• Tel: 858.663.9055
  • SeparatorEmail: info@nsjbio.com
  • Tel: 858.663.9055
  • Email: info@nsjbio.com
Home >> Antibodies >> Caspase-7 Antibody

Caspase-7 Antibody (R32146)

  Catalog No Formulation Size Price (USD)  
Image R32146 0.5mg/ml if reconstituted with 0.2ml sterile DI water 100 ug 449
Bulk quote request
Western blot testing of 1) human A549, 2) rat spleen and 3) rat lung lysate using Caspase-7 antibody. Expected/observed molecular weight ~34 kDa (full length).
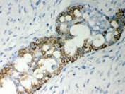
IHC testing of FFPE human breast cancer and Caspase-7 antibody. HIER: Boil the paraffin sections in pH 6, 10mM citrate buffer for 20 minutes and allow to cool prior to staining.
Availability 1-3 business days
Species Reactivity Human, Rat
Format Antigen affinity purified
Host Rabbit
Clonality Polyclonal (rabbit origin)
Isotype Rabbit IgG
Purity Antigen affinity
Buffer Lyophilized from 1X PBS with 2% Trelahose
UniProt P55210
Localization Cytoplasmic
Applications Western Blot : 0.1-0.5ug/ml
IHC (FFPE) : 0.5-1ug/ml
Limitations This Caspase-7 antibody is available for research use only.
Review this product on BioCompare and get a $20 Amazon gift card

Related Products

Description

Caspase-7, Apoptosis-related cysteine peptidase, is a human protein encoded by the CASP7 gene. CASP7 orthologs have been identified in nearly all mammals for which complete genome data are available. It is a member of the caspase (cysteine aspartate protease) family of proteins, and has been shown to be an executioner protein of apoptosis. Using radiation hybrid mapping, the gene was localized to human chromosome 10q25.1-q25.2. The orderly activation of CASP7 regulates microglia activation through a protein kinase C-delta (PRKCD)-dependent pathway.

Application Notes

Optimal dilution of the Caspase-7 antibody should be determined by the researcher.

Immunogen

Amino acids 117-198 of human Caspase-7 were used as the immunogen for the Caspase-7 antibody. This sequence is from the large subunit.

Storage

After reconstitution, the Caspase-7 antibody can be stored for up to one month at 4oC. For long-term, aliquot and store at -20oC. Avoid repeated freezing and thawing.

Cross
Bulk Quote Request Form
Name*:
Organization*:
Email*:
Phone Number*:
Catalog No.*:
Comments and Specifics(amount, formulation, etc.)*:
Validation code: Captchapackage Image


Can't read the image? click here to refresh.
    *required field

Your bulk quote request has been submitted successfully!

Please contact us if you have any questions.