• Tel: 858.663.9055
  • SeparatorEmail: info@nsjbio.com
  • Tel: 858.663.9055
  • Email: info@nsjbio.com
Home >> Antibodies >> CASP3 Antibody / Caspase 3

CASP3 Antibody / Caspase 3 [clone 30C96] (FY13246)

  Catalog No Formulation Size Price (USD)  
Image FY13246 Rabbit IgG in phosphate buffered saline, pH 7.4, 150mM NaCl, 0.02% sodium azide and 50% glycerol, 0.4-0.5mg/ml BSA 100 ul 449
Microvalidated Recrabbitmono
Bulk quote request
Western blot analysis of Caspase 3 expression in (1) Jurkat cell lysate; (2) NIH/3T3 cell lysate; (3) rat brain lysate using CASP3 antibody. The predicted molecular weight of Caspase 3 is at ~32 kDa.
Western blot analysis of Caspase 3 using anti-CASP3 antibody. Lane 1: human Hela whole cell lysates, Lane 2: human Hela whole cell lysates, Lane 3: human Jurkat whole cell lysates, Lane 4: human Jurkat whole cell lysates, Lane 5: human HepG2 whole cell lysates, Lane 6: human 293T whole cell lysates, Lane 7: mouse NIH/3T3 whole cell lysates, Lane 8: mouse NIH/3T3 whole cell lysates. After electrophoresis, proteins were transferred to a nitrocellulose membrane at 150 mA for 50-90 minutes. Blocked the membrane with 5% non-fat milk/TBS for 1.5 hour at RT. The membrane was incubated with rabbit anti-Caspase 3 antibody at 1:500 overnight at 4oC, then washed with TBS-0.1%Tween 3 times with 5 minutes each and probed with a goat anti-rabbit IgG-HRP secondary antibody at a dilution of 1:500 for 1.5 hour at RT. The signal was developed using enhanced chemiluminescent. Western blot of caspase 3 in cells treated ± staurosporine (STS). In untreated samples a ~32 kDa band corresponding to pro-caspase-3 is detected. STS treatment reduces the proform and generates a ~17 kDa band, consistent with the cleaved large subunit of active caspase-3 (p17). This shift indicates caspase-3 activation by STS.
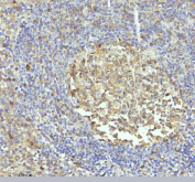
Immunohistochemical staining of Caspase 3 using anti-CASP3 antibody. Caspase 3 was detected in a paraffin-embedded section of human tonsil tissue. Heat mediated antigen retrieval was performed in EDTA buffer (pH 8.0, epitope retrieval solution). The tissue section was blocked with 10% goat serum. The tissue section was then incubated with 1:50 rabbit anti-CASP3 antibody overnight at 4oC. Peroxidase Conjugated Goat Anti-rabbit IgG was used as secondary antibody and incubated for 30 minutes at 37oC. The tissue section was developed using an HRP secondary and DAB substrate.
Immunohistochemical staining of Caspase 3 using anti-CASP3 antibody. Caspase 3 was detected in a paraffin-embedded section of human tonsil tissue. Heat mediated antigen retrieval was performed in EDTA buffer (pH 8.0, epitope retrieval solution). The tissue section was blocked with 10% goat serum. The tissue section was then incubated with 1:50 rabbit anti-CASP3 antibody overnight at 4oC. Peroxidase Conjugated Goat Anti-rabbit IgG was used as secondary antibody and incubated for 30 minutes at 37oC. The tissue section was developed using an HRP secondary and DAB substrate.
Availability 2-3 weeks
Species Reactivity Human, Mouse, Rat
Format Liquid
Host Rabbit
Clonality Recombinant Rabbit Monoclonal
Isotype Rabbit IgG
Clone Name 30C96
Purity Affinity chromatography
Buffer Rabbit IgG in phosphate buffered saline, pH 7.4, 150mM NaCl, 0.02% sodium azide and 50% glycerol, 0.4-0.5mg/ml BSA.
UniProt P42574
Applications Western Blot : 1:500-1:2000
Immunohistochemistry : 1:50-1:200
Immunoprecipitation : 1:50
Limitations This CASP3 antibody is available for research use only.
Review this product on BioCompare and get a $20 Amazon gift card

