• Tel: 858.663.9055
  • SeparatorEmail: info@nsjbio.com
  • Tel: 858.663.9055
  • Email: info@nsjbio.com
Home >> Antibodies >> CARD10 Antibody / Caspase recruitment domain-containing protein 10

CARD10 Antibody / Caspase recruitment domain-containing protein 10 (FY13360)

  Catalog No Formulation Size Price (USD)  
Image FY13360 Adding 0.2 ml of distilled water will yield a concentration of 500 ug/ml 100 ug 449
Bulk quote request
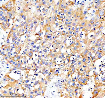
Immunohistochemical staining of CARD10 using anti-CARD10 antibody. CARD10 was detected in a paraffin-embedded section of human bladder cancer tissue. Heat mediated antigen retrieval was performed in EDTA buffer (pH 8.0, epitope retrieval solution). The tissue section was blocked with 10% goat serum. The tissue section was then incubated with 2 ug/ml rabbit anti-CARD10 antibody overnight at 4oC. Peroxidase Conjugated Goat Anti-rabbit IgG was used as secondary antibody and incubated for 30 minutes at 37oC. The tissue section was developed using an HRP secondary and DAB substrate.
Western blot analysis of CARD10 using anti-CARD10 antibody. Lane 1: human whole cell lysates, Lane 2: human HaCaT whole cell lysates, Lane 3: human HepG2 whole cell lysates, Lane 4: mouse kidney tissue lysates. After electrophoresis, proteins were transferred to a nitrocellulose membrane at 150 mA for 50-90 minutes. Blocked the membrane with 5% non-fat milk/TBS for 1.5 hour at RT. The membrane was incubated with rabbit anti-CARD10 antibody at 0.5 ug/ml overnight at 4oC, then washed with TBS-0.1%Tween 3 times with 5 minutes each and probed with a goat anti-rabbit IgG-HRP secondary antibody at a dilution of 1:5000 for 1.5 hour at RT. The signal was developed using enhanced chemiluminescent. A strong band is detected at approximately 125-130 kDa, slightly higher than the predicted 116 kDa size, consistent with previously reported anomalous migration and phosphorylation-dependent mobility shifts of CARD10.
Immunohistochemical staining of CARD10 using anti-CARD10 antibody. CARD10 was detected in a paraffin-embedded section of mouse kidney tissue. Heat mediated antigen retrieval was performed in EDTA buffer (pH 8.0, epitope retrieval solution). The tissue section was blocked with 10% goat serum. The tissue section was then incubated with 2 ug/ml rabbit anti-CARD10 antibody overnight at 4oC. Peroxidase Conjugated Goat Anti-rabbit IgG was used as secondary antibody and incubated for 30 minutes at 37oC. The tissue section was developed using an HRP secondary and DAB substrate.
Immunohistochemical staining of CARD10 using anti-CARD10 antibody. CARD10 was detected in a paraffin-embedded section of rat kidney tissue. Heat mediated antigen retrieval was performed in EDTA buffer (pH 8.0, epitope retrieval solution). The tissue section was blocked with 10% goat serum. The tissue section was then incubated with 2 ug/ml rabbit anti-CARD10 antibody overnight at 4oC. Peroxidase Conjugated Goat Anti-rabbit IgG was used as secondary antibody and incubated for 30 minutes at 37oC. The tissue section was developed using an HRP secondary and DAB substrate.
Flow Cytometry analysis of HepG2 cells using anti-CARD10 antibody. Overlay histogram showing HepG2 cells stained with (Blue line). To facilitate intracellular staining, cells were fixed with 4% paraformaldehyde and permeabilized with permeabilization buffer. The cells were blocked with 10% normal goat serum. And then incubated with rabbit anti-CARD10 antibody (1 ug/million cells) for 30 min at 20oC. DyLight 488 conjugated goat anti-rabbit IgG (5-10 ug/million cells) was used as secondary antibody for 30 minutes at 20oC. Isotype control antibody (Green line) was rabbit IgG (1 ug/million cells) used under the same conditions. Unlabelled sample without incubation with primary antibody and secondary antibody (Red line) was used as a blank control.
Availability 1-2 days
Species Reactivity Human, Mouse, Rat
Format Lyophilized
Host Rabbit
Clonality Polyclonal (rabbit origin)
Isotype Rabbit IgG
Purity Immunogen affinity purified
Buffer Each vial contains 4 mg Trehalose, 0.9 mg NaCl, 0.2 mg Na2HPO4.
UniProt Q9BWT7
Localization Cytoplasm
Applications Western Blot : 0.25-0.5ug/ml
Immunohistochemistry : 2-5ug/ml
Flow Cytometry : 1-3ug/million cells
ELISA : 0.1-0.5ug/ml
Limitations This CARD10 antibody is available for research use only.
Review this product on BioCompare and get a $20 Amazon gift card

