• Tel: 858.663.9055
  • SeparatorEmail: info@nsjbio.com
  • Tel: 858.663.9055
  • Email: info@nsjbio.com
Home >> Antibodies >> Calponin 1 Antibody Recombinant Rabbit MAb / CNN1

Calponin 1 Antibody Recombinant Rabbit MAb / CNN1 [clone CNN1/8870R] (V4589)

  Catalog No Formulation Size Price (USD)  
Image V4589-100UG 0.2 mg/ml in 1X PBS with 0.1 mg/ml BSA (US sourced), 0.05% sodium azide 100 ug 559
Image
V4589-20UG 0.2 mg/ml in 1X PBS with 0.1 mg/ml BSA (US sourced), 0.05% sodium azide 20 ug 259
Image
V4589SAF-100UG 1 mg/ml in 1X PBS; BSA free, sodium azide free 100 ug 559
Microvalidated Recrabbitmono
Bulk quote request
Western blot analysis of Calponin 1 Antibody Recombinant Rabbit MAb in human colon tissue. Lysate from human colon was probed with CNN1/8870R recombinant rabbit monoclonal, demonstrating a prominent band at approximately 34 kDa, consistent with the predicted molecular weight of CNN1. The observed band corresponds to Calponin 1 expressed in smooth muscle cells of the colonic muscularis layer.
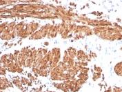
Calponin 1 Antibody Smooth Muscle IHC. Immunohistochemistry of Calponin 1 Antibody Recombinant Rabbit MAb in human smooth muscle. Formalin-fixed, paraffin-embedded human smooth muscle tissue stained with Calponin antibody (clone CNN1/8870R) demonstrates strong cytoplasmic staining of smooth muscle fibers, consistent with CNN1 expression in contractile smooth muscle cells. Heat-induced epitope retrieval was performed by boiling tissue sections in pH 9 10mM Tris with 1mM EDTA for 20 minutes followed by cooling prior to testing.
SDS-PAGE analysis of purified, BSA-free Calponin 1 antibody (clone CNN1/8870R) as confirmation of integrity and purity.
Calponin 1 Antibody Multi-Species Intestine and Lung WB. Western blot analysis of human intestine lysate, mouse intestine lysate, rat intestine lysate, hamster intestine lysate, guinea pig intestine lysate, rabbit intestine lysate, human lung lysate, mouse lung lysate, rat lung lysate, hamster lung lysate, guinea pig lung lysate, and rabbit lung lysate using Calponin 1 antibody. The recombinant rabbit monoclonal antibody clone CNN1/8870R detects a band at approximately 34 kDa, consistent with the predicted molecular weight of Calponin 1 / CNN1. Signal is observed across intestine and lung samples from multiple species, reflecting expression of this smooth muscle-associated contractile protein in tissues containing smooth muscle components.
Calponin 1 Antibody Human Intestine and Lung WB. Western blot analysis of human intestine lysate and human lung lysate using Calponin 1 antibody. The recombinant rabbit monoclonal antibody clone CNN1/8870R detects a band at approximately 34 kDa, consistent with the predicted molecular weight of Calponin 1 / CNN1. Signal in both tissues reflects the presence of smooth muscle components, supporting its role as a contractile protein marker in gastrointestinal and pulmonary structures.
Availability 1-3 business days
Species Reactivity Human
Format Purified
Host Rabbit
Clonality Recombinant Rabbit Monoclonal
Isotype Rabbit IgG, kappa
Clone Name CNN1/8870R
Purity Protein A/G affinity
UniProt P51911
Localization Cytoplasm
Applications Immunohistochemistry (FFPE) : 1-2ug/ml for 30 min at RT
Western Blot : 2-4ug/ml
Limitations This Calponin 1 antibody is available for research use only.
Review this product on BioCompare and get a $20 Amazon gift card

Related Products

Description

Calponin 1 antibody recognizes Calponin 1, an actin-binding protein encoded by the CNN1 gene and a widely used marker of smooth muscle differentiation. Calponin 1 Antibody Recombinant Rabbit MAb (clone CNN1/8870R) is engineered through recombinant expression to promote consistent performance in research applications. Calponin 1 localizes predominantly to the cytoplasm of smooth muscle cells, where it associates with actin filaments and regulates contractile function and cytoskeletal stability.

Calponin 1 antibody, also referred to as CNN1 antibody and basic calponin antibody in the literature, targets a member of the calponin family of actin-binding proteins. Calponin 1 contains calponin homology domains and actin-binding regions that facilitate interaction with actin, tropomyosin, and other contractile proteins. Through these interactions, Calponin 1 modulates actomyosin ATPase activity and supports maintenance of the contractile phenotype in differentiated smooth muscle cells.

CNN1 expression is characteristic of vascular smooth muscle, gastrointestinal smooth muscle, uterine myometrium, and myoepithelial cells of glandular tissues such as breast and salivary gland. The expected immunostaining pattern is cytoplasmic positivity in smooth muscle layers and myoepithelial cell populations. Because of this lineage-restricted distribution, Calponin 1 serves as a reliable research marker for identifying smooth muscle and myoepithelial differentiation in normal tissues.

In tumor biology research, Calponin 1 expression is frequently evaluated in studies of leiomyoma, leiomyosarcoma, myoepithelial tumors, and other mesenchymal neoplasms. Cytoplasmic staining supports smooth muscle or myoepithelial lineage, whereas most non-mesenchymal epithelial malignancies demonstrate limited or absent expression. Calponin 1 Antibody Recombinant Rabbit MAb (clone CNN1/8870R) enables consistent detection of Calponin 1 expression patterns in normal and neoplastic tissues for research use at NSJ Bioreagents.

This Calponin 1 antibody complements a related Calponin 1 antibody targeting CNN1 and smooth muscle-associated contractile protein biology.

Application Notes

Optimal dilution of the Calponin 1 antibody recombinant rabbit mAb should be determined by the researcher.

Immunogen

A recombinant fragment corresponding to the human protein was used as the immunogen for the Calponin 1 antibody recombinant rabbit mAb.

Storage

Aliquot the Calponin 1 antibody and store frozen at -20oC or colder. Avoid repeated freeze-thaw cycles.

Cross
Bulk Quote Request Form
Name*:
Organization*:
Email*:
Phone Number*:
Catalog No.*:
Comments and Specifics(amount, formulation, etc.)*:
Validation code: Captchapackage Image


Can't read the image? click here to refresh.
    *required field

Your bulk quote request has been submitted successfully!

Please contact us if you have any questions.