• Tel: 858.663.9055
  • SeparatorEmail: info@nsjbio.com
  • Tel: 858.663.9055
  • Email: info@nsjbio.com
Home >> Antibodies >> CALR Antibody / Calreticulin

CALR Antibody / Calreticulin (RQ8718)

  Catalog No Formulation Size Price (USD)  
Image RQ8718 0.5mg/ml if reconstituted with 0.2ml sterile DI water 100 ug 449
Bulk quote request
Western blot testing of 1) rat brain, 2) rat skeletal muscle, 3) rat liver, 4) rat C6, 5) mouse brain, 6) mouse skeletal muscle, 7) mouse liver and 8) mouse NIH 3T3 cell lysate with CALR antibody. Predicted molecular weight ~48 kDa but routinely observed at 55~60 kDa.
Western blot testing of human 1) COLO-320, 2) HL60, 3) HeLa, 4) MCF7, 5) SH-SY5Y, 6) ThP-1, 7) U-251 and 8) PC-3 cell lysate with CALR antibody. Predicted molecular weight ~48 kDa but routinely observed at 55~60 kDa.
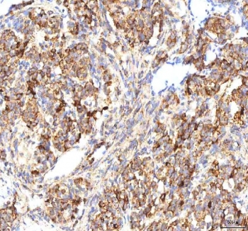
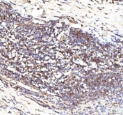
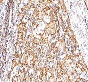
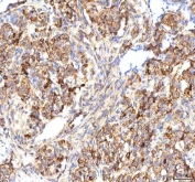
IHC staining of FFPE human liver cancer tissue with CALR antibody. HIER: boil tissue sections in pH8 EDTA for 20 min and allow to cool before testing.
IHC staining of FFPE human testicular seminoma tissue with CALR antibody. HIER: boil tissue sections in pH8 EDTA for 20 min and allow to cool before testing.
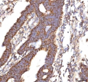
IHC staining of FFPE human colon adenocarcinoma tissue with CALR antibody. HIER: boil tissue sections in pH8 EDTA for 20 min and allow to cool before testing.
IHC staining of FFPE human glioblastoma tissue with CALR antibody. HIER: boil tissue sections in pH8 EDTA for 20 min and allow to cool before testing.
IHC staining of FFPE human lung cancer tissue with CALR antibody. HIER: boil tissue sections in pH8 EDTA for 20 min and allow to cool before testing.
IHC staining of FFPE human pancreas ductal adenocarcinoma tissue with CALR antibody. HIER: boil tissue sections in pH8 EDTA for 20 min and allow to cool before testing.
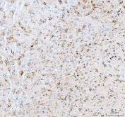
IHC staining of FFPE human urothelial carcinoma tissue with CALR antibody. HIER: boil tissue sections in pH8 EDTA for 20 min and allow to cool before testing.
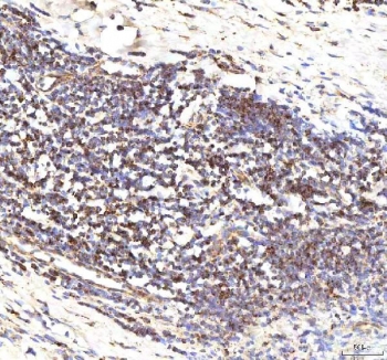
IHC staining of FFPE human tonsil tissue with CALR antibody. HIER: boil tissue sections in pH8 EDTA for 20 min and allow to cool before testing.
IHC staining of FFPE mouse brain tissue with CALR antibody. HIER: boil tissue sections in pH8 EDTA for 20 min and allow to cool before testing.
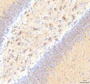
IHC staining of FFPE rat brain tissue with CALR antibody. HIER: boil tissue sections in pH8 EDTA for 20 min and allow to cool before testing.
IHC staining of FFPE rat brain tissue with CALR antibody. HIER: boil tissue sections in pH8 EDTA for 20 min and allow to cool before testing.
Flow cytometry testing of fixed and permeabilized human PC-3 cells with CALR antibody at 1ug/million cells (blocked with goat sera); Red=cells alone, Green=isotype control, Blue= CALR antibody.
Flow cytometry testing of fixed and permeabilized rat C6 cells with CALR antibody at 1ug/million cells (blocked with goat sera); Red=cells alone, Green=isotype control, Blue= CALR antibody.
Availability 1-3 days
Species Reactivity Human, Mouse, Rat
Format Antigen affinity purified
Host Rabbit
Clonality Polyclonal (rabbit origin)
Isotype Rabbit IgG
Purity Antigen affinity chromatography
Buffer Lyophilized from 1X PBS with 2% Trehalose
UniProt P27797
Localization Cytoplasm, cell membrane
Applications Western Blot : 1-2ug/ml
Immunohistochemistry (FFPE) : 2-5ug/ml
Flow Cytometry : 1-3ug/million cells
ELISA : 0.1-0.5ug/ml
Limitations This CALR antibody is available for research use only.
Review this product on BioCompare and get a $20 Amazon gift card

