• Tel: 858.663.9055
  • SeparatorEmail: info@nsjbio.com
  • Tel: 858.663.9055
  • Email: info@nsjbio.com
Home >> Antibodies >> Cathepsin D Antibody

Cathepsin D Antibody [clone CTSD/3082] (V7702)

  Catalog No Formulation Size Price (USD)  
Image V7702-100UG 0.2 mg/ml in 1X PBS with 0.1 mg/ml BSA (US sourced) and 0.05% sodium azide 100 ug 559
Image
V7702-20UG 0.2 mg/ml in 1X PBS with 0.1 mg/ml BSA (US sourced) and 0.05% sodium azide 20 ug 259
Image
V7702SAF-100UG 1 mg/ml in 1X PBS; BSA free, sodium azide free 100 ug 559
Microvalidated
Bulk quote request
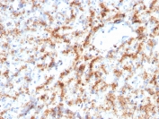
Cathepsin D Antibody Liver Carcinoma IHC. Immunohistochemistry analysis of FFPE human liver carcinoma tissue using Cathepsin D antibody (clone CTSD/3082) shows strong granular cytoplasmic staining in tumor cells and prominent signal in infiltrating macrophages, consistent with CTSD / Cathepsin D localization in lysosomal compartments. The punctate staining pattern reflects lysosomal protease activity associated with intracellular protein degradation and tumor-associated macrophage function. Tumor architecture is preserved, and hematoxylin counterstain provides nuclear contrast and structural context. HIER: boil FFPE tissue sections in pH 9 10 mM Tris with 1 mM EDTA for 10-20 min and allow to cool before testing.
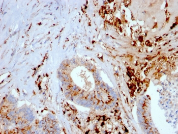
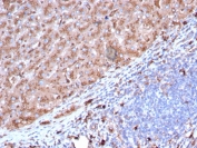
IHC staining of FFPE human liver with Cathepsin D antibody (clone CTSD/3082). HIER: boil tissue sections in pH 9 10mM Tris with 1mM EDTA for 10-20 min and allow to cool before testing.
IHC staining of FFPE human liver with Cathepsin D antibody (clone CTSD/3082). HIER: boil tissue sections in pH 9 10mM Tris with 1mM EDTA for 10-20 min and allow to cool before testing.
Western blot testing of human liver lysate with Cathepsin D antibody.
Analysis of HuProt(TM) microarray containing more than 19,000 full-length human proteins using Cathepsin D antibody (clone CTSD/3082). These results demonstrate the foremost specificity of the CTSD/3082 mAb.
Z- and S- score: The Z-score represents the strength of a signal that an antibody (in combination with a fluorescently-tagged anti-IgG secondary Ab) produces when binding to a particular protein on the HuProt(TM) array. Z-scores are described in units of standard deviations (SD's) above the mean value of all signals generated on that array. If the targets on the HuProt(TM) are arranged in descending order of the Z-score, the S-score is the difference (also in units of SD's) between the Z-scores. The S-score therefore represents the relative target specificity of an Ab to its intended target.
SDS-PAGE analysis of purified, BSA-free Cathepsin D antibody (clone CTSD/3082) as confirmation of integrity and purity.
Availability 1-3 business days
Species Reactivity Human
Format Purified
Host Mouse
Clonality Monoclonal (mouse origin)
Isotype Mouse IgG2b, kappa
Clone Name CTSD/3082
Purity Protein G affinity chromatography
UniProt P07339
Localization Cytoplasmic
Applications Immunohistochemistry (FFPE) : 1-2ug/ml
Western Blot : 1-2ug/ml
Limitations This Cathepsin D antibody is available for research use only.
Review this product on BioCompare and get a $20 Amazon gift card

Related Products

Description

Cathepsin D is a ubiquitously expressed lysosomal aspartyl protease involved in the normal degradation of proteins. It is synthesized as an inactive 52kDa preprocathepsin D that is cleaved and glycosylated to form a 48kDa procathepsin D and then further cleaved to produce 34kDa and 14kDa subunits (heavy and light chains, respectively). Cathepsin D exhibits pepsin-like activity and plays a role in protein turnover and in the proteolytic activation of hormones and growth factors. Mutations in this gene play a causal role in neuronal ceroid lipofuscinosis-10 and may be involved in the pathogenesis of several other diseases, including breast cancer and possibly Alzheimer's disease.

This antibody can be compared with our Cathepsin D Antibody / CTSD Antibody (clone CTSD/3276) as a central reference for consistent CTSD detection across multiple assay formats.

Application Notes

Optimal dilution of the Cathepsin D antibody should be determined by the researcher.

Immunogen

A recombinant human partial protein (amino acids 104-250) was used as the immunogen of the Cathepsin D antibody.

Storage

Store the Cathepsin D antibody at 2-8oC (with azide) or aliquot and store at -20oC or colder (without azide).

Cross
Bulk Quote Request Form
Name*:
Organization*:
Email*:
Phone Number*:
Catalog No.*:
Comments and Specifics(amount, formulation, etc.)*:
Validation code: Captchapackage Image


Can't read the image? click here to refresh.
    *required field

Your bulk quote request has been submitted successfully!

Please contact us if you have any questions.