Related Products

  • Applications : WB, IHC
    Reactivity : Human
    Recrabbitmono
  • Applications : WB, IHC-P
    Reactivity : Human, Mouse, Rat
  • Applications : WB, ELISA
    Reactivity : Human
  • Applications : WB, IHC-P, FACS
    Reactivity : Human
  • Applications : WB, IHC-P, IF, FACS
    Reactivity : Human
  • Applications : WB, IHC-P
    Reactivity : Human, Mouse, Rat
    Rab Mono Image
  • Applications : WB
    Reactivity : Human, Mouse, Rat
  • Applications : WB, IHC-P, ICC
    Reactivity : Human
  • Applications : WB, IHC-P
    Reactivity : Mouse, Rat
  • Applications : WB, IF, IHC-P
    Reactivity : Human, Mouse, Rat
  • Applications : WB, IHC, FACS, ELISA
    Reactivity : Human
    Pred. Reactivity : Mouse, Primate, Rabbit, Rat
  • Applications : WB, IHC, FACS, ELISA
    Reactivity : Human
  • Applications : WB, FACS, IHC, ELISA
    Reactivity : Human
  • Applications : DB, ELISA
    Reactivity : Mouse
  • Applications : DB, ELISA
    Reactivity : Mouse
  • Applications : WB, ELISA (peptide)
    Reactivity : Human
    Pred. Reactivity : Dog, Mouse, Rat
  • Applications : WB, IF, FACS
    Reactivity : Human

Description

CASP3 antibody detects Caspase 3, encoded by the CASP3 gene. Caspase 3 is a cysteine aspartic protease that functions as an executioner caspase in apoptosis. Activated downstream of initiator caspases, Caspase 3 cleaves a broad spectrum of cellular substrates, leading to programmed cell death. CASP3 antibody provides researchers with an essential tool for investigating apoptosis, cancer biology, and neurodegeneration.

Caspase 3 is synthesized as an inactive zymogen that undergoes proteolytic cleavage during apoptosis to generate the active enzyme. Research using CASP3 antibody has demonstrated that activated Caspase 3 cleaves structural proteins, DNA repair enzymes, and signaling molecules, dismantling cellular architecture and promoting apoptotic progression. Its activity is a hallmark of programmed cell death and is widely used as a biomarker of apoptosis in experimental systems.

In cancer research, studies with CASP3 antibody have revealed that impaired Caspase 3 activation contributes to resistance to chemotherapy and radiation therapy. Tumors that downregulate or inactivate Caspase 3 evade apoptosis, enhancing survival and proliferation. Conversely, forced activation of Caspase 3 promotes cell death and tumor regression. These observations highlight Caspase 3 as a potential therapeutic target and prognostic marker in oncology.

Caspase 3 also plays critical roles in neurodegeneration. Research using CASP3 antibody has shown that aberrant Caspase 3 activity contributes to neuronal loss in diseases such as Alzheimer's, Parkinson's, and Huntington's. Excessive activation promotes neuronal apoptosis, while inhibition has been explored as a neuroprotective strategy. Beyond the nervous system, Caspase 3 regulates apoptosis in immune cells, cardiac cells, and developmental processes, reflecting its broad biological importance.

CASP3 antibody is widely used in western blotting, immunohistochemistry, flow cytometry, and ELISA. Western blotting distinguishes full length and cleaved forms, immunohistochemistry detects apoptotic cells in tissue, flow cytometry quantifies apoptosis in cell populations, and ELISA measures Caspase 3 activity in lysates. These applications make CASP3 antibody indispensable for apoptosis research.

By supplying validated CASP3 antibody reagents, NSJ Bioreagents supports research into apoptosis, cancer, and neurodegeneration. Detection of Caspase 3 provides researchers with a reliable marker of programmed cell death and a tool for exploring therapeutic interventions.

Application Notes

Optimal dilution of the CASP3 antibody should be determined by the researcher.

Immunogen

A synthesized peptide derived from human Caspase 3 was used as the immunogen for the CASP3 antibody.

Storage

Store the CASP3 antibody at -20oC.

Cross
Bulk Quote Request Form
Name*:
Organization*:
Email*:
Phone Number*:
Catalog No.*:
Comments and Specifics(amount, formulation, etc.)*:
Validation code: Captchapackage Image


Can't read the image? click here to refresh.
    *required field

Your bulk quote request has been submitted successfully!

Please contact us if you have any questions.