• Tel: 858.663.9055
  • SeparatorEmail: info@nsjbio.com
  • Tel: 858.663.9055
  • Email: info@nsjbio.com
Home >> Antibodies >> Cathepsin D Antibody / CTSD Lysosomal Protease Antibody

Cathepsin D Antibody / CTSD Lysosomal Protease Antibody [clone CTSD/3276] (V7737)

  Catalog No Formulation Size Price (USD)  
Image V7737-100UG 0.2 mg/ml in 1X PBS with 0.1 mg/ml BSA (US sourced) and 0.05% sodium azide 100 ug 559
Image
V7737-20UG 0.2 mg/ml in 1X PBS with 0.1 mg/ml BSA (US sourced) and 0.05% sodium azide 20 ug 259
Image
V7737SAF-100UG 1 mg/ml in 1X PBS; BSA free, sodium azide free 100 ug 559
Microvalidated
Bulk quote request
Cathepsin D Lysosomal Protease Antibody MCF7 Cell IF. Immunofluorescence analysis of permeabilized human MCF7 cells using Cathepsin D Antibody (clone CTSD/3276) shows punctate cytoplasmic green fluorescence consistent with CTSD localization in lysosomal compartments. The granular staining pattern reflects lysosomal protease distribution involved in intracellular protein processing and degradation. Reddot nuclear stain (red) highlights nuclei, providing contrast to the lysosome-associated CTSD signal.
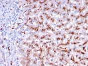
Cathepsin D Lysosomal Protease Antibody Liver Tissue IHC. Immunohistochemistry analysis of FFPE human liver tissue using Cathepsin D Antibody (clone CTSD/3276) shows granular cytoplasmic staining in hepatocytes, consistent with CTSD localization in lysosomal compartments. The punctate pattern reflects lysosomal protease activity associated with intracellular protein processing and turnover. Hepatic architecture is well preserved, and non-parenchymal regions display comparatively lower staining. Hematoxylin counterstain provides nuclear contrast and structural context. HIER: boil FFPE tissue sections in pH 9 10 mM Tris with 1 mM EDTA for 10-20 min and allow to cool before testing.
Cathepsin D Lysosomal Protease Antibody Liver WB. Western blot analysis of human liver lysate using Cathepsin D Antibody (clone CTSD/3276) detects a prominent band at approximately 14-15 kDa, corresponding to the light chain of mature Cathepsin D generated through proteolytic processing of the precursor protein. This banding pattern is consistent with lysosomal maturation of CTSD and reflects its active enzymatic form involved in intracellular protein degradation.
Cathepsin D Lysosomal Protease Antibody HuProt Microarray Specificity. Protein microarray analysis using Cathepsin D Antibody (clone CTSD/3276) demonstrates highly specific binding to CTSD / Cathepsin D, with the target protein ranked as the top hit and showing a strong Z score relative to all other proteins on the array. Signal intensity decreases sharply for non-target proteins, supporting selective recognition with minimal off-target interaction. Z score represents the strength of signal in standard deviations above the mean of all array signals, while S score reflects the separation between the top-ranked target and the next highest signal, indicating relative specificity.
SDS-PAGE analysis of purified, BSA-free Cathepsin D antibody (clone CTSD/3276) as confirmation of integrity and purity.
Availability 1-3 business days
Species Reactivity Human
Format Purified
Host Mouse
Clonality Monoclonal (mouse origin)
Isotype Mouse IgG2b, kappa
Clone Name CTSD/3276
Purity Protein G affinity chromatography
UniProt P07339
Localization Cytoplasmic
Applications Immunofluorescence : 1-2ug/ml
Immunohistochemistry (FFPE) : 1-2ug/ml
Western Blot : 1-2ug/ml
Limitations This Cathepsin D Antibody / CTSD Lysosomal Protease Antibody is available for research use only.
Review this product on BioCompare and get a $20 Amazon gift card

Related Products

Description

Cathepsin D (CTSD) is a lysosomal aspartyl protease that functions as a key mediator of intracellular protein processing and degradation, playing central roles in lysosomal function, apoptosis, and tissue remodeling. The Cathepsin D Antibody / CTSD Lysosomal Protease Antibody is widely used to detect this enzyme across diverse biological systems, where it is primarily localized to lysosomes but may also be secreted or redistributed under specific physiological and pathological conditions. CTSD is encoded on chromosome 11p15.5 and belongs to the pepsin-like aspartic protease family, characterized by proteolytic activity under acidic conditions and involvement in the breakdown of intracellular substrates.

The Cathepsin D antibody, also referred to as CTSD antibody and Aspartyl protease cathepsin D antibody in the literature, recognizes a protein that is synthesized as a preproenzyme and undergoes sequential proteolytic processing to generate intermediate and mature active forms. The precursor form is approximately 52 kDa and is cleaved into a mature enzyme consisting of heavy and light chains, typically observed as bands in the 30-35 kDa range in western blot analysis. This maturation process is a defining feature of CTSD biology and reflects its activation within lysosomal compartments, making it a valuable marker for studying proteolytic processing pathways.

This Cathepsin D Antibody / CTSD Lysosomal Protease Antibody is uniquely positioned for studies focused on lysosomal activity and protein turnover. Detection of both precursor and processed forms provides insight into enzyme maturation, intracellular trafficking, and functional state. In immunohistochemistry and immunofluorescence applications, CTSD typically exhibits punctate cytoplasmic staining consistent with lysosomal localization, while in western blot analysis, distinct banding patterns reflect its proteolytic processing. These features make CTSD an informative marker for evaluating lysosomal integrity and protease activity.

Cathepsin D is broadly expressed across tissues, including brain, liver, pancreas, and epithelial compartments, where it contributes to normal cellular homeostasis through regulated protein degradation. In addition to its physiological roles, CTSD is implicated in multiple pathological conditions, including cancer, neurodegenerative disorders, and inflammatory diseases. Elevated expression and secretion of Cathepsin D have been associated with tumor progression, invasion, and metastasis, particularly in breast cancer and other epithelial malignancies, highlighting its relevance as both a functional enzyme and disease-associated biomarker.

The mouse monoclonal clone CTSD/3276 provides consistent and specific detection of CTSD, supported by protein microarray specificity validation data demonstrating selective binding to the intended target. This Cathepsin D Antibody / CTSD Lysosomal Protease Antibody is suitable for detecting CTSD expression in research applications where lysosomal function, proteolytic maturation, and intracellular protein processing are of primary interest. It supports detailed investigation of lysosomal protease activity, protein maturation, and disease-associated changes in CTSD expression.

This antibody is part of a broader antibody panel offered by NSJ Bioreagents.

Application Notes

Optimal dilution of the Cathepsin D Antibody / CTSD Lysosomal Protease Antibody should be determined by the researcher.

Immunogen

A recombinant human partial protein (amino acids 104-250) was used as the immunogen of the Cathepsin D antibody.

Storage

Store the Cathepsin D antibody at 2-8oC (with azide) or aliquot and store at -20oC or colder (without azide).

Alternate Names

Cathepsin D antibody, CTSD antibody, Cathepsin D lysosomal enzyme antibody, CTSD protease antibody, Aspartyl protease cathepsin D antibody

Cross
Bulk Quote Request Form
Name*:
Organization*:
Email*:
Phone Number*:
Catalog No.*:
Comments and Specifics(amount, formulation, etc.)*:
Validation code: Captchapackage Image


Can't read the image? click here to refresh.
    *required field

Your bulk quote request has been submitted successfully!

Please contact us if you have any questions.