• Tel: 858.663.9055
  • SeparatorEmail: info@nsjbio.com
  • Tel: 858.663.9055
  • Email: info@nsjbio.com
Home >> Antibodies >> Calbindin Antibody / CALB1

Calbindin Antibody / CALB1 [clone CB-955] (R30006)

  Catalog No Formulation Size Price (USD)  
Image R30006 0.5mg/ml with 1% BSA and 0.01% sodium azide if reconstituted with 0.2ml sterile 1X PBS 100 ug 449
Bulk quote request
Western blot testing of Calbindin antibody and Lane 1: rat brain; 2: rat brain; 3: rat kidney; 4: rat lung tissue lysate. Expected molecular weight: 27-28 kDa.
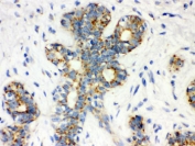
IHC testing of FFPE human breast cancer tissue with Calbindin antibody. HIER: Boil the paraffin sections in pH 6, 10mM citrate buffer for 20 minutes and allow to cool prior to testing.
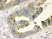
IHC testing of FFPE human intestinal cancer tissue with Calbindin antibody. HIER: Boil the paraffin sections in pH 6, 10mM citrate buffer for 20 minutes and allow to cool prior to testing.
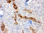
IHC testing of FFPE mouse kidney with Calbindin antibody. HIER: Boil the paraffin sections in pH 6, 10mM citrate buffer for 20 minutes and allow to cool prior to testing.
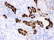
IHC testing of FFPE rat kidney with Calbindin antibody. HIER: Boil the paraffin sections in pH 6, 10mM citrate buffer for 20 minutes and allow to cool prior to testing.
Western blot testing of Calbindin antibody and Lane 1: rat brain; 2: rat brain; 3: mouse brain tissue lysate. Expected molecular weight: 27-28 kDa.
Immunofluorescent testing of FFPE mouse brain with Calbindin antibody (green) and DAPI (blue). HIER: Boil the paraffin sections in pH 6, 10mM citrate buffer for 20 minutes and allow to cool prior to testing.
Availability 1-3 business days
Species Reactivity Human, Mouse, Rat, Bovine
Format Ascites
Host Mouse
Clonality Monoclonal (mouse origin)
Isotype Mouse IgG1
Clone Name CB-955
Gene ID 793
Localization Cytoplasmic
Applications Western Blot : 0.5-1ug/ml
IHC (FFPE) : 1-2ug/ml
Immunofluorescence : 2-4ug/ml
Limitations This Calbindin antibody is available for research use only.
Review this product on BioCompare and get a $20 Amazon gift card

Related Products

Description

The human calbindin D28k (CALB1) is a calcium-binding protein belonging to the troponin C superfamily. It was originally described as a 27-kD protein induced by vitamin D in the duodenum of the chick. Parmentier et al.(1991) mapped the CALB1 gene to 8q21.3-q22.1 by in situ hybridization.

Application Notes

Titration of the Calbindin antibody may be required due to differences in protocols and secondary/substrate sensitivity.

Immunogen

Bovine kidney calbindin was used as the immunogen for this Calbindin antibody.

Storage

The lyophilized Calbindin antibody can be stored at 4oC to -20oC. After reconstitution, aliquot and store at -20oC. Avoid repeated freezing and thawing.

Cross
Bulk Quote Request Form
Name*:
Organization*:
Email*:
Phone Number*:
Catalog No.*:
Comments and Specifics(amount, formulation, etc.)*:
Validation code: Captchapackage Image


Can't read the image? click here to refresh.
    *required field

Your bulk quote request has been submitted successfully!

Please contact us if you have any questions.