• Tel: 858.663.9055
  • SeparatorEmail: info@nsjbio.com
  • Tel: 858.663.9055
  • Email: info@nsjbio.com
Home >> Antibodies >> Cathepsin E Antibody / CTSE

Cathepsin E Antibody / CTSE (RQ4472)

  Catalog No Formulation Size Price (USD)  
Image RQ4472 0.5mg/ml if reconstituted with 0.2ml sterile DI water 100 ug 449
Bulk quote request
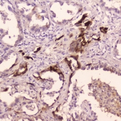
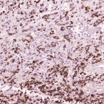
IHC testing of FFPE human gastric cancer with Cathepsin E antibody at 2ug/ml. HIER: boil tissue sections in pH6, 10mM citrate buffer, for 10-20 min followed by cooling at RT for 20 min.
IHC testing of FFPE human lung cancer with Cathepsin E antibody at 2ug/ml. HIER: boil tissue sections in pH6, 10mM citrate buffer, for 10-20 min followed by cooling at RT for 20 min.
Western blot testing of 1) rat stomach, 2) mouse stomach and 3) mouse SP2/0 lysate with Cathepsin E antibody at 0.5ug/ml. Predicted molecular weight ~43 kDa.
Availability 1-3 business days
Species Reactivity Human, Mouse, Rat
Format Antigen affinity purified
Host Rabbit
Clonality Polyclonal (rabbit origin)
Isotype Rabbit IgG
Purity Antigen affinity
Buffer Lyophilized from 1X PBS with 2% Trehalose and 0.025% sodium azide
UniProt P14091
Localization Cytoplasmic, membranous
Applications Western Blot : 0.5-1ug/ml
Immunohistochemistry (FFPE) : 1-2ug/ml
Limitations This Cathepsin E antibody is available for research use only.
Review this product on BioCompare and get a $20 Amazon gift card

Related Products

  • Applications : WB, FACS, IHC-P
    Reactivity : Human, Mouse, Rat

Description

Cathepsin E is an enzyme that in humans is encoded by the CTSE gene. This gene encodes a member of the A1 family of peptidases. Alternative splicing of this gene results in multiple transcript variants. At least one of these variants encodes a preproprotein that is proteolytically processed to generate the mature enzyme. This enzyme, an aspartic endopeptidase, may be involved in antigen processing and the maturation of secretory proteins. Elevated expression of this gene has been observed in neurodegeneration.

Application Notes

Optimal dilution of the Cathepsin E antibody should be determined by the researcher.

Immunogen

Human Cathepsin E recombinant protein (amino acids A150-R393) was used as the immunogen for the Cathepsin E antibody.

Storage

After reconstitution, the Cathepsin E antibody can be stored for up to one month at 4oC. For long-term, aliquot and store at -20oC. Avoid repeated freezing and thawing.

Cross
Bulk Quote Request Form
Name*:
Organization*:
Email*:
Phone Number*:
Catalog No.*:
Comments and Specifics(amount, formulation, etc.)*:
Validation code: Captchapackage Image


Can't read the image? click here to refresh.
    *required field

Your bulk quote request has been submitted successfully!

Please contact us if you have any questions.