• Tel: 858.663.9055
  • SeparatorEmail: info@nsjbio.com
  • Tel: 858.663.9055
  • Email: info@nsjbio.com
Home >> Antibodies >> Calretinin Antibody / 29 kDa Calbindin / CALB2

Calretinin Antibody / 29 kDa Calbindin / CALB2 (R30185)

  Catalog No Formulation Size Price (USD)  
Image R30185 0.5mg/ml if reconstituted with 0.2ml sterile DI water 100 ug 449
Bulk quote request
Immunofluorescent staining of FFPE mouse brain tissue with Calretinin antibody (red) and DAPI nuclear stain (blue). HIER: steam section in pH6 citrate buffer for 20 min.
IHC staining of FFPE mouse brain tissue with Calretinin antibody. HIER: boil tissue sections in pH8 EDTA for 20 min and allow to cool before testing.
IHC staining of FFPE rat brain tissue with Calretinin antibody. HIER: boil tissue sections in pH8 EDTA for 20 min and allow to cool before testing.
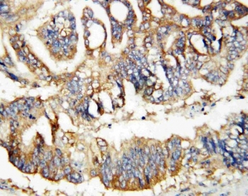
IHC-P: Calretinin antibody testing of human rectal cancer tissue. HIER: steamed with pH6 citrate buffer.
Western blot testing of Calretinin antibody and HeLa cell lysate. Expected molecular weight: ~29 kDa.
Availability 1-3 business days
Species Reactivity Human, Mouse, Rat
Format Antigen affinity purified
Host Rabbit
Clonality Polyclonal (rabbit origin)
Isotype Rabbit IgG
Purity Antigen affinity
Buffer Lyophilized from 1X PBS with 2.5% BSA and 0.025% sodium azide
UniProt P22676
Gene ID 794
Localization Nuclear, cytoplasmic
Applications Western Blot : 0.5-1ug/ml
Immunohistochemistry (FFPE) : 0.5-1ug/ml
Immunofluorescence : 5ug/ml
Limitations This Calretinin antibody is available for research use only.
Review this product on BioCompare and get a $20 Amazon gift card

Related Products

Description

Calbindin (CALB1) is a calcium-binding protein belonging to the troponin C superfamily. Calretinin (CALB2) is expressed in central and peripheral nervous system and in many normal and pathological tissues. The rat and human calretinin exhibit 98% sequence homology and 91% homology to many other species. Two calcium binding proteins, calbindin and calretinin, have been reported to be expressed in abundance in Purkinje cells and other cell types in the cerebellum.

Application Notes

The stated application concentrations are suggested starting amounts. Titration of the Calretinin antibody may be required due to differences in protocols and secondary/substrate sensitivity.

Immunogen

An amino acid sequence from the N-terminus of human Calretinin (PQQQPPYLHLAELTA) was used as the immunogen for this Calretinin antibody.

Storage

Store the Calretinin antibody at -20oC.

Cross
Bulk Quote Request Form
Name*:
Organization*:
Email*:
Phone Number*:
Catalog No.*:
Comments and Specifics(amount, formulation, etc.)*:
Validation code: Captchapackage Image


Can't read the image? click here to refresh.
    *required field

Your bulk quote request has been submitted successfully!

Please contact us if you have any questions.