• Tel: 858.663.9055
  • SeparatorEmail: info@nsjbio.com
  • Tel: 858.663.9055
  • Email: info@nsjbio.com
Home >> Antibodies >> Calbindin Antibody

Calbindin Antibody (RQ4541)

  Catalog No Formulation Size Price (USD)  
Image RQ4541 0.5mg/ml if reconstituted with 0.2ml sterile DI water 100 ug 449
Bulk quote request
IHC staining of FFPE mouse brain with Calbindin antibody at 1ug/ml. HIER: boil tissue sections in pH6, 10mM citrate buffer, for 10-20 min followed by cooling at RT for 20 min.
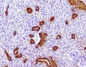
IHC staining of FFPE mouse kidney with Calbindin antibody at 1ug/ml. HIER: boil tissue sections in pH6, 10mM citrate buffer, for 10-20 min followed by cooling at RT for 20 min.
IHC staining of FFPE rat kidney with Calbindin antibody at 1ug/ml. HIER: boil tissue sections in pH6, 10mM citrate buffer, for 10-20 min followed by cooling at RT for 20 min.
Western blot testing of 1) rat brain, 2) rat kidney, 3) mouse brain and 4) mouse kidney lysate with Calbindin antibody at 0.5ug/ml. Predicted molecular weight: ~30 kDa, routinely observed at 27-28 kDa.
Flow cytometry testing of human A431 cells with Calbindin antibody at 1ug/million cells (blocked with goat sera); Red=cells alone, Green=isotype control, Blue= Calbindin antibody.
Immunofluorescent staining of FFPE rat cerebellum tissue with Calbindin antibody (green) and DAPI nuclear stain (blue). HIER: steam section in pH8 EDTA for 20 min.
Immunofluorescent staining of FFPE rat cerebellum tissue with Calbindin antibody. HIER: steam section in pH8 EDTA for 20 min.
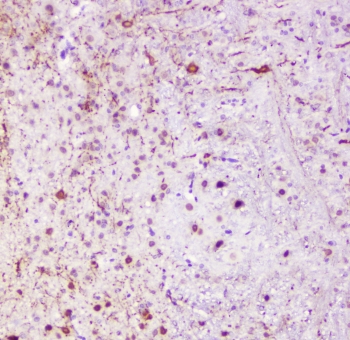
IHC staining of FFPE human cerebellum tissue with Calbindin antibody at 2ug/ml, HRP-secondary and DAB substrate. HIER: boil tissue sections in pH8 EDTA for 20 min and allow to cool before testing.
Availability 1-3 business days
Species Reactivity Human, Mouse, Rat
Format Antigen affinity purified
Host Rabbit
Clonality Polyclonal (rabbit origin)
Isotype Rabbit IgG
Purity Antigen affinity purified
Buffer Lyophilized from 1X PBS with 2% Trehalose and 0.025% sodium azide
UniProt P05937
Localization Cytoplasmic, nuclear
Applications Western Blot : 0.5-1ug/ml
IHC (FFPE) : 1-2ug/ml
Flow Cytometry : 1-3ug/million cells
Immunofluorescence : 5ug/ml
Direct ELISA : 0.1-0.5ug/ml (recombinant human protein)
Limitations This Calbindin antibody is available for research use only.
Review this product on BioCompare and get a $20 Amazon gift card

Related Products

Description

Calbindin antibody recognizes calbindin, a calcium binding protein that belongs to the EF hand protein family. Calbindin is encoded by the CALB1 gene and functions as an intracellular calcium buffer and sensor. It binds multiple calcium ions and helps regulate calcium signaling, neuronal excitability, and synaptic plasticity. Calbindin is widely expressed in the nervous system, particularly in hippocampal and cerebellar neurons, and is also found in kidney, intestine, and endocrine tissues.

Calbindin antibody is widely applied in neuroscience, developmental biology, and endocrinology research. In the brain, calbindin is used as a marker for specific neuronal subpopulations, including Purkinje cells and subsets of interneurons. Its expression is linked to neuronal resistance against excitotoxicity, making it valuable for studies of neuroprotection and neurodegenerative disease. By detecting calbindin, researchers can map neuronal circuitry and investigate how calcium regulation contributes to brain function.

The antibody is suitable for western blotting, immunohistochemistry, immunofluorescence, and ELISA. In western blot assays, calbindin antibody detects protein bands corresponding to its expected molecular weight, enabling quantitative assessment across samples. Immunohistochemistry reveals region specific distribution in the central nervous system, while immunofluorescence highlights subcellular localization within dendrites and axons. ELISA applications allow measurement of calbindin levels in tissue extracts and biological fluids.

Calbindin plays an essential role in buffering intracellular calcium fluctuations, thereby modulating enzyme activity, gene expression, and neuronal excitability. Dysregulation of calbindin expression has been associated with epilepsy, Alzheimer disease, Parkinson disease, and schizophrenia. In these contexts, altered calcium buffering capacity contributes to synaptic dysfunction and neurodegeneration. By applying calbindin antibody, scientists can explore how changes in calbindin expression relate to neurological disorders and therapeutic interventions.

In addition to the nervous system, calbindin is expressed in kidney and intestine where it supports calcium reabsorption and transport. It plays a role in vitamin D dependent calcium homeostasis, linking it to bone health and mineral metabolism. Detection of calbindin in these tissues provides insight into calcium absorption and systemic regulation. Calbindin antibody is therefore useful not only for neurobiology but also for studies of renal and skeletal physiology.

Calbindin has also been studied as a tumor marker. Abnormal expression patterns have been reported in certain cancers, including ovarian and breast carcinoma. Monitoring calbindin with specific antibodies may assist in understanding tumor progression and differentiation states. Beyond oncology, calbindin serves as a marker of cellular identity in both development and mature tissues, aiding in cell type classification and lineage tracing.

Calbindin antibody from NSJ Bioreagents offers researchers a reliable reagent for studying calcium binding proteins in the brain, endocrine system, and peripheral tissues. Its proven specificity across multiple techniques ensures accurate detection of calbindin in diverse experimental models, supporting both basic and translational research.

Application Notes

Optimal dilution of the Calbindin antibody should be determined by the researcher.

Immunogen

Amino acids A2-N261 from the human protein were used as the immunogen for the Calbindin antibody.

Storage

After reconstitution, the Calbindin antibody can be stored for up to one month at 4oC. For long-term, aliquot and store at -20oC. Avoid repeated freezing and thawing.

Cross
Bulk Quote Request Form
Name*:
Organization*:
Email*:
Phone Number*:
Catalog No.*:
Comments and Specifics(amount, formulation, etc.)*:
Validation code: Captchapackage Image


Can't read the image? click here to refresh.
    *required field

Your bulk quote request has been submitted successfully!

Please contact us if you have any questions.