Related Products

  • Applications : WB, ELISA (peptide)
    Reactivity : Human
    Pred. Reactivity : Cow, Dog, Mouse, Pig, Rat
  • Applications : WB, IHC-P, FACS, Direct ELISA
    Reactivity : Human, Mouse, Rat
  • Applications : WB, IHC-P, FACS
    Reactivity : Human, Rat
  • Applications : WB, FACS, IHC-P
    Reactivity : Human, Rat

Description

Calreticulin, also known as calregulin, CRP55, CaBP3, calsequestrin-like protein, and endoplasmic reticulum resident protein 60 (ERp60) is a protein that in humans is encoded by the CALR gene. It is mapped to 19p13.13. Calreticulin is a multifunctional protein that acts as a major Ca(2+)-binding (storage) protein in the lumen of the endoplasmic reticulum. It is also found in the nucleus, suggesting that it may have a role in transcription regulation. Calreticulin binds to the synthetic peptide KLGFFKR, which is almost identical to an amino acid sequence in the DNA-binding domain of the superfamily of nuclear receptors. Calreticulin binds to antibodies in certain sera of systemic lupus and Sjogren patients which contain anti-Ro/SSA antibodies, it is highly conserved among species, and it is located in the endoplasmic and sarcoplasmic reticulum where it may bind calcium. The amino terminus of calreticulin interacts with the DNA-binding domain of the glucocorticoid receptor and prevents the receptor from binding to its specific glucocorticoid response element. Calreticulin can inhibit the binding of androgen receptor to its hormone-responsive DNA element and can inhibit androgen receptor and retinoic acid receptor transcriptional activities in vivo, as well as retinoic acid-induced neuronal differentiation. Thus, calreticulin can act as an important modulator of the regulation of gene transcription by nuclear hormone receptors. Systemic lupus erythematosus is associated with increased autoantibody titers against calreticulin but calreticulin is not a Ro/SS-A antigen. Earlier papers referred to calreticulin as an Ro/SS-A antigen but this was later disproven. Increased autoantibody titer against human calreticulin is found in infants with complete congenital heart block of both the IgG and IgM classes.

Application Notes

Optimal dilution of the CALR antibody should be determined by the researcher.

Immunogen

An E.coli-derived human recombinant protein (amino acids T333-Q365) was used as the immunogen for the CALR antibody.

Storage

After reconstitution, the CALR antibody can be stored for up to one month at 4oC. For long-term, aliquot and store at -20oC. Avoid repeated freezing and thawing.

Cross
Bulk Quote Request Form
Name*:
Organization*:
Email*:
Phone Number*:
Catalog No.*:
Comments and Specifics(amount, formulation, etc.)*:
Validation code: Captchapackage Image


Can't read the image? click here to refresh.
    *required field

Your bulk quote request has been submitted successfully!

Please contact us if you have any questions.