• Tel: 858.663.9055
  • SeparatorEmail: info@nsjbio.com
  • Tel: 858.663.9055
  • Email: info@nsjbio.com
Home >> Antibodies >> CBR1 Antibody / Carbonyl reductase 1

CBR1 Antibody / Carbonyl reductase 1 [clone 30C98] (FY12902)

  Catalog No Formulation Size Price (USD)  
Image FY12902 Rabbit IgG in phosphate buffered saline, pH 7.4, 150mM NaCl, 0.02% sodium azide and 50% glycerol, 0.4-0.5mg/ml BSA 100 ul 449
Microvalidated Recrabbitmono
Bulk quote request
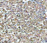
Immunohistochemical staining of CBR1 using anti-CBR1 antibody. CBR1 was detected in a paraffin-embedded section of human liver cancer tissue. Heat mediated antigen retrieval was performed in EDTA buffer (pH 8.0, epitope retrieval solution). The tissue section was blocked with 10% goat serum. The tissue section was then incubated with 1:50 rabbit anti-CBR1 antibody overnight at 4oC. Peroxidase Conjugated Goat Anti-rabbit IgG was used as secondary antibody and incubated for 30 minutes at 37oC. The tissue section was developed using an HRP secondary and DAB substrate.
Western blot analysis of CBR1 using anti-CBR1 antibody. Electrophoresis was performed on a 10% SDS-PAGE gel at 80V (Stacking gel) / 120V (Resolving gel) for 2 hours. Lane 1: human Hela whole cell lysates, Lane 2: human whole cell lysates, Lane 3: human SIHA whole cell lysates, Lane 4: human whole cell lysates, Lane 5: rat PC-12 whole cell lysates. After electrophoresis, proteins were transferred to a nitrocellulose membrane at 150 mA for 50-90 minutes. Blocked the membrane with 5% non-fat milk/TBS for 1.5 hour at RT. The membrane was incubated with rabbit anti-CBR1 antibody at 1:500 overnight at 4oC, then washed with TBS-0.1%Tween 3 times with 5 minutes each and probed with a goat anti-rabbit IgG-HRP secondary antibody at a dilution of 1:5000 for 1.5 hour at RT. The signal was developed using an ECL Plus Western Blotting Substrate. A ~30 kDa band is detected in all samples, with a clear doublet in HeLa, A549, and SiHa lysates. The doublet pattern reflects phosphorylation and minor N-terminal isoform variation of CBR1 previously reported in epithelial cell models.
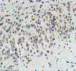
Immunohistochemical staining of CBR1 using anti-CBR1 antibody. CBR1 was detected in a paraffin-embedded section of human liver tissue. Heat mediated antigen retrieval was performed in EDTA buffer (pH 8.0, epitope retrieval solution). The tissue section was blocked with 10% goat serum. The tissue section was then incubated with 1:50 rabbit anti-CBR1 antibody overnight at 4oC. Peroxidase Conjugated Goat Anti-rabbit IgG was used as secondary antibody and incubated for 30 minutes at 37oC. The tissue section was developed using an HRP secondary and DAB substrate.
Immunohistochemical staining of CBR1 using anti-CBR1 antibody. CBR1 was detected in a paraffin-embedded section of mouse brain tissue. Heat mediated antigen retrieval was performed in EDTA buffer (pH 8.0, epitope retrieval solution). The tissue section was blocked with 10% goat serum. The tissue section was then incubated with 1:50 rabbit anti-CBR1 antibody overnight at 4oC. Peroxidase Conjugated Goat Anti-rabbit IgG was used as secondary antibody and incubated for 30 minutes at 37oC. The tissue section was developed using an HRP secondary and DAB substrate.
Immunohistochemical staining of CBR1 using anti-CBR1 antibody. CBR1 was detected in a paraffin-embedded section of mouse brain tissue. Heat mediated antigen retrieval was performed in EDTA buffer (pH 8.0, epitope retrieval solution). The tissue section was blocked with 10% goat serum. The tissue section was then incubated with 1:50 rabbit anti-CBR1 antibody overnight at 4oC. Peroxidase Conjugated Goat Anti-rabbit IgG was used as secondary antibody and incubated for 30 minutes at 37oC. The tissue section was developed using an HRP secondary and DAB substrate.
Immunohistochemical staining of CBR1 using anti-CBR1 antibody. CBR1 was detected in a paraffin-embedded section of rat brain tissue. Heat mediated antigen retrieval was performed in EDTA buffer (pH 8.0, epitope retrieval solution). The tissue section was blocked with 10% goat serum. The tissue section was then incubated with 1:50 rabbit anti-CBR1 antibody overnight at 4oC. Peroxidase Conjugated Goat Anti-rabbit IgG was used as secondary antibody and incubated for 30 minutes at 37oC. The tissue section was developed using an HRP secondary and DAB substrate.
Immunohistochemical staining of CBR1 using anti-CBR1 antibody. CBR1 was detected in a paraffin-embedded section of rat brain tissue. Heat mediated antigen retrieval was performed in EDTA buffer (pH 8.0, epitope retrieval solution). The tissue section was blocked with 10% goat serum. The tissue section was then incubated with 1:50 rabbit anti-CBR1 antibody overnight at 4oC. Peroxidase Conjugated Goat Anti-rabbit IgG was used as secondary antibody and incubated for 30 minutes at 37oC. The tissue section was developed using an HRP secondary and DAB substrate.
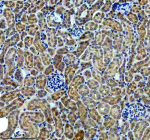
Immunohistochemical staining of CBR1 using anti-CBR1 antibody. CBR1 was detected in a paraffin-embedded section of mouse kidney tissue. Heat mediated antigen retrieval was performed in EDTA buffer (pH 8.0, epitope retrieval solution). The tissue section was blocked with 10% goat serum. The tissue section was then incubated with 1:50 rabbit anti-CBR1 antibody overnight at 4oC. Peroxidase Conjugated Goat Anti-rabbit IgG was used as secondary antibody and incubated for 30 minutes at 37oC. The tissue section was developed using an HRP secondary and DAB substrate.
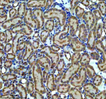
Immunohistochemical staining of CBR1 using anti-CBR1 antibody. CBR1 was detected in a paraffin-embedded section of rat kidney tissue. Heat mediated antigen retrieval was performed in EDTA buffer (pH 8.0, epitope retrieval solution). The tissue section was blocked with 10% goat serum. The tissue section was then incubated with 1:50 rabbit anti-CBR1 antibody overnight at 4oC. Peroxidase Conjugated Goat Anti-rabbit IgG was used as secondary antibody and incubated for 30 minutes at 37oC. The tissue section was developed using an HRP secondary and DAB substrate.
Availability 2-3 weeks
Species Reactivity Human
Format Liquid
Host Rabbit
Clonality Recombinant Rabbit Monoclonal
Isotype Rabbit IgG
Clone Name 30C98
Purity Affinity-chromatography
Buffer Rabbit IgG in phosphate buffered saline, pH 7.4, 150mM NaCl, 0.02% sodium azide and 50% glycerol, 0.4-0.5mg/ml BSA.
UniProt P16152
Localization Cytoplasm
Applications Western Blot : 1:500-1:2000
Immunohistochemistry : 1:50-1:200
Immunocytochemistry/Immunofluorescence : 1:50-1:200
Limitations This CBR1 antibody is available for research use only.
Review this product on BioCompare and get a $20 Amazon gift card

