• Tel: 858.663.9055
  • SeparatorEmail: info@nsjbio.com
  • Tel: 858.663.9055
  • Email: info@nsjbio.com
Home >> Antibodies >> Calcium-Binding Protein PV Antibody / PVALB

Calcium-Binding Protein PV Antibody / PVALB [clone PVALB/12794R] (V5983)

  Catalog No Formulation Size Price (USD)  
Image V5983-100UG 0.2 mg/ml in 1X PBS with 0.05% BSA, 0.05% sodium azide 100 ug 559
Image
V5983-20UG 0.2 mg/ml in 1X PBS with 0.05% BSA, 0.05% sodium azide 20 ug 259
Image
V5983SAF-100UG 1 mg/ml in 1X PBS; BSA free, sodium azide free 100 ug 559
Microvalidated Recrabbitmono
Bulk quote request
Western blot analysis of Calcium-Binding Protein PV/PVALB antibody (clone PVALB/12794R) in brain tissue lysates from multiple species. Brain lysates from human, mouse, and rat show clear immunoreactive bands at approximately 12 kDa, consistent with the predicted molecular weight of Parvalbumin based on its amino acid sequence. No specific band is observed in hamster brain, guinea pig brain, or rabbit brain under the conditions tested. The detected bands migrate in the expected low molecular weight range for this small cytosolic EF-hand calcium-binding protein, supporting species-reactive detection of Parvalbumin in human, mouse, and rat brain tissue.
Analysis of Protein Array containing more than 19,000 full-length human proteins using Calcium-Binding Protein PV/PVALB antibody (clone PVALB/12794R). Z- and S- Score: The Z-score represents the strength of a signal that a monoclonal antibody (MAb) (in combination with a fluorescently-tagged anti-IgG secondary antibody) produces when binding to a particular protein on the HuProtTM array. Z-scores are described in units of standard deviations (SD's) above the mean value of all signals generated on that array. If targets on HuProtTM are arranged in descending order of the Z-score, the S-score is the difference (also in units of SD's) between the Z-score. S-score therefore represents the relative target specificity of a MAb to its intended target. A MAb is considered to specific to its intended target, if the MAb has an S-score of at least 2.5. For example, if a MAb binds to protein X with a Z-score of 43 and to protein Y with a Z-score of 14, then the S-score for the binding of that MAb to protein X is equal to 29.
Western blot analysis of Calcium-Binding Protein PV/PVALB antibody (clone PVALB/12794R) in human brain tissue lysate. A distinct immunoreactive band is observed at approximately 12 kDa, consistent with the predicted molecular weight of Parvalbumin based on its amino acid sequence. The band migrates in the expected low molecular weight range for this small cytosolic EF-hand calcium-binding protein. The signal intensity supports detection of Parvalbumin in human brain tissue under the conditions tested.
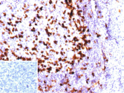
Immunohistochemistry analysis of Calcium-Binding Protein PV/PVALB antibody (clone PVALB/12794R) in human tonsil tissue. FFPE human tonsil demonstrates cytoplasmic HRP-DAB brown staining in scattered cells within the lymphoid tissue, consistent with Parvalbumin expression. Positive cells are distributed throughout the tissue and exhibit granular cytoplasmic staining, while surrounding lymphocytes show minimal to no specific signal. The inset represents a secondary antibody negative control in which PBS was used in place of the primary antibody and shows absence of specific staining. Heat induced epitope retrieval was performed by heating tissue sections in 10 mM Tris with 1 mM EDTA, pH 9.0, at 95oC for 45 minutes followed by cooling at room temperature for 20 minutes prior to immunostaining.
Species Reactivity Human
Format Purified
Host Rabbit
Clonality Recombinant Rabbit Monoclonal
Isotype Rabbit IgG, kappa
Clone Name PVALB/12794R
UniProt P20472
Localization Nucleus, Cytoplasm, Cell junctions
Applications Immunohistochemistry (FFPE) : 1-2ug/ml
Western Blot : 2-4ug/ml
Limitations This Calcium-Binding Protein PV/PVALB Antibody is available for research use only.
Review this product on BioCompare and get a $20 Amazon gift card

Related Products

Description

Calcium-Binding Protein PV antibody, also known as PVALB antibody, recognizes Parvalbumin, a small cytosolic EF-hand calcium-binding protein encoded by the human PVALB gene on chromosome 22q12.3. Commonly referred to as Parvalbumin or PV in the literature, this protein is predominantly localized in the cytoplasm and is highly expressed in fast-twitch skeletal muscle fibers and in specific subsets of inhibitory GABAergic interneurons within the cerebral cortex, hippocampus, and cerebellum. Calcium-Binding Protein PV antibody is widely used to identify fast-spiking interneurons that play a central role in regulating cortical excitability and network synchronization.

Parvalbumin functions as a high-affinity intracellular calcium buffer. Structurally, it contains three EF-hand motifs, two of which are functional calcium-binding domains that rapidly bind calcium following membrane depolarization. This buffering activity accelerates muscle relaxation in fast-contracting fibers and shapes the timing and precision of inhibitory synaptic transmission in neurons. In the developing brain, Parvalbumin expression increases during postnatal maturation of interneurons, coinciding with the refinement of inhibitory circuitry and establishment of gamma oscillations.

In skeletal muscle biology, Parvalbumin levels correlate with glycolytic fast-twitch fiber identity and metabolic specialization. In the central nervous system, Parvalbumin-positive interneurons often co-localize with synaptic proteins involved in vesicle docking and release, reflecting their specialization for rapid, high-frequency firing. Altered expression or dysfunction of Parvalbumin-expressing interneurons has been associated with neurological and psychiatric disorders including epilepsy, schizophrenia, and autism spectrum disorders, where disrupted inhibitory signaling contributes to abnormal cortical dynamics.

Calcium-Binding Protein PV antibody is suitable for detecting Parvalbumin expression in studies of neural circuitry, muscle physiology, and disease-related alterations in calcium homeostasis. Recombinant monoclonal clone PVALB/12794R is produced using defined expression systems to promote consistent performance and supply reliability. A PVALB antibody such as clone PVALB/12794R supports research focused on calcium-buffering proteins and fast-spiking neuronal populations.

Application Notes

1. Optimal dilution of the Calcium-Binding Protein PV/PVALB antibody should be determined by the researcher.

2. This Calcium-Binding Protein PV/PVALB antibody is recombinantly produced by expression in human HEK293 cells.

Immunogen

Recombinant full-length human PVALB protein was used as the immunogen for the Calcium-Binding Protein PV/PVALB antibody.

Storage

Calcium-Binding Protein PV/PVALB antibody with sodium azide - store at 2 to 8oC; antibody without sodium azide - store at -20 to -80oC.

Cross
Bulk Quote Request Form
Name*:
Organization*:
Email*:
Phone Number*:
Catalog No.*:
Comments and Specifics(amount, formulation, etc.)*:
Validation code: Captchapackage Image


Can't read the image? click here to refresh.
    *required field

Your bulk quote request has been submitted successfully!

Please contact us if you have any questions.