• Tel: 858.663.9055
  • SeparatorEmail: info@nsjbio.com
  • Tel: 858.663.9055
  • Email: info@nsjbio.com
Home >> Antibodies >> CASP6 Antibody / Caspase 6

CASP6 Antibody / Caspase 6 [clone 31C93] (FY12753)

  Catalog No Formulation Size Price (USD)  
Image FY12753 Rabbit IgG in phosphate buffered saline, pH 7.4, 150mM NaCl, 0.02% sodium azide and 50% glycerol, 0.4-0.5mg/ml BSA 100 ul 449
Microvalidated Recrabbitmono
Bulk quote request
Rat liver tissue lysate tested with the CASP6 antibody at 1:1000 dilution for 1 hour at room temperature. Expected molecular weight: 34-36 kDa.
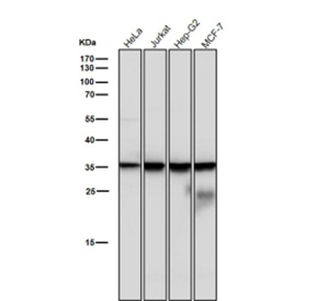
All lanes use the CASP6 antibody at 1:1000 dilution for 1 hour at room temperature. Expected molecular weight: 34-36 kDa.
Rat kidney tissue lysate tested with the CASP6 antibody at 1:1000 dilution for 1 hour at room temperature. Expected molecular weight: 34-36 kDa.
Rat spleen tissue lysate tested with the CASP6 antibody at 1:1000 dilution for 1 hour at room temperature. Expected molecular weight: 34-36 kDa.
Rat liver tissue lysate tested with the CASP6 antibody at 1:1000 dilution for 1 hour at room temperature. Expected molecular weight: 34-36 kDa.
Mouse lung tissue lysate tested with the CASP6 antibody at 1:1000 dilution for 1 hour at room temperature. Expected molecular weight: 34-36 kDa.
Western blot analysis of Caspase-6 expression in (1) mouse spleen lysate; (2) rat kidney cell lysate using CASP6 antibody. Expected molecular weight: 34-36 kDa.
Mouse liver tissue lysate tested with the CASP6 antibody at 1:1000 dilution for 1 hour at room temperature. Expected molecular weight: 34-36 kDa.
Mouse heart tissue lysate tested with the CASP6 antibody at 1:1000 dilution for 1 hour at room temperature. Expected molecular weight: 34-36 kDa.
Availability 2-3 weeks
Species Reactivity Human, Mouse, Rat
Format Liquid
Host Rabbit
Clonality Recombinant Rabbit Monoclonal
Isotype Rabbit IgG
Clone Name 31C93
Purity Affinity-chromatography
Buffer Rabbit IgG in phosphate buffered saline, pH 7.4, 150mM NaCl, 0.02% sodium azide and 50% glycerol, 0.4-0.5mg/ml BSA.
UniProt P55212
Applications Western Blot : 1:500-1:2000
Immunohistochemistry : 1:50-1:200
Limitations This CASP6 antibody is available for research use only.
Review this product on BioCompare and get a $20 Amazon gift card

Description

CASP6 antibody detects caspase 6, a cysteine protease encoded by the CASP6 gene. Alternate identifiers include MCH2 and apoptotic cysteine protease 6. Caspase 6 belongs to the caspase family of cysteine aspartate proteases that orchestrate apoptosis and inflammation. Synthesized as an inactive proenzyme, caspase 6 undergoes autocatalytic processing or cleavage by upstream caspases to generate the active enzyme, which then cleaves specific substrates during programmed cell death.

CASP6 antibody is widely applied in neuroscience, apoptosis research, and oncology. Caspase 6 activity contributes to neuronal apoptosis and axonal degeneration, with elevated activity linked to Alzheimer disease and Huntington disease. In cancer biology, caspase 6 mediates apoptosis in response to stress and chemotherapeutic drugs. By detecting caspase 6, researchers can examine apoptotic pathways and their dysregulation in disease.

Western blot assays identify pro and cleaved caspase 6 isoforms, immunohistochemistry maps expression in tissues undergoing apoptosis, and immunofluorescence detects localization in neuronal and cancer cell models. These assays provide robust methods for analyzing apoptotic signaling pathways.

Caspase 6 cleaves substrates such as lamin A and huntingtin, contributing to nuclear disassembly and neurodegeneration. Dysregulated activity promotes pathological cell death, while insufficient activity may contribute to impaired apoptosis in cancer. By applying CASP6 antibody, scientists can evaluate the balance of pro survival and pro death signals across systems.

CASP6 antibody from NSJ Bioreagents delivers reliable specificity for detecting caspase 6. Its performance across multiple applications supports both basic apoptosis research and translational studies in oncology and neurodegeneration.

Application Notes

Optimal dilution of the CASP6 antibody should be determined by the researcher.

Immunogen

A synthesized peptide derived from human Caspase-6 was used as the immunogen for the CASP6 antibody.

Storage

Store the CASP6 antibody at -20oC.

Cross
Bulk Quote Request Form
Name*:
Organization*:
Email*:
Phone Number*:
Catalog No.*:
Comments and Specifics(amount, formulation, etc.)*:
Validation code: Captchapackage Image


Can't read the image? click here to refresh.
    *required field

Your bulk quote request has been submitted successfully!

Please contact us if you have any questions.