• Tel: 858.663.9055
  • SeparatorEmail: info@nsjbio.com
  • Tel: 858.663.9055
  • Email: info@nsjbio.com
Home >> Antibodies >> CCDC115 Antibody

CCDC115 Antibody (RQ7155)

  Catalog No Formulation Size Price (USD)  
Image RQ7155 0.5mg/ml if reconstituted with 0.2ml sterile DI water 100 ug 449
Bulk quote request
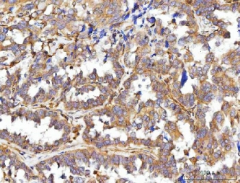
IHC staining of FFPE human ovarian cancer tissue with CCDC115 antibody. HIER: boil tissue sections in pH8 EDTA for 20 min and allow to cool before testing.
IHC staining of FFPE human laryngeal squamous cell carcinoma tissue with CCDC115 antibody. HIER: boil tissue sections in pH8 EDTA for 20 min and allow to cool before testing.
Immunofluorescent staining of FFPE human A431 cells with CCDC115 antibody (green) and DAPI nuclear stain (blue). HIER: steam section in pH6 citrate buffer for 20 min.
Western blot testing of human 1) 293T, 2) MOLT-4, 3) HepG2, 4) PC-3, 5) Daudi and 6) T-47D cell lysate with CCDC115 antibody. Predicted molecular weight ~20 kDa.
Flow cytometry testing of human U937 cells with CCDC115 antibody at 1ug/million cells (blocked with goat sera); Red=cells alone, Green=isotype control, Blue= CCDC115 antibody.
Availability 1-3 business days
Species Reactivity Human
Format Antigen affinity purified
Host Rabbit
Clonality Polyclonal (rabbit origin)
Isotype Rabbit IgG
Purity Antigen affinity purified
Buffer Lyophilized from 1X PBS with 2% Trehalose
UniProt Q96NT0
Localization Cytoplasmic
Applications Western Blot : 0.5-1ug/ml
Immunohistochemistry (FFPE) : 2-5ug/ml
Immunofluorescence : 5ug/ml
Flow Cytometry : 1-3ug/million cells
Direct ELISA : 0.1-0.5ug/ml
Limitations This CCDC115 antibody is available for research use only.
Review this product on BioCompare and get a $20 Amazon gift card

Description

Coiled-coil domain containing 115 is a protein that in humans is encoded by the CCDC115 gene. The protein encoded by this gene has been observed to localize to the endoplasmic reticulum (ER)-Golgi intermediate compartment (ERGIC) and coat protein complex I (COPI) vesicles in some human cells. The encoded protein shares some homology with the yeast V-ATPase assembly factor Vma22p, and the orthologous protein in mouse promotes cell proliferation and suppresses cell death. Defects in this gene are a cause of congenital disorder of glycosylation, type IIo in humans.

Application Notes

Optimal dilution of the CCDC115 antibody should be determined by the researcher.

Immunogen

Recombinant human protein (amino acids M1-A180) was used as the immunogen for the CCDC115 antibody.

Storage

After reconstitution, the CCDC115 antibody can be stored for up to one month at 4oC. For long-term, aliquot and store at -20oC. Avoid repeated freezing and thawing.

Cross
Bulk Quote Request Form
Name*:
Organization*:
Email*:
Phone Number*:
Catalog No.*:
Comments and Specifics(amount, formulation, etc.)*:
Validation code: Captchapackage Image


Can't read the image? click here to refresh.
    *required field

Your bulk quote request has been submitted successfully!

Please contact us if you have any questions.