Description

CARD10 antibody detects Caspase recruitment domain-containing protein 10, a cytoplasmic scaffold protein encoded by the CARD10 gene on chromosome 22q13.1. CARD10 is part of the membrane-associated guanylate kinase (MAGUK) family and functions as an adaptor linking G protein-coupled receptor (GPCR) and receptor tyrosine kinase signaling to NF-kappaB activation. It is expressed in epithelial cells, endothelial cells, and some immune tissues, where it mediates signal transduction leading to cell survival, cytokine production, and inflammation.

CARD10 operates as a component of the CARD10-BCL10-MALT1 (CBM) signaling complex. Upon activation of upstream receptors such as GPCRs or EGFR, CARD10 recruits BCL10 and MALT1, initiating downstream IKK complex activation and NF-kappaB signaling. This pathway leads to transcription of genes involved in immune response, cell adhesion, and proliferation. Co-localization studies show CARD10 forming punctate cytoplasmic complexes at the plasma membrane following receptor stimulation.

Structurally, CARD10 contains an N-terminal CARD domain that mediates homotypic interactions with other CARD-containing proteins, a coiled-coil domain for oligomerization, and a C-terminal MAGUK-like domain that anchors it to membranes. It belongs to the CARMA protein subfamily, which also includes CARD11 (CARMA1) and CARD14 (CARMA2), each mediating tissue-specific NF-kappaB activation. Known interaction partners include BCL10, MALT1, and IKKgamma, forming the CBM signalosome responsible for transcriptional activation of inflammatory genes.

Functionally, CARD10 plays a central role in signal transduction from GPCRs to NF-kappaB and JNK pathways. It regulates cytokine production, apoptosis resistance, and epithelial barrier integrity. In epithelial cells, CARD10-mediated signaling contributes to immune surveillance and tissue remodeling, while in vascular endothelial cells, it supports cytokine-induced adhesion molecule expression. CARD10 also regulates responses to hormones, growth factors, and stress stimuli through activation of MAPK and PI3K pathways.

Dysregulation of CARD10 signaling contributes to cancer, chronic inflammation, and cardiovascular diseases. Overexpression enhances NF-kappaB-dependent transcription, promoting tumor growth and resistance to apoptosis. Mutations or altered expression of CARD10 have been reported in colorectal, breast, and renal cancers. Pathway associations include NF-kappaB signaling, GPCR signaling, and innate immune regulation. Developmentally, CARD10 expression is detected in epithelial progenitors and contributes to tissue differentiation.

The CARD10 antibody from NSJ Bioreagents is a powerful reagent for research on signal transduction, NF-kappaB activation, and inflammation-related diseases.

Application Notes

Optimal dilution of the CARD10 antibody should be determined by the researcher.

Immunogen

E.coli-derived human CARD10 recombinant protein (Position: E63-R1014) was used as the immunogen for the CARD10 antibody.

Storage

After reconstitution, the CARD10 antibody can be stored for up to one month at 4oC. For long-term, aliquot and store at -20oC. Avoid repeated freezing and thawing.

Cross
Bulk Quote Request Form
Name*:
Organization*:
Email*:
Phone Number*:
Catalog No.*:
Comments and Specifics(amount, formulation, etc.)*:
Validation code: Captchapackage Image


Can't read the image? click here to refresh.
    *required field

Your bulk quote request has been submitted successfully!

Please contact us if you have any questions.