Related Products

  • Applications : WB, IHC, ELISA (peptide)
    Reactivity : Human

Description

CBR1 antibody detects Carbonyl reductase 1, encoded by the CBR1 gene. Carbonyl reductase 1 is an NADPH dependent enzyme that catalyzes the reduction of carbonyl containing compounds to their corresponding alcohols. This enzyme is part of the short chain dehydrogenase/reductase family and has a broad substrate spectrum, including xenobiotics, endogenous prostaglandins, and pharmacological agents. CBR1 antibody provides a valuable tool for studying drug metabolism, detoxification, and cellular defense mechanisms against reactive carbonyl species.

Carbonyl reductase 1 contributes to the metabolism of anthracycline drugs such as doxorubicin, converting them to less active alcohol metabolites. While this reduces anticancer activity, it also influences drug toxicity, particularly cardiotoxicity. Research with CBR1 antibody has been central to understanding interindividual variability in anthracycline metabolism and its impact on therapeutic outcomes. CBR1 also reduces prostaglandins and quinones, helping regulate inflammatory responses and oxidative stress signaling.

CBR1 has been linked to cancer, cardiovascular disease, and neurodegeneration. Overexpression has been reported in several tumors, where it may promote resistance to chemotherapy. Conversely, genetic polymorphisms in the CBR1 gene influence enzymatic activity and alter susceptibility to drug side effects. Using CBR1 antibody, researchers have demonstrated its tissue specific expression, with high levels in liver, kidney, and heart, reflecting its role in systemic detoxification. These findings underscore the enzyme's dual role in both protecting tissues and modulating pharmacological efficacy.

CBR1 antibody is applicable in western blotting, immunohistochemistry, and enzymatic activity assays. Western blotting demonstrates isoform expression across tissues, while immunohistochemistry reveals cytosolic distribution. Activity based assays combined with CBR1 antibody confirm enzyme function and response to inhibitors. These approaches allow detailed mapping of metabolic pathways influenced by Carbonyl reductase 1.

By providing validated CBR1 antibody reagents, NSJ Bioreagents supports research into drug metabolism, pharmacogenetics, and detoxification pathways. Detection of Carbonyl reductase 1 offers insights into how cellular defenses interact with therapeutic agents and environmental exposures.

Application Notes

Optimal dilution of the CBR1 antibody should be determined by the researcher.

Immunogen

A synthesized peptide derived from human CBR1 was used as the immunogen for the CBR1 antibody.

Storage

Store the CBR1 antibody at -20oC.

Cross
Bulk Quote Request Form
Name*:
Organization*:
Email*:
Phone Number*:
Catalog No.*:
Comments and Specifics(amount, formulation, etc.)*:
Validation code: Captchapackage Image


Can't read the image? click here to refresh.
    *required field

Your bulk quote request has been submitted successfully!

Please contact us if you have any questions.