferative cell populations, while surrounding stromal cells show minimal staining. This nuclear staining pattern reflects cell cycle-associated expression of Cyclin A2 in endometrial carcinoma.
Availability 1-3 business days
Species Reactivity Human
Format Purified
Host Mouse
Clonality Monoclonal (mouse origin)
Isotype Mouse IgG2a, kappa
Clone Name CNA2-1
Purity Protein G affinity chromatography
UniProt P20248
Gene ID 890
Localization Nuclear, cytoplasmic
Applications Immunohistochemistry (FFPE) : 1-2ug/ml for 30 min at RT
Limitations This CCNA2 antibody is available for research use only.
Review this product on BioCompare and get a $20 Amazon gift card

Related Products

Description

CCNA2 Antibody recognizes Cyclin A2, also known as CCNA2 and Cyclin A, a core cell cycle regulatory protein that controls progression through S phase and G2 phase. Cyclin A2 is a member of the cyclin family of cell cycle proteins and functions as a regulatory subunit for cyclin-dependent kinases, most notably CDK2 and CDK1. CCNA2 Antibody is frequently described as Cyclin A2 antibody or Cyclin A antibody and is widely used in studies of cellular proliferation, mitotic regulation, and tumor biology.

Cyclin A2 expression is tightly regulated and cell cycle dependent. CCNA2 levels rise during S phase, where Cyclin A2-CDK2 complexes promote DNA replication, and remain elevated through G2 phase as Cyclin A2-CDK1 activity contributes to preparation for mitosis. Because of this defined temporal expression pattern, Cyclin A2 serves as a marker of actively cycling cells and is often evaluated alongside other proliferation markers in research studies. In tissue sections, CCNA2 staining is typically localized to the nuclei of proliferating epithelial or tumor cells, while quiescent or terminally differentiated cells exhibit minimal expression.

Altered Cyclin A2 expression has been documented in a broad range of malignancies. Increased CCNA2 levels are frequently associated with enhanced proliferative activity and aggressive tumor phenotypes in various carcinomas and other neoplasms. Consequently, CCNA2 antibody staining patterns are commonly examined in investigations of cell cycle dysregulation, oncogenic signaling pathways, and tumor growth dynamics. Cyclin A2 is also studied in developmental and regenerative contexts where active cell division is prominent.

At the molecular level, Cyclin A2 functions as a checkpoint regulator that coordinates DNA synthesis and mitotic entry through precise control of cyclin-dependent kinase activity. Its essential role in S phase progression and G2-M transition makes CCNA2 Antibody a valuable tool for assessing proliferative status, studying cell cycle dynamics, and investigating mechanisms of uncontrolled cell division.

Application Notes

Optimal dilution of the recombinant CCNA2 antibody should be determined by the researcher.

Immunogen

Full length protein was used as the immunogen for this CCNA2 antibody.

Storage

Store the CCNA2 antibody at 2-8oC (with azide) or aliquot and store at -20oC or colder (without azide).

Cross
Bulk Quote Request Form
Name*:
Organization*:
Email*:
Phone Number*:
Catalog No.*:
Comments and Specifics(amount, formulation, etc.)*:
Validation code: Captchapackage Image


Can't read the image? click here to refresh.
    *required field

Your bulk quote request has been submitted successfully!

Please contact us if you have any questions.