• Tel: 858.663.9055
  • SeparatorEmail: info@nsjbio.com
  • Tel: 858.663.9055
  • Email: info@nsjbio.com
Home >> Antibodies >> CBX8 Antibody

CBX8 Antibody [clone 8G7] (RQ6366)

  Catalog No Formulation Size Price (USD)  
Image RQ6366 0.5mg/ml if reconstituted with 0.2ml sterile DI water 100 ug 449
Bulk quote request
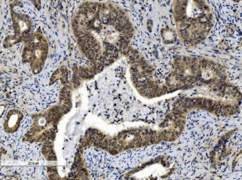
IHC staining of FFPE human gallbladder adenocarcinoma tissue with CBX8 antibody. HIER: boil tissue sections in pH8 EDTA for 20 min and allow to cool before testing.
Western blot testing of human 1) HeLa, 2) A549 and 3) Raji cell lysate with CBX8 antibody. Predicted molecular weight ~43 kDa.
Flow cytometry testing of human HL60 cells with CBX8 antibody at 1ug/million cells (blocked with goat sera); Red=cells alone, Green=isotype control, Blue= CBX8 antibody.
Availability 1-3 business days
Species Reactivity Human
Format Purified
Host Mouse
Clonality Monoclonal (mouse origin)
Isotype Mouse IgG2b
Clone Name 8G7
Purity Antigen affinity purified
Buffer Lyophilized from 1X PBS with 2% Trehalose
UniProt Q9HC52
Localization Nuclear
Applications Western Blot : 0.5-1ug/ml
Immunohistochemistry (FFPE) : 2-5ug/ml
Flow Cytometry : 1-3ug/million cells
Limitations This CBX8 antibody is available for research use only.
Review this product on BioCompare and get a $20 Amazon gift card

Related Products

  • Applications : WB, ELISA (peptide)
    Reactivity : Human
    Pred. Reactivity : Cow, Mouse, Pig, Rat
  • Applications : WB, IHC-P, IF, FACS, Direct ELISA
    Reactivity : Human, Mouse, Rat

Description

Chromobox protein homolog 8 functions as a transcriptional repressor and has a role in DNA damage response.

Application Notes

Optimal dilution of the CBX8 antibody should be determined by the researcher.

Immunogen

Recombinant human protein (amino acids M1-R389) was used as the immunogen for the CBX8 antibody.

Storage

After reconstitution, the CBX8 antibody can be stored for up to one month at 4oC. For long-term, aliquot and store at -20oC. Avoid repeated freezing and thawing.

Cross
Bulk Quote Request Form
Name*:
Organization*:
Email*:
Phone Number*:
Catalog No.*:
Comments and Specifics(amount, formulation, etc.)*:
Validation code: Captchapackage Image


Can't read the image? click here to refresh.
    *required field

Your bulk quote request has been submitted successfully!

Please contact us if you have any questions.