• Tel: 858.663.9055
  • SeparatorEmail: info@nsjbio.com
  • Tel: 858.663.9055
  • Email: info@nsjbio.com
Home >> Antibodies >> CALCOCO2 Antibody / NDP52 / Nuclear dot protein 52

CALCOCO2 Antibody / NDP52 / Nuclear dot protein 52 (RQ5870)

  Catalog No Formulation Size Price (USD)  
Image RQ5870 0.5mg/ml if reconstituted with 0.2ml sterile DI water 100 ug 449
Bulk quote request
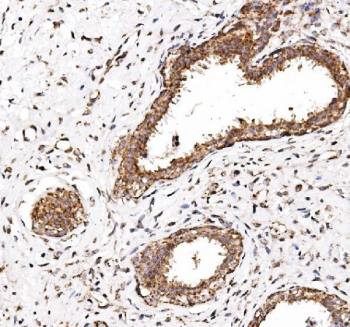
IHC staining of FFPE human breast cancer with CALCOCO2 antibody. HIER: boil tissue sections in pH8 EDTA for 20 min and allow to cool before testing.
IHC staining of FFPE human lung cancer with CALCOCO2 antibody. HIER: boil tissue sections in pH8 EDTA for 20 min and allow to cool before testing.
Immunofluorescent staining of FFPE human HeLa cells with CALCOCO2 antibody (red) and DAPI nuclear stain (blue). HIER: steam section in pH6 citrate buffer for 20 min.
Western blot testing of human 1) A549, 2) SW620 and 3) U-2 OS lysate with CALCOCO2 antibody. Predicted molecular weight ~52 kDa.
Flow cytometry testing of human PC-3 cells with CALCOCO2 antibody at 1ug/million cells (blocked with goat sera); Red=cells alone, Green=isotype control, Blue= CALCOCO2 antibody.
Availability 1-3 business days
Species Reactivity Human
Format Antigen affinity purified
Host Rabbit
Clonality Polyclonal (rabbit origin)
Isotype Rabbit IgG
Purity Affinity purified
Buffer Lyophilized from 1X PBS with 2% Trehalose and 0.025% sodium azide
UniProt Q13137
Localization Cytoplasmic
Applications Western Blot : 0.5-1ug/ml
Immunohistochemistry : 1-2ug/ml
Immunofluorescence : 2-4ug/ml
Flow Cytometry : 1-3ug/million cells
Direct ELISA : 0.1-0.5ug/ml
Limitations This CALCOCO2 antibody is available for research use only.
Review this product on BioCompare and get a $20 Amazon gift card

Related Products

Description

This gene encodes a coiled-coil domain-containing protein. The encoded protein functions as a receptor for ubiquitin-coated bacteria and plays an important role in innate immunity by mediating macroautophagy. Alternatively spliced transcript variants encoding multiple isoforms have been observed for this gene.

Application Notes

Optimal dilution of the CALCOCO2 antibody should be determined by the researcher.

Immunogen

Recombinant human protein (amino acids M1-L446) was used as the immunogen for the CALCOCO2 antibody.

Storage

After reconstitution, the CALCOCO2 antibody can be stored for up to one month at 4oC. For long-term, aliquot and store at -20oC. Avoid repeated freezing and thawing.

Cross
Bulk Quote Request Form
Name*:
Organization*:
Email*:
Phone Number*:
Catalog No.*:
Comments and Specifics(amount, formulation, etc.)*:
Validation code: Captchapackage Image


Can't read the image? click here to refresh.
    *required field

Your bulk quote request has been submitted successfully!

Please contact us if you have any questions.