• Tel: 858.663.9055
  • SeparatorEmail: info@nsjbio.com
  • Tel: 858.663.9055
  • Email: info@nsjbio.com
Home >> Antibodies >> Carbonic Anhydrase 3 Antibody / CA3

Carbonic Anhydrase 3 Antibody / CA3 [clone CA3/7884] (V5251)

  Catalog No Formulation Size Price (USD)  
Image V5251-100UG 0.2 mg/ml in 1X PBS with 0.1 mg/ml BSA (US sourced), 0.05% sodium azide 100 ug 559
Image
V5251-20UG 0.2 mg/ml in 1X PBS with 0.1 mg/ml BSA (US sourced), 0.05% sodium azide 20 ug 259
Image
V5251SAF-100UG 1 mg/ml in 1X PBS; BSA free, sodium azide free 100 ug 559
Bulk quote request
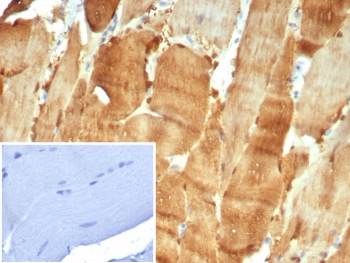
IHC staining of FFPE human skeletal muscle tissue with Carbonic Anhydrase 3 antibody (clone CA3/7884). Inset: PBS used in place of primary Ab (secondary Ab negative control). HIER: boil tissue sections in pH 9 10mM Tris with 1mM EDTA for 20 min and allow to cool before testing.
SDS-PAGE analysis of purified, BSA-free Carbonic Anhydrase 3 antibody (clone CA3/7884) as confirmation of integrity and purity.
Availability 1-3 business days
Species Reactivity Human
Format Purified
Host Mouse
Clonality Monoclonal (mouse origin)
Isotype Mouse IgG2, kappa
Clone Name CA3/7884
Purity Protein A/G affinity
UniProt P07451
Localization Cytoplasm
Applications Immunohistochemistry (FFPE) : 1-2ug/ml for 30 min at RT
Limitations This Carbonic Anhydrase 3 antibody is available for research use only.
Review this product on BioCompare and get a $20 Amazon gift card

Related Products

Description

Carbonic anhydrases (CAs) are members of a large family of zinc metalloenzymes that catalyze the reversible hydration of carbon dioxide. CAs are involved in a variety of biological processes, including respiration, calcification, acid-base balance, bone resorption, and the formation of aqueous humor, cerebrospinal fluid, saliva, and gastric juice. They show extensive diversity in distribution and in their subcellular localization. CA III (carbonic anhydrase III), also known as Car3 or CA3, is a 260 amino acid cytoplasmic protein that is specifically expressed in muscle. Belonging to the a-carbonic anhydrase family, CA III is activated by proton donors such as imidazole and dipeptide histidylhistidine, and is inhibited by coumarins and sulfonamide derivatives such as acetazolamide.

Application Notes

Optimal dilution of the Carbonic Anhydrase 3 antibody should be determined by the researcher.

Immunogen

A recombinant fragment of human CA3 protein was used as the immunogen for the Carbonic Anhydrase 3 antibody.

Storage

Aliquot the Carbonic Anhydrase 3 antibody and store frozen at -20oC or colder. Avoid repeated freeze-thaw cycles.

Cross
Bulk Quote Request Form
Name*:
Organization*:
Email*:
Phone Number*:
Catalog No.*:
Comments and Specifics(amount, formulation, etc.)*:
Validation code: Captchapackage Image


Can't read the image? click here to refresh.
    *required field

Your bulk quote request has been submitted successfully!

Please contact us if you have any questions.