• Tel: 858.663.9055
  • SeparatorEmail: info@nsjbio.com
  • Tel: 858.663.9055
  • Email: info@nsjbio.com
Home >> Antibodies >> Calcineurin B Antibody / PPP3R1

Calcineurin B Antibody / PPP3R1 (RQ8142)

  Catalog No Formulation Size Price (USD)  
Image RQ8142 0.5mg/ml if reconstituted with 0.2ml sterile DI water 100 ug 449
Bulk quote request
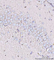
IHC staining of FFPE rat brain tissue with Calcineurin B antibody. HIER: boil tissue sections in pH8 EDTA for 20 min and allow to cool before testing.
IHC staining of FFPE mouse brain tissue with Calcineurin B antibody. HIER: boil tissue sections in pH8 EDTA for 20 min and allow to cool before testing.
Western blot testing of 1) human K562, 2) human HeLa, 3) human SH-SY5Y, 4) rat brain and 5) mouse brain tissue lysate with Calcineurin B antibody. Predicted molecular weight ~19 kDa.
Flow cytometry testing of fixed and permeabilized human Caco-2 cells with Calcineurin B antibody at 1ug/million cells (blocked with goat sera); Red=cells alone, Green=isotype control, Blue= Calcineurin B antibody.
Availability 1-3 business days
Species Reactivity Human, Mouse, Rat
Format Antigen affinity purified
Host Rabbit
Clonality Polyclonal (rabbit origin)
Isotype Rabbit IgG
Purity Antigen affinity purified
Buffer Lyophilized from 1X PBS with 2% Trehalose
UniProt P63098
Localization Cytoplasm
Applications Western Blot : 0.5-1ug/ml
Immunohistochemistry (FFPE) : 2-5ug/ml
Flow Cytometry : 1-3ug/million cells
Direct ELISA : 0.1-0.5ug/ml
Limitations This Calcineurin B antibody is available for research use only.
Review this product on BioCompare and get a $20 Amazon gift card

Related Products

Description

Calcineurin, the Ca(2+)/calmodulin-regulated protein phosphatase, first detected in skeletal muscle and brain, has been found in all cells from yeast to mammals. Calcineurin A alpha (PPP3CA),is located on human chromosomes 4, Chromosomal mapping of the human genes for the calmodulin-dependent protein phosphatase (calcineurin) catalytic subunit. Calcineurin regulates bone formation by the osteoblast.

Application Notes

Optimal dilution of the Calcineurin B antibody should be determined by the researcher.

Immunogen

E. coli-derived recombinant human protein (amino acids E48-V170) was used as the immunogen for the Calcineurin B antibody.

Storage

After reconstitution, the Calcineurin B antibody can be stored for up to one month at 4oC. For long-term, aliquot and store at -20oC. Avoid repeated freezing and thawing.

Cross
Bulk Quote Request Form
Name*:
Organization*:
Email*:
Phone Number*:
Catalog No.*:
Comments and Specifics(amount, formulation, etc.)*:
Validation code: Captchapackage Image


Can't read the image? click here to refresh.
    *required field

Your bulk quote request has been submitted successfully!

Please contact us if you have any questions.