• Tel: 858.663.9055
  • SeparatorEmail: info@nsjbio.com
  • Tel: 858.663.9055
  • Email: info@nsjbio.com
Home >> Antibodies >> Caldesmon Antibody for IF / CALD1 Immunofluorescence Antibody

Caldesmon Antibody for IF / CALD1 Immunofluorescence Antibody (R32405)

  Catalog No Formulation Size Price (USD)  
Image R32405 0.5mg/ml if reconstituted with 0.2ml sterile DI water 100 ug 449
Bulk quote request
Caldesmon Antibody for IF / CALD1 Immunofluorescence Antibody. Immunofluorescence analysis of Caldesmon (CALD1) in human SiHa cells. FFPE human SiHa cells stained with Caldesmon Antibody for IF / CALD1 Immunofluorescence Antibody show strong green cytoplasmic fluorescence with a filamentous, fiber-like staining pattern consistent with actin-associated cytoskeletal organization. The fluorescence signal highlights elongated cellular morphology and cytoplasmic filament networks surrounding the nuclei. Nuclei are counterstained with DAPI (blue). Heat-induced epitope retrieval was performed using pH6 citrate buffer.
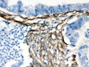
IHC testing of FFPE human intestine with Caldesmon antibody. HIER: Boil the paraffin sections in pH8 EDTA buffer for 20 minutes and allow to cool prior to testing.
IHC testing of FFPE mouse intestine with Caldesmon antibody. HIER: Boil the paraffin sections in pH8 EDTA buffer for 20 minutes and allow to cool prior to testing.
IHC testing of FFPE rat intestine with Caldesmon antibody. HIER: Boil the paraffin sections in pH8 EDTA buffer for 20 minutes and allow to cool prior to testing.
Western blot testing of 1) human U-2 OS, 2) human A549, 3) human HepG2, 4) human HeLa, 5) human Caco-2 and 6) mouse NIH 3T3 cell lysate with Caldesmon antibody. Predicted molecular weight ~93 kDa, can be observed at 70-80 kDa (non muscle tissue) and 120-150 kDa (smooth muscle).
Flow cytometry testing of human U-87 MG cells with Caldesmon antibody at 1ug/million cells (blocked with goat sera); Red=cells alone, Green=isotype control, Blue= Caldesmon antibody.
Availability 1-3 business days
Species Reactivity Human, Mouse, Rat
Format Antigen affinity purified
Host Rabbit
Clonality Polyclonal (rabbit origin)
Isotype Rabbit IgG
Purity Antigen affinity
Buffer Lyophilized from 1X PBS with 2.5% BSA and 0.025% sodium azide
UniProt Q05682
Localization Cytoplasmic
Applications Western Blot : 0.5-1ug/ml
Immunohistochemistry (FFPE) : 1-2ug/ml
Immunofluorescence : 5ug/ml
Flow Cytometry : 1-3ug/million cells
Limitations This Caldesmon antibody is available for research use only.
Review this product on BioCompare and get a $20 Amazon gift card

Related Products

Description

Caldesmon (CALD1) is an actin- and myosin-binding regulatory protein that plays a central role in cytoskeletal organization and smooth muscle contractility. Caldesmon Antibody for IF / CALD1 Immunofluorescence Antibody is specifically designed for immunofluorescence-based detection of CALD1, enabling high-resolution visualization of cytoplasmic filament networks and actin-associated structures within intact cells.

Caldesmon Antibody for IF / CALD1 Immunofluorescence Antibody produces a characteristic filamentous fluorescence staining pattern that closely follows actin stress fibers and contractile filaments. In immunofluorescence analysis, caldesmon antibody, also referred to as CALD1 antibody or h-caldesmon antibody, reveals elongated, fiber-like cytoplasmic structures that span the cell body and reflect the organization of the actin cytoskeleton. This distinct fluorescence signal enables clear visualization of cytoskeletal architecture and supports detailed analysis of cell morphology.

This rabbit polyclonal caldesmon antibody is uniquely positioned for immunofluorescence applications that require precise spatial resolution of cytoskeletal components. The fluorescence signal typically appears as bundled or parallel filament networks, often aligned along the longitudinal axis of the cell, consistent with actin filament organization. In cultured cells and contractile cell types, immunofluorescence staining highlights dynamic cytoskeletal arrangements and can be used to assess changes in filament organization under different experimental conditions.

Caldesmon Antibody for IF / CALD1 Immunofluorescence Antibody is particularly valuable for co-localization studies with actin, myosin, or other cytoskeletal markers, where its filament-associated fluorescence pattern complements labeling of additional structural proteins. This enables multi-channel immunofluorescence analysis of cytoskeletal organization and provides insight into how CALD1 integrates into actin-myosin regulatory networks. The clear cytoplasmic fluorescence distribution and low non-specific signal support accurate interpretation in fluorescence microscopy workflows.

At the molecular level, CALD1 associates with actin filaments and modulates interactions with myosin, contributing to both contractile function in smooth muscle cells and cytoskeletal remodeling in non-muscle cells. Immunofluorescence detection using Caldesmon Antibody for IF enables direct visualization of these structural roles within intact cellular systems. Its strong, filament-specific fluorescence pattern and alignment with known CALD1 cytoskeletal biology make it a reliable tool for studying actin dynamics, cell structure, and contractile function.

Application Notes

Optimal dilution of the Caldesmon Antibody for IF / CALD1 Immunofluorescence Antibody should be determined by the researcher.

Immunogen

Amino acids M1-E120 of the human protein were used as the immunogen for the Caldesmon Antibody for IF / CALD1 Immunofluorescence Antibody.

Storage

After reconstitution, the Caldesmon antibody can be stored for up to one month at 4oC. For long-term, aliquot and store at -20oC. Avoid repeated freezing and thawing.

Alternate Names

Caldesmon IF antibody, CALD1 immunofluorescence antibody, Caldesmon fluorescence antibody, CALD1 IF antibody, h-Caldesmon IF antibody, Caldesmon cytoskeletal staining antibody

Cross
Bulk Quote Request Form
Name*:
Organization*:
Email*:
Phone Number*:
Catalog No.*:
Comments and Specifics(amount, formulation, etc.)*:
Validation code: Captchapackage Image


Can't read the image? click here to refresh.
    *required field

Your bulk quote request has been submitted successfully!

Please contact us if you have any questions.