• Tel: 858.663.9055
  • SeparatorEmail: info@nsjbio.com
  • Tel: 858.663.9055
  • Email: info@nsjbio.com
Home >> Antibodies >> Calgranulin B Antibody

Calgranulin B Antibody [clone S100A9/7548] (V4715)

  Catalog No Formulation Size Price (USD)  
Image V4715-100UG 0.2 mg/ml in 1X PBS with 0.1 mg/ml BSA (US sourced), 0.05% sodium azide 100 ug 559
Image
V4715-20UG 0.2 mg/ml in 1X PBS with 0.1 mg/ml BSA (US sourced), 0.05% sodium azide 20 ug 259
Image
V4715SAF-100UG 1 mg/ml in 1X PBS; BSA free, sodium azide free 100 ug 559
Bulk quote request
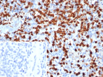
IHC staining of FFPE human spleen tissue with Calprotectin antibody (clone S100A9/7548). Inset: PBS used in place of primary Ab (secondary Ab negative control). HIER: boil tissue sections in pH 9 10mM Tris with 1mM EDTA for 20 min and allow to cool before testing.
SDS-PAGE analysis of purified, BSA-free Calprotectin antibody (clone S100A9/7548) as confirmation of integrity and purity.
Availability 1-3 business days
Species Reactivity Human
Format Purified
Host Mouse
Clonality Monoclonal (mouse origin)
Isotype Mouse IgG3, kappa
Clone Name S100A9/7548
Purity Protein A/G affinity
UniProt P06702
Localization Cytoplasm, Extracellular (secreted), Cell Surface
Applications Immunohistochemistry (FFPE) : 1-2ug/ml for 30 min at RT
Limitations This Calgranulin B antibody is available for research use only.
Review this product on BioCompare and get a $20 Amazon gift card

Related Products

Description

This mAb stains the cytoplasm of macrophages and histiocytes in hematopoietic organs, Kupffer s cells of the liver and Langerhan s cells of the skin. It also stains the mantle zone B-lymphocytes of the lymph node and spleen, spermatogonia, and chief cells of the stomach. S100A9 is expressed by macrophages in acutely inflamed tissues and in chronic inflammation. It is detected in peripheral blood leukocytes, in neutrophils and granulocytes. It is present at sites of vascular inflammation. S100A9 is also expressed in epithelial cells constitutively or induced during dermatoses. S100A9 is a Calcium-binding protein. It has antimicrobial activity towards bacteria and fungi. It is important for resistance to invasion by pathogenic bacteria. It up-regulates transcription of genes that are under the control of NF-kappa-B. S100A9 plays a role in the development of endotoxic shock in response to bacterial lipopolysaccharide (LPS). It promotes tubulin polymerization when unphosphorylated. It also promotes phagocyte migration and infiltration of granulocytes at sites of wounding. It plays a role as a pro-inflammatory mediator in acute and chronic inflammation and up-regulates the release of IL8 and cell-surface expression of ICAM1.

Application Notes

Optimal dilution of the Calgranulin B antibody should be determined by the researcher.

Immunogen

A recombinant partial protein sequence (within amino acids 1-100) from the human protein was used as the immunogen for the Calgranulin B antibody.

Storage

Aliquot the Calgranulin B antibody and store frozen at -20oC or colder. Avoid repeated freeze-thaw cycles.

Cross
Bulk Quote Request Form
Name*:
Organization*:
Email*:
Phone Number*:
Catalog No.*:
Comments and Specifics(amount, formulation, etc.)*:
Validation code: Captchapackage Image


Can't read the image? click here to refresh.
    *required field

Your bulk quote request has been submitted successfully!

Please contact us if you have any questions.