• Tel: 858.663.9055
  • SeparatorEmail: info@nsjbio.com
  • Tel: 858.663.9055
  • Email: info@nsjbio.com
Home >> Antibodies >> Cathepsin L Antibody / Ctsl

Cathepsin L Antibody / Ctsl (RQ6858)

  Catalog No Formulation Size Price (USD)  
Image RQ6858 0.5mg/ml if reconstituted with 0.2ml sterile DI water 100 ug 449
Bulk quote request
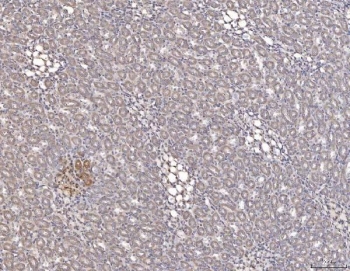
IHC staining of FFPE rat kidney tissue with Cathepsin L antibody. HIER: boil tissue sections in pH8 EDTA for 20 min and allow to cool before testing.
Western blot testing of 1) rat liver, 2) rat kidney and 3) mouse liver tissue lysate with Cathepsin L antibody. Expected molecular weight: 38-41 kDa with multiple smaller processed/active forms.
Flow cytometry testing of mouse HEPA1-6 cells with Cathepsin L antibody at 1ug/million cells (blocked with goat sera); Red=cells alone, Green=isotype control, Blue= Cathepsin L antibody.
Availability 1-3 business days
Species Reactivity Mouse, Rat
Format Antigen affinity purified
Host Rabbit
Clonality Polyclonal (rabbit origin)
Isotype Rabbit IgG
Purity Antigen affinity purified
Buffer Lyophilized from 1X PBS with 2% Trehalose
UniProt P06797
Applications Western Blot : 1-2ug/ml
Immunohistochemistry (FFPE) : 2-5ug/ml
Flow Cytometry : 1-3ug/million cells
Limitations This Cathepsin L antibody is available for research use only.
Review this product on BioCompare and get a $20 Amazon gift card

Related Products

Description

The protein encoded by this gene is a lysosomal cysteine proteinase that plays a major role in intracellular protein catabolism. Its substrates include collagen and elastin, as well as alpha-1 protease inhibitor, a major controlling element of neutrophil elastase activity. The encoded protein has been implicated in several pathologic processes, including myofibril necrosis in myopathies and in myocardial ischemia, and in the renal tubular response to proteinuria. This protein, which is a member of the peptidase C1 family, is a dimer composed of disulfide-linked heavy and light chains, both produced from a single protein precursor. Additionally, this protein cleaves the S1 subunit of the SARS-CoV-2 spike protein, which is necessary for entry of the virus into the cell.

Application Notes

Optimal dilution of the Cathepsin L antibody should be determined by the researcher.

Immunogen

Amino acids KYRAEFAVANDTGFVDIPQQ from the mouse protein were used as the immunogen for the Cathepsin L antibody.

Storage

After reconstitution, the Cathepsin L antibody can be stored for up to one month at 4oC. For long-term, aliquot and store at -20oC. Avoid repeated freezing and thawing.

Cross
Bulk Quote Request Form
Name*:
Organization*:
Email*:
Phone Number*:
Catalog No.*:
Comments and Specifics(amount, formulation, etc.)*:
Validation code: Captchapackage Image


Can't read the image? click here to refresh.
    *required field

Your bulk quote request has been submitted successfully!

Please contact us if you have any questions.